• Tel: 858.663.9055
  • SeparatorEmail: info@nsjbio.com
  • Tel: 858.663.9055
  • Email: info@nsjbio.com
Home >> Antibodies >> TPD52 Antibody / Tumor protein D52

TPD52 Antibody / Tumor protein D52 (FY12524)

  Catalog No Formulation Size Price (USD)  
Image FY12524 Adding 0.2 ml of distilled water will yield a concentration of 500 ug/ml 100 ug 449
Bulk quote request
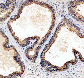
Immunohistochemical staining of TPD52 using anti-TPD52 antibody. TPD52 was detected in a paraffin-embedded section of human prostate cancer tissue. Heat mediated antigen retrieval was performed in EDTA buffer (pH 8.0, epitope retrieval solution). The tissue section was blocked with 10% goat serum. The tissue section was then incubated with 2 ug/ml rabbit anti-TPD52 antibody overnight at 4oC. Peroxidase Conjugated Goat Anti-rabbit IgG was used as secondary antibody and incubated for 30 minutes at 37oC. The tissue section was developed using an HRP secondary and DAB substrate.
Western blot analysis of TPD52 using anti-TPD52 antibody. Electrophoresis was performed on a 12% SDS-PAGE gel at 80V (Stacking gel) / 120V (Resolving gel) for 2 hours. Lane 1: human HepG2 whole cell lysates, Lane 2: human HCT116 whole cell lysates, Lane 3: human Raji whole cell lysates, Lane 4: human U-87MG whole cell lysates. After electrophoresis, proteins were transferred to a nitrocellulose membrane at 150 mA for 50-90 minutes. Blocked the membrane with 5% non-fat milk/TBS for 1.5 hour at RT. The membrane was incubated with rabbit anti-TPD52 antibody at 0.5 ug/ml overnight at 4oC, then washed with TBS-0.1%Tween 3 times with 5 minutes each and probed with a goat anti-rabbit IgG-HRP secondary antibody at a dilution of 1:5000 for 1.5 hour at RT. The signal was developed using an ECL Plus Western Blotting Substrate. TPD52 (~25 kDa predicted) was detected as a doublet between 25-28 kDa, consistent with phosphorylation-dependent mobility shifts and isoform heterogeneity previously reported for this vesicle-associated protein.
Flow Cytometry analysis of HepG2 cells using anti-TPD52 antibody. Overlay histogram showing HepG2 cells stained with (Blue line). To facilitate intracellular staining, cells were fixed with 4% paraformaldehyde and permeabilized with permeabilization buffer. The cells were blocked with 10% normal goat serum. And then incubated with rabbit anti-TPD52 antibody (1 ug/million cells) for 30 min at 20oC. DyLight 488 conjugated goat anti-rabbit IgG (5-10 ug/million cells) was used as secondary antibody for 30 minutes at 20oC. Isotype control antibody (Green line) was rabbit IgG (1 ug/million cells) used under the same conditions. Unlabelled sample without incubation with primary antibody and secondary antibody (Red line) was used as a blank control.
Availability 1-2 days
Species Reactivity Human
Format Lyophilized
Host Rabbit
Clonality Polyclonal (rabbit origin)
Isotype Rabbit IgG
Purity Immunogen affinity purified
Buffer Each vial contains 4 mg Trehalose, 0.9 mg NaCl, 0.2 mg Na2HPO4.
UniProt P55327
Localization Cytoplasm
Applications Western Blot : 0.25-0.5ug/ml
Immunohistochemistry : 2-5ug/ml
Flow Cytometry : 1-3ug/million cells
ELISA : 0.1-0.5ug/ml
Limitations This TPD52 antibody is available for research use only.
Review this product on BioCompare and get a $20 Amazon gift card

Related Products

Description

TPD52 antibody detects Tumor protein D52, a small coiled-coil protein that regulates vesicle trafficking, calcium-dependent exocytosis, and cell proliferation. Originally identified as an overexpressed antigen in breast carcinoma, TPD52 has since been linked to cancer progression, membrane trafficking, and secretory granule dynamics. The TPD52 antibody is widely used to study tumor biology, exocytosis, and intracellular vesicle regulation.

TPD52 is encoded by the TPD52 gene located on human chromosome 8q21.13. The protein is approximately 25 kilodaltons and characterized by a central coiled-coil domain that mediates homo- and hetero-oligomerization with other D52-like proteins (TPD52L1 and TPD52L2). This interaction facilitates vesicle docking and fusion processes within the Golgi network and secretory pathway. Expression is highest in epithelial tissues, immune cells, and tumors with high metabolic activity.

A TPD52 antibody detects a 25 kilodalton band in western blot analysis and reveals diffuse cytoplasmic and perinuclear staining in immunofluorescence assays. TPD52 associates with synaptotagmin-like proteins and small GTPases that control vesicle exocytosis, contributing to regulated secretion in endocrine and immune systems. Its upregulation enhances secretory granule release and cell motility, promoting oncogenic transformation and metastasis.

In cancer biology, TPD52 is implicated in cell-cycle progression, lipid storage, and energy metabolism. Overexpression increases tumorigenicity by stimulating AKT signaling and inhibiting apoptosis. Conversely, TPD52 depletion suppresses proliferation and sensitizes cells to chemotherapeutic stress. Clinical studies have identified elevated TPD52 expression in breast, ovarian, lung, and prostate cancers, often correlating with poor prognosis and high metastatic potential.

Beyond oncology, TPD52 participates in vesicle fusion during immune cell degranulation and insulin granule exocytosis, highlighting its role in both secretory and metabolic regulation. Phosphorylation by casein kinase 2 modulates its subcellular localization and protein-binding properties, linking signaling cues to vesicular transport efficiency. NSJ Bioreagents provides a validated TPD52 antibody validated for its applications, supporting research into vesicle dynamics, tumor progression, and secretory pathway regulation.

Application Notes

Optimal dilution of the TPD52 antibody should be determined by the researcher.

Immunogen

E.coli-derived human TPD52 recombinant protein (Position: M1-L224) was used as the immunogen for the TPD52 antibody.

Storage

After reconstitution, the TPD52 antibody can be stored for up to one month at 4oC. For long-term, aliquot and store at -20oC. Avoid repeated freezing and thawing.

Cross
Bulk Quote Request Form
Name*:
Organization*:
Email*:
Phone Number*:
Catalog No.*:
Comments and Specifics(amount, formulation, etc.)*:
Validation code: Captchapackage Image


Can't read the image? click here to refresh.
    *required field

Your bulk quote request has been submitted successfully!

Please contact us if you have any questions.