• Tel: 858.663.9055
  • SeparatorEmail: info@nsjbio.com
  • Tel: 858.663.9055
  • Email: info@nsjbio.com
Home >> Antibodies >> TRIM10 Antibody / Tripartite motif-containing protein 10

TRIM10 Antibody / Tripartite motif-containing protein 10 (FY12258)

  Catalog No Formulation Size Price (USD)  
Image FY12258 Adding 0.2 ml of distilled water will yield a concentration of 500 ug/ml 100 ug 449
Bulk quote request
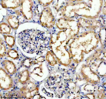
Immunohistochemical staining of TRIM10 using anti-TRIM10 antibody. TRIM10 was detected in a paraffin-embedded section of human kidney tissue. Heat mediated antigen retrieval was performed in EDTA buffer (pH 8.0, epitope retrieval solution). The tissue section was blocked with 10% goat serum. The tissue section was then incubated with 2 ug/ml rabbit anti-TRIM10 antibody overnight at 4oC. Peroxidase Conjugated Goat Anti-rabbit IgG was used as secondary antibody and incubated for 30 minutes at 37oC. The tissue section was developed using an HRP secondary and DAB substrate.
Western blot analysis of TRIM10 using anti-TRIM10 antibody. Electrophoresis was performed on a 10% SDS-PAGE gel at 80V (Stacking gel) / 120V (Resolving gel) for 2 hours. Lane 1: rat liver tissue lysates. After electrophoresis, proteins were transferred to a nitrocellulose membrane at 150 mA for 50-90 minutes. Blocked the membrane with 5% non-fat milk/TBS for 1.5 hour at RT. The membrane was incubated with rabbit anti-TRIM10 antibody at 0.5 ug/ml overnight at 4oC, then washed with TBS-0.1%Tween 3 times with 5 minutes each and probed with a goat anti-rabbit IgG-HRP secondary antibody at a dilution of 1:5000 for 1.5 hour at RT. The signal was developed using an ECL Plus Western Blotting Substrate. A specific band was detected for TRIM10 at approximately 55 kDa. The expected band size for TRIM10 is at 55 kDa.
Immunohistochemical staining of TRIM10 using anti-TRIM10 antibody. TRIM10 was detected in a paraffin-embedded section of human liver cancer tissue. Heat mediated antigen retrieval was performed in EDTA buffer (pH 8.0, epitope retrieval solution). The tissue section was blocked with 10% goat serum. The tissue section was then incubated with 2 ug/ml rabbit anti-TRIM10 antibody overnight at 4oC. Peroxidase Conjugated Goat Anti-rabbit IgG was used as secondary antibody and incubated for 30 minutes at 37oC. The tissue section was developed using an HRP secondary and DAB substrate.
Immunohistochemical staining of TRIM10 using anti-TRIM10 antibody. TRIM10 was detected in a paraffin-embedded section of human liver tissue. Heat mediated antigen retrieval was performed in EDTA buffer (pH 8.0, epitope retrieval solution). The tissue section was blocked with 10% goat serum. The tissue section was then incubated with 2 ug/ml rabbit anti-TRIM10 antibody overnight at 4oC. Peroxidase Conjugated Goat Anti-rabbit IgG was used as secondary antibody and incubated for 30 minutes at 37oC. The tissue section was developed using an HRP secondary and DAB substrate.
Flow Cytometry analysis of HEL cells using anti-TRIM10 antibody. Overlay histogram showing HEL cells stained with (Blue line). To facilitate intracellular staining, cells were fixed with 4% paraformaldehyde and permeabilized with permeabilization buffer. The cells were blocked with 10% normal goat serum. And then incubated with rabbit anti-TRIM10 antibody (1 ug/million cells) for 30 min at 20oC. DyLight 488 conjugated goat anti-rabbit IgG (5-10 ug/million cells) was used as secondary antibody for 30 minutes at 20oC. Isotype control antibody (Green line) was rabbit IgG (1 ug/million cells) used under the same conditions. Unlabelled sample without incubation with primary antibody and secondary antibody (Red line) was used as a blank control.
Availability 1-2 days
Species Reactivity Human, Rat
Format Lyophilized
Host Rabbit
Clonality Polyclonal (rabbit origin)
Isotype Rabbit IgG
Purity Immunogen affinity purified
Buffer Each vial contains 4 mg Trehalose, 0.9 mg NaCl, 0.2 mg Na2HPO4.
UniProt Q9UDY6
Applications Western Blot : 0.25-0.5ug/ml
Immunohistochemistry : 2-5ug/ml
Flow Cytometry : 1-3ug/million cells
ELISA : 0.1-0.5ug/ml
Limitations This TRIM10 antibody is available for research use only.
Review this product on BioCompare and get a $20 Amazon gift card

Description

TRIM10 antibody detects Tripartite motif-containing protein 10, encoded by the TRIM10 gene on chromosome 6p21.33. TRIM10 antibody is widely used in immunology and hematology research because TRIM10 belongs to the TRIM family of E3 ubiquitin ligases and is primarily expressed in hematopoietic tissues. The TRIM family is characterized by a conserved tripartite motif containing a RING finger domain, one or two B-box domains, and a coiled-coil domain. These proteins regulate diverse processes including transcription, apoptosis, innate immunity, and cell differentiation.

Structurally, TRIM10 is a ~56 kDa protein composed of the canonical TRIM architecture. The RING domain confers E3 ligase activity, mediating ubiquitination of substrate proteins, while the B-box and coiled-coil regions support oligomerization and protein interactions. Alternative splicing generates isoforms with distinct functions or expression profiles. TRIM10 localizes to the cytoplasm, particularly in erythroid progenitor cells.

Functionally, TRIM10 is associated with hematopoietic differentiation, particularly erythropoiesis. It regulates stability of key transcription factors and signaling proteins involved in red blood cell maturation. Knockdown studies suggest that TRIM10 contributes to erythroid lineage specification by regulating nuclear factor activity. Researchers use TRIM10 antibody to study erythropoiesis, ubiquitin signaling, and TRIM family protein biology.

Clinically, TRIM10 has been implicated in blood disorders and immune regulation. Genetic variations in TRIM10 are located within the major histocompatibility complex (MHC) region, linking it to immune-related phenotypes. Altered TRIM10 expression has been observed in leukemias, suggesting a role in hematologic malignancies. As an E3 ligase, TRIM10 could be a therapeutic target in disorders of erythroid differentiation or immune dysfunction. NSJ Bioreagents supplies TRIM10 antibody for research in hematology, immunology, and oncology.

Experimentally, TRIM10 antibody is used in western blotting to detect the ~56 kDa protein, in immunohistochemistry to study expression in bone marrow, and in immunofluorescence microscopy to assess cytoplasmic localization. Co-immunoprecipitation with TRIM10 antibody identifies ubiquitination substrates and TRIM family interaction partners.

Application Notes

Optimal dilution of the TRIM10 antibody should be determined by the researcher.

Immunogen

E.coli-derived human TRIM10 recombinant protein (Position: Q20-E438) was used as the immunogen for the TRIM10 antibody.

Storage

After reconstitution, the TRIM10 antibody can be stored for up to one month at 4oC. For long-term, aliquot and store at -20oC. Avoid repeated freezing and thawing.

Cross
Bulk Quote Request Form
Name*:
Organization*:
Email*:
Phone Number*:
Catalog No.*:
Comments and Specifics(amount, formulation, etc.)*:
Validation code: Captchapackage Image


Can't read the image? click here to refresh.
    *required field

Your bulk quote request has been submitted successfully!

Please contact us if you have any questions.