• Tel: 858.663.9055
  • SeparatorEmail: info@nsjbio.com
  • Tel: 858.663.9055
  • Email: info@nsjbio.com
Home >> Antibodies >> TRIF Antibody

TRIF Antibody (R31002)

  Catalog No Formulation Size Price (USD)  
Image R31002 0.5mg/ml if reconstituted with 0.2ml sterile DI water 100 ug 449
Bulk quote request
Western blot with TRIF antibody and Lane 1: Jurkat; 2: HL-60 cell lysate. Predicted/observed molecular weight: 76/70-150kDa.
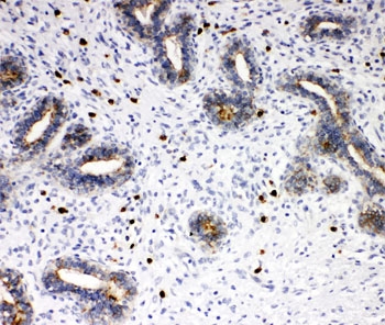
IHC-P: TRIF antibody testing of human breast cancer tissue
Western blot with TRIF antibody and recombinant human protein; Lane 1: 5ng; 2: 2.5ng; 3: 1.25ng
Availability 1-3 business days
Species Reactivity Human
Format Antigen affinity purified
Host Rabbit
Clonality Polyclonal (rabbit origin)
Isotype Rabbit Ig
Purity Antigen affinity
Buffer Lyophilized from 1X PBS with 2.5% BSA and 0.025% sodium azide/thimerosal
UniProt Q8IUC6
Applications Western Blot : 0.5-1ug/ml
IHC (FFPE) : 0.5-1ug/ml
IHC (Frozen) : 0.5-1ug/ml
Limitations This TRIF antibody is available for research use only.
Review this product on BioCompare and get a $20 Amazon gift card

Related Products

  • Applications : WB, ELISA
    Reactivity : Human, Mouse
  • Applications : WB, ELISA (peptide)
    Reactivity : Human
    Pred. Reactivity : Cow, Dog, Mouse, Pig, Rat
  • Applications : WB
    Reactivity : Mouse, Rat
  • Applications : WB, FACS, Direct ELISA
    Reactivity : Human

Description

TIR Domain-containing adaptor molecule 1, also known as TICAM1 or TRIF, is an adapter in responding to activation of toll-like receptors (TLRs). It mediates the delayed cascade of two TLR-associated signaling cascades, where the other one is dependent upon a MyD88 adapter. By genomic sequence analysis, Oshiumi et al.(2003) mapped the gene to chromosome 19p13.3. By coimmunoprecipitation analysis, Oshiumi et al.(2003) showed that the protein interacts specifically with TLR3, but not with other TLRs. Functional analysis showed that the association of TLR3 and TRIF mediates dsRNA activation of IFNB, through either NFKB, AP1, or IRF3. TRIF activation of NFKB was found to occur predominantly through IRAK1 rather than IRAK2. siRNA blockage of the protein reduced IFNB production in response to dsRNA.

Application Notes

The stated application concentrations are suggested starting points. Titration of the TRIF antibody may be required due to differences in protocols and secondary/substrate sensitivity.

Immunogen

An amino acid sequence from the C-terminus of human TRIF (NNHMWNQRGSQAPEDKTQEAE) was used as the immunogen for this TRIF antibody.

Storage

After reconstitution, the TRIF antibody can be stored for up to one month at 4oC. For long-term, aliquot and store at -20oC. Avoid repeated freezing and thawing.

Cross
Bulk Quote Request Form
Name*:
Organization*:
Email*:
Phone Number*:
Catalog No.*:
Comments and Specifics(amount, formulation, etc.)*:
Validation code: Captchapackage Image


Can't read the image? click here to refresh.
    *required field

Your bulk quote request has been submitted successfully!

Please contact us if you have any questions.