• Tel: 858.663.9055
  • SeparatorEmail: info@nsjbio.com
  • Tel: 858.663.9055
  • Email: info@nsjbio.com
Home >> Antibodies >> Topoisomerase II alpha Antibody / Knockdown-Validated Genome Stability Enzyme Antibody

Topoisomerase II alpha Antibody / Knockdown-Validated Genome Stability Enzyme Antibody [clone TOP2A/8103R] (V4495)

  Catalog No Formulation Size Price (USD)  
Image V4495-100UG 0.2 mg/ml in 1X PBS with 0.1 mg/ml BSA (US sourced), 0.05% sodium azide 100 ug 559
Image
V4495-20UG 0.2 mg/ml in 1X PBS with 0.1 mg/ml BSA (US sourced), 0.05% sodium azide 20 ug 259
Image
V4495SAF-100UG 1 mg/ml in 1X PBS; BSA free, sodium azide free 100 ug 559
Microvalidated Recrabbitmono
Bulk quote request
Topoisomerase II alpha Antibody Knockdown Validation WB. Western blot analysis of TOP2A expression in wild-type (WT) and TOP2A shRNA knockdown HeLa cells using Topoisomerase II alpha antibody clone TOP2A/8103R. Lane 1: WT lysate, Lane 2: shRNA knockdown lysate. The band at approximately 160-170 kDa is reduced in knockdown cells, supporting target-specific detection. Hsp90 alpha is shown as a loading control.
Topoisomerase II alpha Antibody A549 Cell WB. Western blot analysis of TOP2A expression in human A549 cell lysate using Topoisomerase II alpha antibody clone TOP2A/8103R. A band is detected at approximately 160-170 kDa, consistent with the predicted molecular weight of TOP2A.
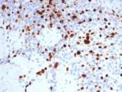
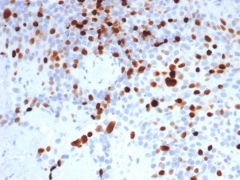
Topoisomerase II alpha Antibody Lymph Node IHC. Immunohistochemical analysis of DNA Topoisomerase II alpha (TOP2A) in formalin-fixed, paraffin-embedded human lymph node tissue using Topoisomerase II alpha antibody clone TOP2A/8103R. Strong nuclear HRP-DAB brown staining is observed in proliferating lymphocytes, with enrichment in germinal center regions, consistent with elevated expression during active cell division. HIER: boil tissue sections in pH 9 Tris-EDTA buffer for 20 min followed by cooling prior to staining.
Topoisomerase II alpha Antibody SDS-PAGE (Reducing vs Non-Reducing). SDS-PAGE analysis of Topoisomerase II alpha antibody clone TOP2A/8103R under reducing (R) and non-reducing (NR) conditions, showing expected antibody heavy and light chain band patterns.
Availability 1-3 business days
Species Reactivity Human
Format Purified
Host Rabbit
Clonality Recombinant Rabbit Monoclonal
Isotype Rabbit IgG, kappa
Clone Name TOP2A/8103R
Purity Protein A/G affinity
UniProt P11388
Localization Nucleus
Applications Immunohistochemistry (FFPE) : 1-2ug/ml for 30 minutes at RT
Western Blot : 2-4ug/ml
Limitations This Topoisomerase II alpha Antibody / Knockdown-Validated Genome Stability Enzyme Antibody is available for research use only.
Review this product on BioCompare and get a $20 Amazon gift card

Related Products

Description

DNA Topoisomerase II alpha (TOP2A) is a nuclear enzyme that plays an essential role in maintaining genome stability during DNA replication, transcription, and mitosis. TOP2A (TOP2A) functions by introducing transient double-strand breaks to relieve DNA supercoiling and resolve DNA entanglements, allowing proper chromosome condensation, segregation, and replication fork progression. As a core regulator of DNA topology, TOP2A is tightly linked to cell cycle progression and is most highly expressed in actively proliferating cells. The Topoisomerase II alpha Antibody / Knockdown-Validated Genome Stability Enzyme Antibody is developed to detect this critical enzyme with high specificity, supported by functional validation and robust performance across tissue-based and biochemical assays. It is part of a collection of knockdown validated antibodies that have been functionally assessed using gene silencing approaches to support target-specific detection.

Topoisomerase II alpha antibody, also referred to as TOP2A antibody and DNA topoisomerase II alpha antibody, recognizes a protein that localizes predominantly to the nucleus, consistent with its role in DNA metabolism and chromosomal dynamics. Immunohistochemistry analysis of formalin-fixed, paraffin-embedded human lymph node tissue demonstrates strong nuclear HRP-DAB brown staining in proliferating lymphoid cells, with particularly intense signal in germinal center lymphocytes. These regions represent zones of rapid clonal expansion and DNA replication, and the enriched nuclear staining pattern reflects the elevated expression of TOP2A in cells undergoing active cell cycle progression. The sharp contrast between strongly positive germinal centers and less proliferative surrounding regions provides a clear and biologically meaningful staining pattern for tissue-based analysis.

Western blot analysis identifies a distinct band at approximately 160–170 kDa in human cell lysates, consistent with the expected molecular weight of full-length TOP2A. The high molecular weight of this enzyme produces a clearly resolved band, supporting reliable detection in lysate-based assays. Importantly, knockdown validation using TOP2A-targeted shRNA in HeLa cells results in a marked and reproducible reduction in signal compared to wild-type controls, providing direct functional confirmation that the detected band corresponds to TOP2A protein. This gene silencing-based validation establishes a strong relationship between antibody signal and endogenous protein expression and supports use in studies requiring high confidence in target specificity.

Functionally, TOP2A expression is tightly regulated throughout the cell cycle, with peak levels observed during S phase and G2/M phases when DNA replication and chromosome segregation occur. Its expression is therefore closely associated with proliferative activity and is widely used as a marker of actively dividing cells in both normal and cancer tissues. In IHC, this biology is reflected by strong nuclear staining in proliferative compartments such as germinal centers, tumor cell populations, and other rapidly cycling cell types, while quiescent or differentiated cells exhibit lower levels of expression. This dynamic expression pattern makes TOP2A particularly useful for identifying regions of active cell division within complex tissue architectures.

In cancer biology, TOP2A is frequently overexpressed in high-grade tumors and is associated with aggressive proliferation and genomic instability. Its role in regulating DNA topology and chromosome segregation also underlies its importance as a target of chemotherapeutic agents that interfere with DNA replication processes. The ability to detect TOP2A reliably in both tissue sections and cell lysates is therefore important for studies of tumor progression, proliferative index, and genome maintenance mechanisms.

The combination of strong nuclear IHC staining in proliferative lymphoid compartments, clear high molecular weight detection in western blot, and functional knockdown validation makes clone TOP2A/8103R a well-characterized reagent for investigating genome stability and cell cycle regulation. These complementary validation approaches support its use in applications requiring high specificity and reproducibility, particularly in research focused on DNA replication, chromosomal integrity, and proliferative signaling pathways.

This antibody is part of a broader antibody panel offered by NSJ Bioreagents.

Application Notes

Optimal dilution of the Topoisomerase II alpha Antibody / Knockdown-Validated Genome Stability Enzyme Antibody should be determined by the researcher.

Immunogen

A recombinant partial protein sequence (within amino acids 1431-1531) from the human protein was used as the immunogen for the Topoisomerase II alpha Antibody / Genome Stability Enzyme Antibody.

Storage

Aliquot the Topoisomerase II alpha antibody and store frozen at -20oC or colder. Avoid repeated freeze-thaw cycles.

Alternate Names

Topoisomerase II alpha antibody, TOP2A antibody, DNA topoisomerase II alpha antibody, TOP2A proliferation marker antibody, TOP2A knockdown antibody

Cross
Bulk Quote Request Form
Name*:
Organization*:
Email*:
Phone Number*:
Catalog No.*:
Comments and Specifics(amount, formulation, etc.)*:
Validation code: Captchapackage Image


Can't read the image? click here to refresh.
    *required field

Your bulk quote request has been submitted successfully!

Please contact us if you have any questions.