• Tel: 858.663.9055
  • SeparatorEmail: info@nsjbio.com
  • Tel: 858.663.9055
  • Email: info@nsjbio.com
Home >> Antibodies >> TREM2 Antibody / Triggering receptor expressed on myeloid cells 2

TREM2 Antibody / Triggering receptor expressed on myeloid cells 2 [clone TREM2/7210] (V9417)

  Catalog No Formulation Size Price (USD)  
Image V9417-100UG 0.2 mg/ml in 1X PBS with 0.1 mg/ml BSA (US sourced), 0.05% sodium azide 100 ug 559
Image
V9417-20UG 0.2 mg/ml in 1X PBS with 0.1 mg/ml BSA (US sourced), 0.05% sodium azide 20 ug 259
Image
V9417SAF-100UG 1 mg/ml in 1X PBS; BSA free, sodium azide free 100 ug 559
Bulk quote request
IHC staining of FFPE human small intestine with TREM2 antibody (clone TREM2/7210). HIER: boil tissue sections in pH 9 10mM Tris with 1mM EDTA for 20 min and allow to cool before testing.
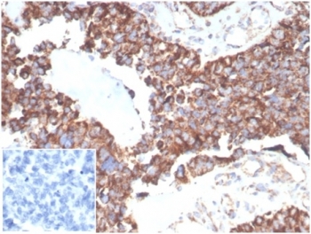
IHC staining of FFPE human ovarian carcinoma tissue with TREM2 antibody (clone TREM2/7210). Negative control inset: PBS instead of primary antibody to control for secondary binding. HIER: boil tissue sections in pH 9 10mM Tris with 1mM EDTA for 20 min and allow to cool before testing.
Availability 1-3 business days
Species Reactivity Human
Format Purified
Host Mouse
Clonality Monoclonal (mouse origin)
Isotype Mouse IgG2b, kappa
Clone Name TREM2/7210
Purity Protein A/G affinity
UniProt Q9NZC2
Localization Cytoplasm, cell membrane
Applications Immunohistochemistry (FFPE) : 1-2ug/ml
Limitations This TREM2 antibody is available for research use only.
Review this product on BioCompare and get a $20 Amazon gift card

Related Products

  • Applications : WB, ELISA
    Reactivity : Mouse
  • Applications : WB, ELISA (peptide)
    Reactivity : Human
  • Applications : WB, ELISA (peptide)
    Reactivity : Mouse
  • Applications : WB, ELISA
    Reactivity : Human
  • Applications : WB, FACS, Direct ELISA
    Reactivity : Rat

Description

TREM2 antibody is a central tool for exploring innate immunity, inflammation, and myeloid cell regulation. The encoded protein, triggering receptor expressed on myeloid cells 2 (TREM2), is a transmembrane receptor expressed on microglia, macrophages, and dendritic cells. By signaling through DAP12, TREM2 regulates phagocytosis, survival, and immune tolerance, positioning it as a critical checkpoint in inflammatory responses.

In innate immunity, TREM2 promotes clearance of apoptotic cells and debris, preventing excessive inflammation and maintaining tissue homeostasis. Its role in phagocytosis also extends to lipid handling, where TREM2 positive macrophages regulate lipid uptake in adipose tissue and atherosclerotic plaques. In the central nervous system, TREM2 expressing microglia regulate responses to amyloid plaques and neurodegeneration.

Defects in TREM2 signaling disrupt immune balance, leading to impaired debris clearance, chronic inflammation, and disease progression. Variants in the TREM2 gene are linked to increased susceptibility to Alzheimer disease, frontotemporal dementia, and bone disorders such as Nasu Hakola disease. These associations underscore its importance across both neurological and systemic immune contexts.

On the molecular level, TREM2 consists of an extracellular immunoglobulin-like domain, a transmembrane region associated with DAP12, and a cytoplasmic tail. Ligand binding triggers phosphorylation of DAP12 ITAM motifs and recruitment of kinases including SYK, which activate downstream signaling pathways controlling cytokine secretion and cytoskeletal organization.

The TREM2 antibody is commonly applied in flow cytometry, immunohistochemistry, immunofluorescence, and western blotting to measure protein expression in immune and nervous system tissues. These applications are crucial for research into inflammation, neurodegeneration, and immune regulation. For investigators studying innate immunity, microglial biology, or therapeutic targeting of inflammatory pathways, the TREM2 antibody provides a dependable detection reagent. NSJ Bioreagents supplies validated antibodies to ensure reproducibility and precision in advanced molecular studies.

Application Notes

Optimal dilution of the TREM2 antibody should be determined by the researcher.

Immunogen

A portion of amino acids 1-200 was used as the immunogen for the TREM2 antibody.

Storage

Aliquot the TREM2 antibody and store frozen at -20oC or colder. Avoid repeated freeze-thaw cycles.

Cross
Bulk Quote Request Form
Name*:
Organization*:
Email*:
Phone Number*:
Catalog No.*:
Comments and Specifics(amount, formulation, etc.)*:
Validation code: Captchapackage Image


Can't read the image? click here to refresh.
    *required field

Your bulk quote request has been submitted successfully!

Please contact us if you have any questions.