• Tel: 858.663.9055
  • SeparatorEmail: info@nsjbio.com
  • Tel: 858.663.9055
  • Email: info@nsjbio.com
Home >> Antibodies >> Topoisomerase II alpha Antibody for IF / TOP2A Immunofluorescence Antibody

Topoisomerase II alpha Antibody for IF / TOP2A Immunofluorescence Antibody [clone TOP2A/1361] (V3443)

  Catalog No Formulation Size Price (USD)  
Image V3443-100UG 0.2 mg/ml in 1X PBS with 0.1 mg/ml BSA (US sourced) and 0.05% sodium azide 100 ug 559
Image
V3443-20UG 0.2 mg/ml in 1X PBS with 0.1 mg/ml BSA (US sourced) and 0.05% sodium azide 20 ug 259
Image
V3443SAF-100UG 1 mg/ml in 1X PBS; BSA free, sodium azide free 100 ug 559
Microvalidated
Bulk quote request
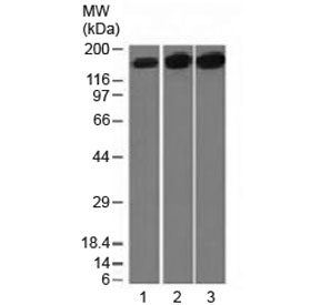
Western blot testing of 1) human HepG2, 2) HeLa and 3) mouse NIH3T3 cell lysate with Topoisomerase II alpha antibody (clone TOP2A/1361). Expected molecular weight ~174 kDa.
Western blot testing of human HeLa cell lysate with Topoisomerase II alpha antibody (clone TOP2A/1361). Expected molecular weight ~174 kDa.
IHC testing of FFPE human tonsil with Topoisomerase II alpha antibody (clone TOP2A/1361). Required HIER: boil sections in pH 9 10mM Tris with 1mM EDTA for 10-20 min followed by cooling at RT for 20 min.
IHC testing of FFPE human bladder carcinoma with Topoisomerase II alpha antibody (clone TOP2A/1361). Required HIER: boil sections in pH 9 10mM Tris with 1mM EDTA for 10-20 min followed by cooling at RT for 20 min.
Topoisomerase II alpha Antibody for IF / TOP2A Immunofluorescence Antibody (clone TOP2A/1361). Immunofluorescence analysis of PFA-fixed human HeLa cells using the mouse monoclonal clone TOP2A/1361 demonstrates strong nuclear fluorescence consistent with the intracellular localization of Topoisomerase II alpha. Cells were stained with Topoisomerase II alpha antibody (green) to visualize nuclear TOP2A protein distribution, while Phalloidin (red) highlights the actin cytoskeleton and cell boundaries. The merged image shows clear nuclear immunofluorescence signal corresponding to proliferating cells, consistent with the known role of TOP2A as a DNA replication associated nuclear enzyme. The Topoisomerase II alpha Antibody for IF enables high resolution fluorescence microscopy detection of TOP2A protein and supports immunofluorescence studies examining nuclear protein localization, cell cycle progression, and proliferation associated chromatin dynamics.
Analysis of HuProt(TM) microarray containing more than 19,000 full-length human proteins using Topoisomerase II alpha antibody (clone TOP2A/1361). These results demonstrate the foremost specificity of the TOP2A/1361 mAb.
Z- and S- score: The Z-score represents the strength of a signal that an antibody (in combination with a fluorescently-tagged anti-IgG secondary Ab) produces when binding to a particular protein on the HuProt(TM) array. Z-scores are described in units of standard deviations (SD's) above the mean value of all signals generated on that array. If the targets on the HuProt(TM) are arranged in descending order of the Z-score, the S-score is the difference (also in units of SD's) between the Z-scores. The S-score therefore represents the relative target specificity of an Ab to its intended target.
SDS-PAGE analysis of purified, BSA-free Topoisomerase II alpha antibody (clone TOP2A/1361) as confirmation of integrity and purity.
Species Reactivity Human, Mouse
Format Purified
Host Mouse
Clonality Monoclonal (mouse origin)
Isotype Mouse IgG2b, kappa
Clone Name TOP2A/1361
Purity Protein G affinity chromatography
UniProt P11388
Gene ID 7153
Localization Nuclear
Applications Immunofluorescence : 1-2ug/ml
Western Blot : 1-2ug/ml
Immunohistochemistry (FFPE) : 1-2ug/ml for 30 min at RT
Limitations This Topoisomerase II alpha antibody is available for research use only.
Review this product on BioCompare and get a $20 Amazon gift card

Related Products

Description

DNA topoisomerase II alpha (TOP2A) is a nuclear enzyme that regulates DNA topology during replication, transcription, and chromosome segregation. The protein belongs to the type II DNA topoisomerase family and functions by introducing transient double strand breaks that relieve torsional stress during DNA replication. TOP2A expression increases during the S phase and G2/M phases of the cell cycle and therefore serves as a well established marker of proliferating cells. The enzyme localizes predominantly within the nucleus where it participates in chromosome condensation and mitotic chromosome segregation.

Topoisomerase II alpha Antibody for IF (clone TOP2A/1361) is designed specifically for immunofluorescence based visualization of TOP2A protein in cultured cells and tissue derived cell preparations. In immunofluorescence microscopy assays, this mouse monoclonal antibody generates a strong nuclear fluorescence signal that reflects the intracellular distribution of TOP2A protein. Immunofluorescence imaging allows direct visualization of nuclear TOP2A localization at single cell resolution, enabling researchers to evaluate proliferation related nuclear protein patterns and cell cycle dependent changes in expression.

Immunofluorescence analysis of TOP2A antibody staining typically reveals distinct nuclear fluorescence in proliferating cells where the enzyme accumulates within chromatin regions involved in DNA replication and mitosis. Because immunofluorescence microscopy preserves cellular architecture, investigators can clearly observe nuclear enrichment of TOP2A while distinguishing the signal from surrounding cytoplasmic structures. This makes the Topoisomerase II alpha Antibody for IF particularly useful for fluorescence based imaging workflows that require precise intracellular localization of nuclear proteins.

Immunofluorescence techniques also allow TOP2A antibody staining to be combined with other fluorescent markers for multiplex imaging experiments. Co-staining with nuclear dyes such as DAPI and fluorescent antibodies targeting additional cell cycle proteins enables detailed analysis of nuclear organization and proliferation status. Through these immunofluorescence based approaches, TOP2A protein distribution can be examined in relation to chromatin structure, mitotic chromosomes, and other nuclear components.

The Topoisomerase II alpha Antibody for IF provides a reliable tool for fluorescence microscopy studies investigating nuclear proliferation markers and chromosome associated enzymes. Because immunofluorescence assays provide high spatial resolution, TOP2A antibody staining allows visualization of nuclear protein distribution patterns that cannot be resolved by bulk biochemical assays. Researchers frequently use immunofluorescence microscopy to examine how TOP2A localization changes during cell cycle progression or in response to cellular stress and DNA replication activity.

Clone TOP2A/1361 specificity has been evaluated using protein microarray analysis containing thousands of full length human proteins. Protein microarray validation demonstrates selective recognition of TOP2A while minimizing cross-reactivity with unrelated proteins. This level of specificity is particularly important for immunofluorescence microscopy because accurate intracellular fluorescence signals depend on highly specific antibody binding to the intended nuclear target.

When used in immunofluorescence imaging experiments, the Topoisomerase II alpha Antibody for IF highlights nuclei of actively dividing cells where TOP2A regulates DNA topology during replication and chromosome segregation. The clear nuclear fluorescence signal produced by clone TOP2A/1361 makes it well suited for microscopy-based studies examining cell proliferation, chromatin dynamics, and nuclear organization in cell biology research.

Application Notes

The concentration stated for each application is a general starting point. Variations in protocols, secondaries and substrates may require the Topoisomerase II alpha Antibody for IF / TOP2A Immunofluorescence Antibody to be titered up or down for optimal performance.

Immunogen

Amino acids 1352-1493 from the human protein were used as the immunogen for this Topoisomerase II alpha Antibody for IF / TOP2A Immunofluorescence Antibody.

Storage

Store the Topoisomerase II alpha antibody at 2-8oC (with azide) or aliquot and store at -20oC or colder (without azide).

Alternate Names

TOP2A antibody, DNA Topoisomerase II alpha antibody, Topoisomerase IIa antibody, TOP2A nuclear enzyme antibody, DNA topoisomerase II antibody

Cross
Bulk Quote Request Form
Name*:
Organization*:
Email*:
Phone Number*:
Catalog No.*:
Comments and Specifics(amount, formulation, etc.)*:
Validation code: Captchapackage Image


Can't read the image? click here to refresh.
    *required field

Your bulk quote request has been submitted successfully!

Please contact us if you have any questions.