• Tel: 858.663.9055
  • SeparatorEmail: info@nsjbio.com
  • Tel: 858.663.9055
  • Email: info@nsjbio.com
Home >> Antibodies >> TRAC Antibody / TCR alpha (constant region)

TRAC Antibody / TCR alpha (constant region) (RQ4617)

  Catalog No Formulation Size Price (USD)  
Image RQ4617 0.5mg/ml if reconstituted with 0.2ml sterile DI water 100 ug 449
Bulk quote request
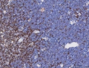
IHC staining of FFPE human tonsil tissue with TRAC antibody. HIER: boil tissue sections in pH8 EDTA for 20 min and allow to cool before testing.
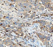
IHC staining of FFPE human urothelium carcinoma tissue with TRAC antibody. HIER: boil tissue sections in pH8 EDTA for 20 min and allow to cool before testing.
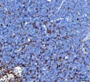
IHC staining of FFPE mouse thymus tissue with TRAC antibody. HIER: boil tissue sections in pH8 EDTA for 20 min and allow to cool before testing.
IHC staining of FFPE mouse thymus tissue with TRAC antibody. HIER: boil tissue sections in pH8 EDTA for 20 min and allow to cool before testing.
IHC staining of FFPE rat thymus tissue with TRAC antibody. HIER: boil tissue sections in pH8 EDTA for 20 min and allow to cool before testing.
Western blot testing of human Jurkat cell lysate with TRAC antibody. Predicted molecular weight ~16 kDa, the mature form is observed at 40-45 kDa.
Flow cytometry testing of fixed and permeabilized human Jurkat cells with TRAC antibody at 1ug/10^6 cells (blocked with goat sera); Red=cells alone, Green=isotype control, Blue= TRAC antibody.
Availability 1-3 business days
Species Reactivity Human, Mouse, Rat
Format Antigen affinity purified
Host Rabbit
Clonality Polyclonal (rabbit origin)
Isotype Rabbit IgG
Purity Antigen affinity purified
Buffer Lyophilized from 1X PBS with 2% Trehalose
UniProt P01848
Applications Western Blot : 0.5-1ug/ml
Flow Cytometry : 1-3ug/10^6 cells
Immunohistochemistry (FFPE) : 2-5ug/ml
Direct ELISA : 0.1-0.5ug/ml (human recombinant protein)
Review this product on BioCompare and get a $20 Amazon gift card

Description

TRAC antibody is a valuable tool for studying T cell biology, immune signaling, and receptor diversity. The encoded protein, T cell receptor alpha chain (TCR alpha), is a critical component of the T cell receptor complex that recognizes antigens presented by major histocompatibility complex molecules. Together with the TCR beta chain, TCR alpha forms the heterodimer that directly engages peptide-MHC complexes, initiating signaling cascades that drive T cell activation, proliferation, and differentiation.

TCR alpha is generated through somatic recombination of variable, joining, and constant gene segments within the T cell receptor alpha locus (TRAC). This process ensures immense diversity, allowing T cells to recognize a vast repertoire of antigens. The recombination mechanism involves RAG1 and RAG2 recombinases, creating unique receptor sequences that define individual T cell clones. Expression of a functional TCR alpha chain is an essential step in thymocyte development and selection, enabling the maturation of T cells capable of distinguishing self from non-self antigens.

At the functional level, TCR alpha pairs with TCR beta and associates with CD3 signaling molecules, forming the complete T cell receptor-CD3 complex. Engagement of this receptor with peptide-MHC triggers phosphorylation of CD3 immunoreceptor tyrosine-based activation motifs, recruitment of kinases such as Lck and ZAP70, and downstream activation of MAP kinase and NF kappa B pathways. This cascade regulates gene expression programs that control cytokine production, cytotoxicity, and memory formation.

Research into TRAC has revealed its importance in both normal immunity and disease. Alterations in TCR alpha expression or recombination defects can cause immunodeficiencies by limiting T cell repertoire diversity. On the other hand, clonal expansions of T cells bearing specific TCR alpha sequences are observed in autoimmune diseases, infections, and cancer. These patterns make TRAC a marker of T cell clonality and immune status. Genetic studies also show that aberrations in the TCR alpha locus may contribute to T cell leukemias and lymphomas.

The TRAC antibody is commonly used in flow cytometry, immunohistochemistry, immunofluorescence, and western blotting to detect expression of the TCR alpha chain. These applications are critical for profiling T cell populations, monitoring thymic development, and evaluating antigen-specific responses. For researchers studying adaptive immunity, T cell signaling, or immune repertoire diversity, the TRAC antibody provides a reliable and specific detection reagent. NSJ Bioreagents offers validated antibodies that ensure accuracy and reproducibility in advanced molecular studies.

Application Notes

Optimal dilution of the TRAC antibody should be determined by the researcher.

Immunogen

Amino acids I1-L114 from the human protein were used as the immunogen for the TRAC antibody.

Storage

After reconstitution, the TRAC antibody can be stored for up to one month at 4oC. For long-term, aliquot and store at -20oC. Avoid repeated freezing and thawing.

Cross
Bulk Quote Request Form
Name*:
Organization*:
Email*:
Phone Number*:
Catalog No.*:
Comments and Specifics(amount, formulation, etc.)*:
Validation code: Captchapackage Image


Can't read the image? click here to refresh.
    *required field

Your bulk quote request has been submitted successfully!

Please contact us if you have any questions.