• Tel: 858.663.9055
  • SeparatorEmail: info@nsjbio.com
  • Tel: 858.663.9055
  • Email: info@nsjbio.com
Home >> Antibodies >> Topo IIa Antibody / Topoisomerase II alpha

Topo IIa Antibody / Topoisomerase II alpha [clone TOP2A/7148R] (V4496)

  Catalog No Formulation Size Price (USD)  
Image V4496-100UG 0.2 mg/ml in 1X PBS with 0.1 mg/ml BSA (US sourced), 0.05% sodium azide 100 ug 559
Image
V4496-20UG 0.2 mg/ml in 1X PBS with 0.1 mg/ml BSA (US sourced), 0.05% sodium azide 20 ug 259
Image
V4496SAF-100UG 1 mg/ml in 1X PBS; BSA free, sodium azide free 100 ug 559
Microvalidated Recrabbitmono
Bulk quote request
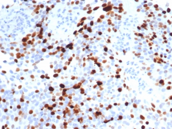
Topo IIa Antibody / Topoisomerase II alpha (clone TOP2A/7148R). Immunohistochemistry analysis of FFPE human lymph node tissue demonstrates strong nuclear staining of DNA Topoisomerase II alpha in proliferating lymphoid cells. Nuclear immunoreactivity is enriched within germinal center lymphocytes, reflecting elevated expression of Topo IIa in rapidly dividing immune cells. As a Topo IIa antibody, clone TOP2A/7148R highlights cells in which DNA Topoisomerase II alpha regulates DNA topology and chromosome organization during cell division. HIER: boil tissue sections in pH 9 Tris-EDTA buffer for 20 min followed by cooling at RT prior to immunohistochemistry staining.
Availability 1-3 business days
Species Reactivity Human
Format Purified
Host Rabbit
Clonality Recombinant Rabbit Monoclonal
Isotype Rabbit IgG, kappa
Clone Name TOP2A/7148R
Purity Protein A/G affinity
UniProt P11388
Localization Nucleus
Applications Immunohistochemistry (FFPE) : 1-2ug/ml for 30 minutes at RT
Limitations This Topo IIa antibody is available for research use only.
Review this product on BioCompare and get a $20 Amazon gift card

Related Products

Description

DNA Topoisomerase II alpha (TOP2A) is a nuclear enzyme that regulates DNA topology during DNA replication, transcription, and chromosome organization. Topo IIa Antibody / Topoisomerase II alpha (clone TOP2A/7148R) detects the TOP2A protein, a type II topoisomerase that resolves DNA supercoiling and DNA entanglements generated during genome duplication and chromatin remodeling. The enzyme introduces transient double strand DNA breaks that allow one DNA helix to pass through another, relieving torsional strain and maintaining proper chromosome architecture in proliferating cells.

Topo IIa Antibody / Topoisomerase II alpha (clone TOP2A/7148R) recognizes the TOP2A protein, a nuclear enzyme widely known as Topo IIa, a commonly used abbreviation for DNA Topoisomerase II alpha in the scientific literature. Topo IIa antibody, also referred to as Topoisomerase II alpha antibody or DNA Topoisomerase II alpha antibody, detects the enzyme responsible for controlling DNA topology and resolving structural DNA constraints generated during genome duplication and chromatin remodeling.

Topo IIa is a critical regulator of chromosome structure because it resolves DNA supercoiling, DNA knotting, and DNA catenation events that arise during DNA metabolic processes. By transiently cleaving and rejoining DNA strands, the enzyme allows intertwined DNA molecules to be separated and relieves torsional stress that accumulates during DNA replication and transcription. These activities help maintain proper chromosome organization and support efficient DNA metabolic activity within the nucleus.

The designation Topo IIa Antibody differentiates this antibody page from other Topoisomerase II alpha antibody pages by emphasizing the widely used Topo IIa abbreviation frequently referenced in molecular biology literature. Structuring antibody pages around alternative protein naming conventions such as Topo IIa is a useful strategy antibody vendors employ to ensure that multiple antibodies targeting the same protein are interpreted by search engines as distinct research reagents rather than duplicate content while still capturing common search terms used by researchers.

Topo IIa plays an essential role in maintaining chromosome structure and genomic integrity during cell division. Because the enzyme regulates DNA topology and resolves DNA entanglements generated during chromosome replication and condensation, antibodies recognizing Topo IIa support research investigating chromosome architecture, DNA topology control, and molecular mechanisms that regulate genome organization in proliferating cells.

Application Notes

Optimal dilution of the Topo IIa antibody should be determined by the researcher.

Immunogen

A synthetic peptide corresponding to human Topoisomerase II alpha protein (within amino acids 1431-1531) was used as the immunogen for the Topo IIa antibody.

Storage

Aliquot the Topo IIa antibody and store frozen at -20oC or colder. Avoid repeated freeze-thaw cycles.

Alternate Names

TOP2A antibody, DNA Topoisomerase II alpha antibody, Topoisomerase IIa antibody, Topo II alpha antibody, Topoisomerase II alpha antibody

Cross
Bulk Quote Request Form
Name*:
Organization*:
Email*:
Phone Number*:
Catalog No.*:
Comments and Specifics(amount, formulation, etc.)*:
Validation code: Captchapackage Image


Can't read the image? click here to refresh.
    *required field

Your bulk quote request has been submitted successfully!

Please contact us if you have any questions.