• Tel: 858.663.9055
  • SeparatorEmail: info@nsjbio.com
  • Tel: 858.663.9055
  • Email: info@nsjbio.com
Home >> Antibodies >> TRAIL R2 Antibody (DR5)

TRAIL R2 Antibody (DR5) (R30940)

  Catalog No Formulation Size Price (USD)  
Image R30940 0.5mg/ml if reconstituted with 0.2ml sterile DI water 100 ug 449
Bulk quote request
Western blot testing of TRAIL R2 antibody and Lane 1: HeLa; 2: MM231; 3: SGC; 4: HT1080 cell lysate
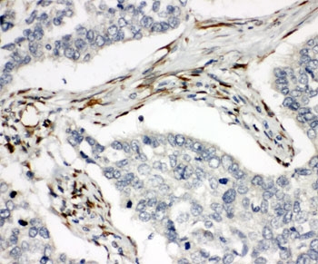
IHC-P: TRAIL R2 antibody testing of human lung cancer tissue
Availability 1-3 business days
Species Reactivity Human
Format Antigen affinity purified
Host Rabbit
Clonality Polyclonal (rabbit origin)
Isotype Rabbit Ig
Purity Antigen affinity
Buffer Lyophilized from 1X PBS with 2.5% BSA and 0.025% sodium azide/thimerosal
UniProt O14763
Applications Western Blot : 0.5-1ug/ml
IHC (FFPE) : 0.5-1ug/ml
Limitations This TRAIL R2 antibody is available for research use only.
Review this product on BioCompare and get a $20 Amazon gift card

Related Products

Description

TNFRSF10B (Tumor necrosis factor receptor superfamily, member 10b) has many names, including DR5, CD262, KILLER, TRICK2, TRICKB, ZTNFR9, TRAILR2, TRICK2A, TRICK2B, TRAIL R2, KILLER/DR5. The protein encoded by this gene is a member of the TNF-receptor superfamily, and contains an intracellular death domain. This receptor can be activated by tumor necrosis factor-related apoptosis inducing ligand (TNFSF10/TRAIL/APO-2L), and transduces apoptosis signal. Mice have a homologous gene, tnfrsf10b, that has been essential in the elucidation of the function of this gene in humans. Studies with FADD-deficient mice suggested that FADD, a death domain containing adaptor protein, is required for the apoptosis mediated by this protein. By analysis of radiation hybrid panels, Walczak et al.(1997) mapped the gene to chromosome 8p22-p21. Northern blot analysis indicated that TRAIL R2 was expressed as a 4.4-kb mRNA in all tissues tested, with the highest levels of expression in peripheral blood lymphocytes, spleen, and ovary.

Application Notes

The stated application concentrations are suggested starting points. Titration of the TRAIL R2 antibody may be required due to differences in protocols and secondary/substrate sensitivity.

Immunogen

An amino acid sequence from the C-terminus of human DR5/TRAIL R2 (DPTETLRQCFDDFADL) was used as the immunogen for this TRAIL R2 antibody.

Storage

After reconstitution, the TRAIL R2 antibody can be stored for up to one month at 4oC. For long-term, aliquot and store at -20oC. Avoid repeated freezing and thawing.

Cross
Bulk Quote Request Form
Name*:
Organization*:
Email*:
Phone Number*:
Catalog No.*:
Comments and Specifics(amount, formulation, etc.)*:
Validation code: Captchapackage Image


Can't read the image? click here to refresh.
    *required field

Your bulk quote request has been submitted successfully!

Please contact us if you have any questions.