• Tel: 858.663.9055
  • SeparatorEmail: info@nsjbio.com
  • Tel: 858.663.9055
  • Email: info@nsjbio.com
Home >> Antibodies >> Transferrin Antibody

Transferrin Antibody (R30124)

  Catalog No Formulation Size Price (USD)  
Image R30124 0.5mg/ml if reconstituted with 0.2ml sterile DI water 100 ug 449
Bulk quote request
IHC staining of FFPE mouse liver tissue with Transferrin antibody. HIER: boil tissue sections in pH8 EDTA for 20 min and allow to cool before testing.
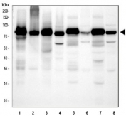
Western blot testing of 1) human placenta, 2) human HCCT, 3) human HCCP, 4) human HepG2, 5) rat liver, 6) rat RH35, 7) mouse liver and 8) mouse HEPA1/6 cell lysate with Transferrin antibody. Predicted molecular weight ~77 kDa.
Flow cytometry testing of fixed and permeabilized human HepG2 cells with Transferrin antibody at 1ug/million cells (blocked with goat sera); Red=cells alone, Green=isotype control, Blue= Transferrin antibody.
Availability 1-3 business days
Species Reactivity Human, Mouse, Rat
Format Antigen affinity purified
Host Rabbit
Clonality Polyclonal (rabbit origin)
Isotype Rabbit IgG
Purity Antigen affinity
Buffer Lyophilized from 1X PBS with 2% Trehalose
UniProt P02787
Applications Western Blot : 0.5-1ug/ml
Immunohistochemistry (FFPE) : 2-5ug/ml
Flow Cytometry : 1-3ug/million cells
ELISA : 0.1-0.5ug/ml (human protein tested)
Limitations This Transferrin antibody is available for research use only.
Review this product on BioCompare and get a $20 Amazon gift card

Related Products

Description

Transferrins are iron-binding blood plasma glycoproteins that control the level of free iron in biological fluids. In humans, it is encoded by the TF gene. In humans, transferrin consists of a polypeptide chain containing 679 amino acids. The protein is composed of alpha helices and beta sheets to form two domains. The N- and C- terminal sequences are represented by globular lobes and between the two lobes is an iron-binding site. Transferrin is a glycoprotein that binds iron very tightly but reversibly. Although iron bound to transferrin is less than 0.1% (4 mg) of the total body iron, it is the most important iron pool, with the highest rate of turnover (25 mg/24 h). Transferrin has a molecular weight of around 80 kDa and contains 2 specific high-affinity Fe(III) binding sites. The affinity of transferrin for Fe(III) is extremely high but decreases progressively with decreasing pH below neutrality.

Application Notes

The stated application concentrations are suggested starting amounts. Titration of the Transferrin antibody may be required due to differences in protocols and secondary/substrate sensitivity.

Immunogen

Human partial recombinant protein (AA 20-698) was used as the immunogen for this Transferrin antibody.

Storage

After reconstitution, the Transferrin antibody can be stored for up to one month at 4oC. For long-term, aliquot and store at -20oC. Avoid repeated freezing and thawing.

Cross
Bulk Quote Request Form
Name*:
Organization*:
Email*:
Phone Number*:
Catalog No.*:
Comments and Specifics(amount, formulation, etc.)*:
Validation code: Captchapackage Image


Can't read the image? click here to refresh.
    *required field

Your bulk quote request has been submitted successfully!

Please contact us if you have any questions.