• Tel: 858.663.9055
  • SeparatorEmail: info@nsjbio.com
  • Tel: 858.663.9055
  • Email: info@nsjbio.com
Home >> Antibodies >> TOX-3 Antibody

TOX-3 Antibody [clone TOX3/1124] (V2542)

  Catalog No Formulation Size Price (USD)  
Image V2542-100UG 0.2 mg/ml in 1X PBS with 0.1 mg/ml BSA (US sourced) and 0.05% sodium azide 100 ug 559
Image
V2542-20UG 0.2 mg/ml in 1X PBS with 0.1 mg/ml BSA (US sourced) and 0.05% sodium azide 20 ug 259
Image
V2542SAF-100UG 1 mg/ml in 1X PBS; BSA free, sodium azide free 100 ug 559
Bulk quote request
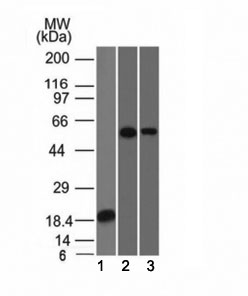
Western blot analysis of 1) recombinant partial protein, 2) A549 and 3) A431 stained with TOX-3 antibody (clone TOX3/1124). Predicted molecular weight ~63 kDa.
SDS-PAGE Analysis of Purified, BSA-Free TOX-3 Antibody (clone TOX3/1124). Confirmation of Integrity and Purity of the Antibody.
Availability 1-3 business days
Species Reactivity Human
Format Purified
Host Mouse
Clonality Monoclonal (mouse origin)
Isotype Mouse IgG1, kappa
Clone Name TOX3/1124
Purity Protein G affinity chromatography
UniProt O15405
Localization Cytoplasmic & nuclear
Applications ELISA (order BSA/sodium Azide-free Format For Coating) :
Western Blot : 1-2ug/ml
Limitations This TOX-3 antibody is available for research use only.
Review this product on BioCompare and get a $20 Amazon gift card

Related Products

Description

It recognizes an ~63 kDa protein, which is identified as TOX3. It contains a high mobility group (HMG)-box, which regulates Ca2+-dependent transcription in neurons through interaction with the cAMP-response-element-binding protein (CREB). TOX3 appears to be associated with breast cancer susceptibility and is expressed downstream of a cytoprotective cascade together with CITED1, a transcriptional regulator that does not bind directly to DNA. TOX3 is predominantly expressed in the brain and forms homodimers. TOX3 overexpression protects neuronal cells from cell death caused by endoplasmic reticulum stress or BAX overexpression through the induction of anti-apoptotic transcripts and repression of pro-apoptotic transcripts.

Application Notes

Optimal dilution of the TOX-3 antibody should be determined by the researcher.

1. The prediluted format is supplied in a dropper bottle and is optimized for use in IHC. After epitope retrieval step (if required), drip mAb solution onto the tissue section and incubate at RT for 30 min.

Immunogen

A recombinant fragment (139 amino acid residues around aa 200-400) from the human protein was used as the immunogen for the TOX-3 antibody.

Storage

Store the TOX-3 antibody at 2-8oC (with azide) or aliquot and store at -20oC or colder (without azide).

Cross
Bulk Quote Request Form
Name*:
Organization*:
Email*:
Phone Number*:
Catalog No.*:
Comments and Specifics(amount, formulation, etc.)*:
Validation code: Captchapackage Image


Can't read the image? click here to refresh.
    *required field

Your bulk quote request has been submitted successfully!

Please contact us if you have any questions.