• Tel: 858.663.9055
  • SeparatorEmail: info@nsjbio.com
  • Tel: 858.663.9055
  • Email: info@nsjbio.com
Home >> Antibodies >> TOX Antibody

TOX Antibody (RQ7024)

  Catalog No Formulation Size Price (USD)  
Image RQ7024 0.5mg/ml if reconstituted with 0.2ml sterile DI water 100 ug 449
Bulk quote request
IHC staining of FFPE mouse lymph tissue with TOX antibody. HIER: boil tissue sections in pH8 EDTA for 20 min and allow to cool before testing.
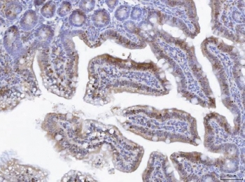
IHC staining of FFPE human intestinal cancer tissue with TOX antibody. HIER: boil tissue sections in pH8 EDTA for 20 min and allow to cool before testing.
Western blot testing of human 1) Jurkat, 2) Ramos and 3) HL60 cell lysate with TOX antibody. Predicted molecular weight ~57 kDa.
Flow cytometry testing of human HL60 cells with TOX antibody at 1ug/million cells (blocked with goat sera); Red=cells alone, Green=isotype control, Blue= TOX antibody.
Availability 1-3 business days
Species Reactivity Human, Mouse
Format Antigen affinity purified
Host Rabbit
Clonality Polyclonal (rabbit origin)
Isotype Rabbit IgG
Purity Antigen affinity purified
Buffer Lyophilized from 1X PBS with 2% Trehalose
UniProt O94900
Applications Western Blot : 0.5-1 ug/ml
Immunohistochemistry (FFPE) : 2-5ug/ml
Flow Cytometry : 1-3ug/million cells
Direct ELISA : 0.1-0.5ug/ml
Limitations This TOX antibody is available for research use only.
Review this product on BioCompare and get a $20 Amazon gift card

Description

Thymocyte selection-associated high mobility group box protein TOX is a protein that in humans is encoded by the TOX gene. The protein encoded by this gene contains a HMG box DNA binding domain. HMG boxes are found in many eukaryotic proteins involved in chromatin assembly, transcription and replication. This protein may function to regulate T-cell development.

Application Notes

Optimal dilution of the TOX antibody should be determined by the researcher.

Immunogen

Recombinant human protein (amino acids M1-S495) was used as the immunogen for the TOX antibody.

Storage

After reconstitution, the TOX antibody can be stored for up to one month at 4oC. For long-term, aliquot and store at -20oC. Avoid repeated freezing and thawing.

Cross
Bulk Quote Request Form
Name*:
Organization*:
Email*:
Phone Number*:
Catalog No.*:
Comments and Specifics(amount, formulation, etc.)*:
Validation code: Captchapackage Image


Can't read the image? click here to refresh.
    *required field

Your bulk quote request has been submitted successfully!

Please contact us if you have any questions.