• Tel: 858.663.9055
  • SeparatorEmail: info@nsjbio.com
  • Tel: 858.663.9055
  • Email: info@nsjbio.com
Home >> Antibodies >> TP63 Antibody / Epithelial Stem Cell Marker Antibody

TP63 Antibody / Epithelial Stem Cell Marker Antibody [clone TP63/7807R] (V5027)

  Catalog No Formulation Size Price (USD)  
Image V5027-100UG 0.2 mg/ml in 1X PBS with 0.1 mg/ml BSA (US sourced), 0.05% sodium azide 100 ug 559
Image
V5027-20UG 0.2 mg/ml in 1X PBS with 0.1 mg/ml BSA (US sourced), 0.05% sodium azide 20 ug 259
Image
V5027SAF-100UG 1 mg/ml in 1X PBS; BSA free, sodium azide free 100 ug 559
Microvalidated Recrabbitmono
Bulk quote request
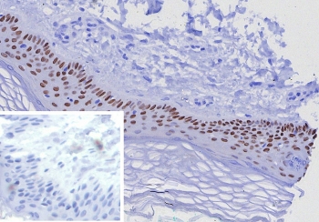
TP63 Antibody. Immunohistochemistry analysis of Tumor protein 63 (TP63) in FFPE human skin tissue using a TP63 antibody as an epithelial stem cell marker (clone TP63/7807R) demonstrates strong HRP-DAB brown nuclear staining in basal keratinocytes along the epidermal basal layer. The staining is confined to progenitor cell populations at the dermal-epidermal junction, while suprabasal differentiated keratinocytes show reduced or absent signal, consistent with the role of TP63 in maintaining epithelial stem and progenitor cell compartments. The nuclear localization clearly outlines the basal layer and highlights epidermal organization and stratification. Inset: PBS was used in place of the primary antibody as a negative control, showing no brown signal. Heat-induced epitope retrieval was performed by boiling tissue sections in pH 9 10mM Tris with 1mM EDTA for 20 minutes followed by cooling prior to antibody incubation.
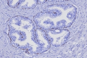
TP63 Antibody. Immunohistochemistry analysis of Tumor protein 63 (TP63) in FFPE human prostate cancer tissue using a TP63 antibody as an epithelial stem cell marker (clone TP63/7807R) shows limited HRP-DAB brown nuclear staining in scattered basal-like cells, while the majority of malignant glandular epithelial cells remain negative. This reduced and discontinuous staining pattern reflects loss of the basal progenitor cell layer typically seen in prostate carcinoma. Residual TP63-positive nuclei highlight rare basal-like or progenitor-associated cells within the tumor microenvironment. The nuclear localization and restricted distribution are consistent with the role of TP63 in epithelial stem and progenitor cell populations. Heat-induced epitope retrieval was performed by boiling tissue sections in pH 9 10mM Tris with 1mM EDTA for 20 minutes followed by cooling prior to antibody incubation.
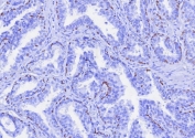
IHC staining of FFPE human prostate cancer tissue with TP63 antibody (clone TP63/7807R). HIER: boil tissue sections in pH 9 10mM Tris with 1mM EDTA for 20 min and allow to cool before testing.
Availability 1-3 business days
Species Reactivity Human
Format Purified
Host Rabbit
Clonality Recombinant Rabbit Monoclonal
Isotype Rabbit IgG, kappa
Clone Name TP63/7807R
Purity Protein A affinity
UniProt Q9H3D4
Localization Nucleus
Applications Immunohistochemistry (FFPE) : 1-2ug/ml for 30 min at RT
Limitations This TP63 antibody is available for research use only.
Review this product on BioCompare and get a $20 Amazon gift card

Related Products

Description

Tumor protein 63 (TP63) is a nuclear transcription factor of the p53 family that regulates epithelial development, stem cell maintenance, and lineage commitment. TP63 Antibody is widely used as an epithelial stem cell marker antibody for identifying progenitor cell populations within stratified epithelia, where nuclear expression reflects cells with self-renewal capacity and differentiation potential.

TP63 antibody, also known as p63 antibody or Tumor protein 63 antibody in the literature, is strongly expressed in basal progenitor cells that serve as the source of differentiated epithelial lineages. As an epithelial stem cell marker antibody, TP63 highlights cells that maintain proliferative potential and contribute to tissue regeneration and repair.

The stem cell marker differentiator is particularly important for studies of epithelial hierarchy and cellular dynamics. TP63 Antibody enables identification of stem-like populations within complex tissues, allowing researchers to investigate how epithelial cells transition between undifferentiated and differentiated states. This is especially relevant in developmental biology and regenerative medicine, where TP63 expression marks cells capable of sustaining tissue architecture.

Among TP63 isoforms, deltaNp63 is strongly associated with stem-like and progenitor functions, supporting proliferation and preventing premature differentiation. Nuclear localization of TP63 in these cells reflects its central role in regulating gene expression programs that maintain an undifferentiated epithelial phenotype.

In disease-related contexts, TP63-positive progenitor populations can contribute to tumor initiation and progression, particularly in cancers with basal-like characteristics. The ability to detect and analyze these populations provides insight into tumor biology and cellular heterogeneity.

TP63 Antibody serves as a valuable tool for studying epithelial stem and progenitor cells, enabling detailed analysis of lineage relationships, tissue regeneration, and TP63-driven biological processes in both normal and disease settings.

Application Notes

Optimal dilution of the TP63 Antibody / Epithelial Stem Cell Marker Antibody should be determined by the researcher.

Immunogen

A recombinant fragment corresponding to the C-terminus of human TP63 protein was used as the immunogen for the TP63 Antibody / Epithelial Stem Cell Marker Antibody.

Storage

Aliquot the TP63 antibody and store frozen at -20oC or colder. Avoid repeated freeze-thaw cycles.

Alternate Names

p63 stem cell marker antibody, TP63 epithelial progenitor antibody, Tumor protein 63 stem-like cell antibody, p63 epithelial lineage antibody

Cross
Bulk Quote Request Form
Name*:
Organization*:
Email*:
Phone Number*:
Catalog No.*:
Comments and Specifics(amount, formulation, etc.)*:
Validation code: Captchapackage Image


Can't read the image? click here to refresh.
    *required field

Your bulk quote request has been submitted successfully!

Please contact us if you have any questions.