• Tel: 858.663.9055
  • SeparatorEmail: info@nsjbio.com
  • Tel: 858.663.9055
  • Email: info@nsjbio.com
Home >> Antibodies >> Transcription factor SOX10 Antibody

Transcription factor SOX10 Antibody [clone rSOX10/991] (V6000)

  Catalog No Formulation Size Price (USD)  
Image V6000-100UG 0.2 mg/ml in 1X PBS with 0.05% BSA, 0.05% sodium azide 100 ug 559
Image
V6000-20UG 0.2 mg/ml in 1X PBS with 0.05% BSA, 0.05% sodium azide 20 ug 259
Image
V6000SAF-100UG 1 mg/ml in 1X PBS; BSA free, sodium azide free 100 ug 559
Microvalidated Recmousemono
Bulk quote request
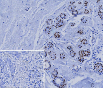
Immunohistochemistry analysis of Transcription factor SOX10 antibody (clone rSOX10/991) in formalin-fixed, paraffin-embedded human breast carcinoma tissue. Distinct nuclear staining is observed in tumor cells, consistent with SOX10 expression. The inset shows PBS used in place of primary antibody as a negative control, demonstrating absence of specific staining. Antigen retrieval was performed by heating tissue sections in 10 mM Tris with 1 mM EDTA, pH 9.0, for 45 minutes at 95oC followed by cooling at room temperature for 20 minutes.
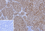
Immunohistochemistry analysis of Transcription factor SOX10 antibody (clone rSOX10/991) in formalin-fixed, paraffin-embedded human melanoma tissue. Strong and diffuse nuclear staining is observed in tumor cells, consistent with SOX10 expression in melanocytic lineage cells. The inset shows PBS used in place of primary antibody as a negative control, demonstrating absence of specific staining. Antigen retrieval was performed by heating tissue sections in 10 mM Tris with 1 mM EDTA, pH 9.0, for 45 minutes at 95oC followed by cooling at room temperature for 20 minutes.
Western blot analysis of SOX10 antibody (clone rSOX10/991). UACC-257 and UACC-62 whole cell lysates were resolved by SDS-PAGE and immunoblotted with Transcription factor SOX10 antibody. A distinct band is observed at approximately 50-55 kDa in both lysates, consistent with the predicted molecular weight of SOX10.
SDS-PAGE Analysis of Purified Transcription factor SOX10 antibody (clone rSOX10/991). Confirmation of Purity and Integrity of Antibody.
Species Reactivity Human
Format Purified
Host Mouse
Clonality Recombinant Mouse Monoclonal
Isotype Mouse IgG2b, kappa
Clone Name rSOX10/991
UniProt P56693
Localization Cytoplasm, Mitochondrion outer membrane, Nucleus
Applications Immunohistochemistry (FFPE) : 1-2ug/ml
Western Blot : 2-4ug/ml
Limitations This Transcription factor SOX10 antibody is available for research use only.
Review this product on BioCompare and get a $20 Amazon gift card

Related Products

Description

Transcription factor SOX10 Antibody recognizes SRY-box transcription factor 10, encoded by the SOX10 gene and belonging to the SOX family of high mobility group box DNA-binding proteins. SOX10 is a nuclear transcription factor characterized by a conserved HMG-box domain that enables sequence-specific DNA binding and modulation of gene expression programs essential for neural crest development. Transcription factor SOX10 Antibody detects this predominantly nuclear protein that regulates lineage specification and differentiation of neural crest-derived cell populations.

During embryogenesis, SOX10 plays a central role in neural crest cell survival, migration, and differentiation. It is required for development of melanocytes, Schwann cells, peripheral glia, and components of the enteric nervous system. In melanocyte biology, SOX10 functions upstream of MITF and regulates genes involved in pigment synthesis, melanocyte proliferation, and cellular maintenance. In peripheral nerve development, SOX10 coordinates Schwann cell maturation and myelination programs through interaction with signaling pathways such as Wnt, Notch, and neuregulin-mediated cascades.

In adult tissues, SOX10 expression remains largely restricted to melanocytes located within the basal layer of the epidermis and hair follicles and to Schwann cells associated with peripheral nerves. This lineage-specific distribution makes SOX10 antibody a valuable marker for identifying neural crest-derived cell types. The characteristic nuclear staining pattern reflects the transcriptional function of SOX10 within positive cells.

SOX10 has significant relevance in cancer research. Expression is frequently observed in melanoma, malignant peripheral nerve sheath tumors, and clear cell sarcoma, where nuclear localization supports identification of melanocytic or neural crest differentiation. SOX10 expression has also been reported in subsets of basal-like breast carcinoma and salivary gland neoplasms, reflecting shared developmental regulatory pathways. Altered SOX10 signaling has been associated with tumor progression and cellular plasticity in melanoma and related malignancies.

Transcription factor SOX10 Antibody / SOX10 (clone rSOX10/991) is a recombinant monoclonal antibody suitable for detecting SOX10 protein expression in research applications focused on neural crest biology, melanocyte differentiation, peripheral nerve studies, and tumor characterization.

Application Notes

1. Optimal dilution of the Transcription factor SOX10 antibody should be determined by the researcher.

2. This Transcription factor SOX10 antibody is recombinantly produced by expression in CHO cells.

Immunogen

Recombinant human SOX10 protein fragment (around amino acids 115-269) (exact sequence is proprietary) was used as the immunogen for the Transcription factor SOX10 antibody.

Storage

Transcription factor SOX10 antibody with sodium azide - store at 2 to 8oC; antibody without sodium azide - store at -20 to -80oC.

Cross
Bulk Quote Request Form
Name*:
Organization*:
Email*:
Phone Number*:
Catalog No.*:
Comments and Specifics(amount, formulation, etc.)*:
Validation code: Captchapackage Image


Can't read the image? click here to refresh.
    *required field

Your bulk quote request has been submitted successfully!

Please contact us if you have any questions.