• Tel: 858.663.9055
  • SeparatorEmail: info@nsjbio.com
  • Tel: 858.663.9055
  • Email: info@nsjbio.com
Home >> Antibodies >> TRAcP Antibody / TRAP / ACP5

TRAcP Antibody / TRAP / ACP5 [clone SPM601] (V2795)

  Catalog No Formulation Size Price (USD)  
Image V2795-100UG 0.2 mg/ml in 1X PBS with 0.1 mg/ml BSA (US sourced) and 0.05% sodium azide 100 ug 559
Image
V2795-20UG 0.2 mg/ml in 1X PBS with 0.1 mg/ml BSA (US sourced) and 0.05% sodium azide 20 ug 259
Image
V2795SAF-100UG 1 mg/ml in 1X PBS; BSA free, sodium azide free 100 ug 559
Bulk quote request
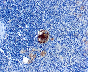
IHC: Formalin-fixed, paraffin-embedded human spleen stained with TRAcP antibody (clone SPM601).
Availability 1-3 business days
Species Reactivity Human, Mouse, Rat
Format Purified
Host Mouse
Clonality Monoclonal (mouse origin)
Isotype Mouse IgG2b, kappa
Clone Name SPM601
Purity Protein G affinity chromatography
UniProt P13686
Localization Cytoplasmic (lysosomes)
Applications Immunohistochemistry (FFPE) : 1-2ug/ml for 30 min at RT
Limitations This TRAcP antibody is available for research use only.
Review this product on BioCompare and get a $20 Amazon gift card

Related Products

Description

It recognizes a protein of 35kDa, which is identified as tartrate-resistant acid phosphatase (TRAcP). It exists as two isoforms (5a and 5b). This mAb reacts with both the isoforms. Serum TRAcP 5a is secreted by macrophages and dendritic cells and increased in many patients of rheumatoid arthritis. Serum TRAcP 5b is produced from osteoclasts and elevated during bone resorption. TRAcP is an iron containing glycoprotein, which catalyzes the conversion of orthophosphoric monoester to alcohol and orthophosphate. It is the most basic of the acid phosphatases and is the only form not inhibited by L(+)-tartrate. TRAcP is synthesized as a latent proenzyme and is activated by proteolytic cleavage and reduction. Normally, TRAcP is highly expressed by osteoclasts, activated macrophages, neurons and endometrium during pregnancy. Expression of TRAcP is increased in certain pathological conditions such as Leukemic Reticuloendotheliosis (Hairy Cell Leukemia), Gaucher s Disease, HIV-induced Encephalopathy, Osteoclastoma and in osteoporosis and metabolic bone diseases. Anti-TRAcP antibody labels the cells of Hairy Cell Leukemia (HCL) with a high degree of sensitivity and specificity. Other cells stained with this antibody are tissue macrophages and osteoclasts.

Application Notes

Optimal dilution of the TRAcP antibody should be determined by the researcher.

1. Staining of formalin/paraffin tissues requires boiling tissue sections in pH 9 10mM Tris with 1mM EDTA for 10-20 min followed by cooling at RT for 20 min.

Immunogen

Recombinant full-length human protein was used as the immunogen for the TRAcP antibody.

Storage

Store the TRAcP antibody at 2-8oC (with azide) or aliquot and store at -20oC or colder (without azide).

Cross
Bulk Quote Request Form
Name*:
Organization*:
Email*:
Phone Number*:
Catalog No.*:
Comments and Specifics(amount, formulation, etc.)*:
Validation code: Captchapackage Image


Can't read the image? click here to refresh.
    *required field

Your bulk quote request has been submitted successfully!

Please contact us if you have any questions.