• Tel: 858.663.9055
  • SeparatorEmail: info@nsjbio.com
  • Tel: 858.663.9055
  • Email: info@nsjbio.com
Home >> Antibodies >> Transketolase Antibody / TKT

Transketolase Antibody / TKT (RQ5924)

  Catalog No Formulation Size Price (USD)  
Image RQ5924 0.5mg/ml if reconstituted with 0.2ml sterile DI water 100 ug 449
Bulk quote request
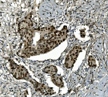
IHC staining of FFPE human breast cancer with Transketolase antibody. HIER: boil tissue sections in pH8 EDTA for 20 min and allow to cool before testing.
IHC staining of FFPE human breast cancer with Transketolase antibody. HIER: boil tissue sections in pH8 EDTA for 20 min and allow to cool before testing.
IHC staining of FFPE mouse brain with Transketolase antibody. HIER: boil tissue sections in pH8 EDTA for 20 min and allow to cool before testing.
IHC staining of FFPE rat brain with Transketolase antibody. HIER: boil tissue sections in pH8 EDTA for 20 min and allow to cool before testing.
Immunofluorescent staining of FFPE human A549 cells with Transketolase antibody (green) and DAPI nuclear stain (blue). HIER: steam section in pH6 citrate buffer for 20 min.
Western blot testing of human 1) A549, 2) HEK293, 3) placenta, 4) Jurkat, 5) HT1080, 6) HepG2, 7) SW620, 8) Raji, 9) rat liver, 10) rat RH35 and 11) mouse HEPA1-6 lysate with Transketolase antibody. Predicted molecular weight ~68 kDa.
Flow cytometry testing of human ThP-1 cells with Transketolase antibody at 1ug/million cells (blocked with goat sera); Red=cells alone, Green=isotype control, Blue= Transketolase antibody.
Flow cytometry testing of human U-87 MG cells with Transketolase antibody at 1ug/million cells (blocked with goat sera); Red=cells alone, Green=isotype control, Blue= Transketolase antibody.
Availability 1-3 business days
Species Reactivity Human, Mouse, Rat
Format Antigen affinity purified
Host Rabbit
Clonality Polyclonal (rabbit origin)
Isotype Rabbit IgG
Purity Affinity purified
Buffer Lyophilized from 1X PBS with 2% Trehalose and 0.025% sodium azide
UniProt P29401
Localization Nuclear, cytoplasmic
Applications Western Blot : 0.5-1ug/ml
Immunohistochemistry : 1-2ug/ml
Immunofluorescence : 2-4ug/ml
Flow Cytometry : 1-3ug/million cells
Direct ELISA : 0.1-0.5ug/ml
Limitations This Transketolase antibody is available for research use only.
Review this product on BioCompare and get a $20 Amazon gift card

Related Products

Description

Transketolase is a thiamine-dependent enzyme that links the pentose phosphate pathway with the glycolytic pathway. The pentose phosphate pathway, which is active in most tissues, provides sugar phosphates for intermediary biosynthesis, especially nucleotide metabolism, and generates the biosynthetic reducing power for the cell in the form of NADPH. Transketolase is directly involved in the branch of the pathway that channels excess sugar phosphates to glycolysis, enabling the production of NADPH to be maintained under different metabolic conditions. NADPH is critical for maintaining cerebral glutathione, and thus it is likely that transketolase plays an important role in brain metabolism.

Application Notes

Optimal dilution of the Transketolase antibody should be determined by the researcher.

Immunogen

Recombinant human protein (amino acids M1-A116) was used as the immunogen for the Transketolase antibody.

Storage

After reconstitution, the Transketolase antibody can be stored for up to one month at 4oC. For long-term, aliquot and store at -20oC. Avoid repeated freezing and thawing.

Cross
Bulk Quote Request Form
Name*:
Organization*:
Email*:
Phone Number*:
Catalog No.*:
Comments and Specifics(amount, formulation, etc.)*:
Validation code: Captchapackage Image


Can't read the image? click here to refresh.
    *required field

Your bulk quote request has been submitted successfully!

Please contact us if you have any questions.