• Tel: 858.663.9055
  • SeparatorEmail: info@nsjbio.com
  • Tel: 858.663.9055
  • Email: info@nsjbio.com
Home >> Antibodies >> TRF2 Antibody / Telomeric repeat-binding factor 2

TRF2 Antibody / Telomeric repeat-binding factor 2 (R32769)

  Catalog No Formulation Size Price (USD)  
Image R32769 0.5mg/ml if reconstituted with 0.2ml sterile DI water 100 ug 449
Bulk quote request
Western blot testing of 1) rat thymus and 2) human COLO320 lysate with TRF2 antibody at 0.5ug/ml. Predicted molecular weight ~75 kDa.
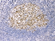
IHC testing of FFPE human tonsil tissue with TRF2 antibody at 1ug/ml. Required HIER: steam section in pH6 citrate buffer for 20 min and allow to cool prior to testing.
IHC testing of FFPE human lung cancer tissue with TRF2 antibody at 1ug/ml. Required HIER: steam section in pH6 citrate buffer for 20 min and allow to cool prior to testing.
Availability 1-3 business days
Species Reactivity Human, Rat
Format Antigen affinity purified
Host Rabbit
Clonality Polyclonal (rabbit origin)
Isotype Rabbit IgG
Purity Antigen affinity
Buffer Lyophilized from 1X PBS with 2% Trehalose, 0.025% sodium azide
UniProt Q15554
Localization Nuclear
Applications Western Blot : 0.5-1ug/ml
Immunohistochemistry (FFPE) : 1-2ug/ml
Limitations This TRF2 antibody is available for research use only.
Review this product on BioCompare and get a $20 Amazon gift card

Description

Telomeric repeat-binding factor 2, also known as TERF2, TRF2, or TRBF2, is encoded in humans by the TERF2 gene. This gene encodes a telomere specific protein, TERF2, which is a component of the telomere nucleoprotein complex. This protein is present at telomeres in metaphase of the cell cycle, is a second negative regulator of telomere length and plays a key role in the protective activity of telomeres. While having similar telomere binding activity and domain organization, TERF2 differs from TERF1 in that its N terminus is basic rather than acidic.

Application Notes

Optimal dilution of the TRF2 antibody should be determined by the researcher.

Immunogen

Amino acids A81-K287 from the human protein were used as the immunogen for the TRF2 antibody.

Storage

After reconstitution, the TRF2 antibody can be stored for up to one month at 4oC. For long-term, aliquot and store at -20oC. Avoid repeated freezing and thawing.

Cross
Bulk Quote Request Form
Name*:
Organization*:
Email*:
Phone Number*:
Catalog No.*:
Comments and Specifics(amount, formulation, etc.)*:
Validation code: Captchapackage Image


Can't read the image? click here to refresh.
    *required field

Your bulk quote request has been submitted successfully!

Please contact us if you have any questions.