• Tel: 858.663.9055
  • SeparatorEmail: info@nsjbio.com
  • Tel: 858.663.9055
  • Email: info@nsjbio.com
Home >> Antibodies >> tPA Antibody / Tissue Plasminogen Activator

tPA Antibody / Tissue Plasminogen Activator [clone AOAC-16] (RQ4848)

  Catalog No Formulation Size Price (USD)  
Image RQ4848 Antibody in PBS with 0.02% sodium azide, 50% glycerol and 0.4-0.5mg/ml BSA 100 ul 449
Microvalidated Rab Mono Image
Bulk quote request
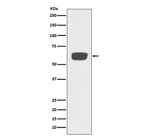
Western blot testing of human plasma lysate with tPA antibody. Expected molecular weight: 64-70 kDa.
Availability 1-2 weeks
Species Reactivity Human
Format Purified
Host Rabbit
Clonality Rabbit Monoclonal
Isotype Rabbit IgG
Clone Name AOAC-16
Purity Affinity purified
UniProt P00750
Applications Western Blot : 1:500-1:2000
Limitations This tPA antibody is available for research use only.
Review this product on BioCompare and get a $20 Amazon gift card

Related Products

Description

Tissue Plasminogen Activator converts the abundant, but inactive, zymogen plasminogen to plasmin by hydrolyzing a single Arg-Val bond in plasminogen. By controlling plasmin-mediated proteolysis, it plays an important role in tissue remodeling and degradation, in cell migration and many other physiopathological events. Plays a direct role in facilitating neuronal migration. [UniProt]

Application Notes

Optimal dilution of the tPA antibody should be determined by the researcher.

Immunogen

A synthetic peptide specific to human Tissue Plasminogen Activator was used as the immunogen for the tPA antibody.

Storage

Store the tPA antibody at -20oC.

Cross
Bulk Quote Request Form
Name*:
Organization*:
Email*:
Phone Number*:
Catalog No.*:
Comments and Specifics(amount, formulation, etc.)*:
Validation code: Captchapackage Image


Can't read the image? click here to refresh.
    *required field

Your bulk quote request has been submitted successfully!

Please contact us if you have any questions.