• Tel: 858.663.9055
  • SeparatorEmail: info@nsjbio.com
  • Tel: 858.663.9055
  • Email: info@nsjbio.com
Home >> Antibodies >> TORC1/CRTC1 Antibody

TORC1/CRTC1 Antibody (RQ6316)

  Catalog No Formulation Size Price (USD)  
Image RQ6316 0.5mg/ml if reconstituted with 0.2ml sterile DI water 100 ug 449
Bulk quote request
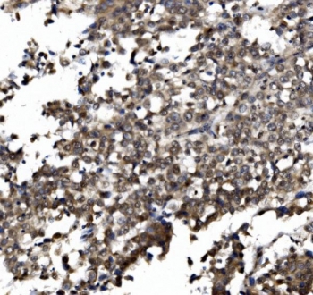
IHC staining of FFPE human lung cancer with TORC1/CRTC1 antibody. HIER: boil tissue sections in pH8 EDTA for 20 min and allow to cool before testing.
IHC staining of FFPE mouse brain with TORC1/CRTC1 antibody. HIER: boil tissue sections in pH8 EDTA for 20 min and allow to cool before testing.
IHC staining of FFPE mouse brain with TORC1/CRTC1 antibody. HIER: boil tissue sections in pH8 EDTA for 20 min and allow to cool before testing.
IHC staining of FFPE rat brain with TORC1/CRTC1 antibody. HIER: boil tissue sections in pH8 EDTA for 20 min and allow to cool before testing.
Immunofluorescent staining of FFPE human MCF7 cells with TORC1/CRTC1 antibody (green) and DAPI nuclear stain (blue). HIER: steam section in pH6 citrate buffer for 20 min.
Western blot testing of human 1) HeLa, 2) HEK293, 3) PC-3, 4) HepG2, 5) U-2 OS, 6) rat brain and 7) mouse brain lysate with TORC1/CRTC1 antibody. Predicted molecular weight ~67 kDa, routinely observed at 67-82 kDa.
Flow cytometry testing of human A431 cells with TORC1/CRTC1 antibody at 1ug/million cells (blocked with goat sera); Red=cells alone, Green=isotype control, Blue= TORC1/CRTC1 antibody.
Flow cytometry testing of rat RH35 cells with TORC1/CRTC1 antibody at 1ug/million cells (blocked with goat sera); Red=cells alone, Green=isotype control, Blue= TORC1/CRTC1 antibody.
Availability 1-3 business days
Species Reactivity Human, Mouse, Rat
Format Purified
Host Rabbit
Clonality Polyclonal (rabbit origin)
Isotype Rabbit IgG
Purity Antigen affinity purified
Buffer Lyophilized from 1X PBS with 2% Trehalose
UniProt Q6UUV9
Localization Nuclear, cytoplasmic
Applications Western Blot : 0.5-1ug/ml
Immunohistochemistry (FFPE) : 2-5ug/ml
Immunofluorescence (FFPE) : 5ug/ml
Flow Cytometry : 1-3ug/million cells
Limitations This TORC1/CRTC1 antibody is available for research use only.
Review this product on BioCompare and get a $20 Amazon gift card

Related Products

  • Applications : WB
    Reactivity : Human
  • Applications : WB, IF, FACS
    Reactivity : Human, Mouse, Rat

Description

CRTC1 (CREB-Regulated Transcription Coactivator 1), also known as MECT1, TORC1 or KIAA0616, is a protein that in humans is encoded by the CRTC1 gene. By sequence analysis, Tonon et al. (2003) mapped the CRTC1 gene to chromosome 19p13. Kovacs et al. (2007) found that Torc1 was expressed in adult mouse brain and cultured neurons, and that it translocated to the nucleus upon concomitant activation of calcium and cAMP signaling pathways. Mair et al. (2011) demonstrated that CRTC1 is a direct AMPK target, and interacts with the CREB homolog-1 (CRH1) transcription factor in vivo. The prolongevity effects of activating AMPK or deactivating calcineurin decrease CRTC1 and CRH1 activity and induce transcriptional responses similar to those of CRH1-null worms.

Application Notes

Optimal dilution of the TORC1/CRTC1 antibody should be determined by the researcher.

Immunogen

Amino acids DAYYEQQMAARQANALSHQLEQFNMMENAIS were used as the immunogen for the TORC1/CRTC1 antibody.

Storage

After reconstitution, the TORC1/CRTC1 antibody can be stored for up to one month at 4oC. For long-term, aliquot and store at -20oC. Avoid repeated freezing and thawing.

Cross
Bulk Quote Request Form
Name*:
Organization*:
Email*:
Phone Number*:
Catalog No.*:
Comments and Specifics(amount, formulation, etc.)*:
Validation code: Captchapackage Image


Can't read the image? click here to refresh.
    *required field

Your bulk quote request has been submitted successfully!

Please contact us if you have any questions.