• Tel: 858.663.9055
  • SeparatorEmail: info@nsjbio.com
  • Tel: 858.663.9055
  • Email: info@nsjbio.com
Home >> Antibodies >> TOPBP1 Antibody / DNA topoisomerase II-binding protein 1

TOPBP1 Antibody / DNA topoisomerase II-binding protein 1 (FY13094)

  Catalog No Formulation Size Price (USD)  
Image FY13094 Adding 0.2 ml of distilled water will yield a concentration of 500 ug/ml 100 ug 439
Bulk quote request
Immunofluorescent staining of TOPBP1 using anti-TOPBP1 antibody (green) and anti-Beta Tubulin antibody (red). TOPBP1 was detected in an immunocytochemical section of U2OS cells. Enzyme antigen retrieval was performed using IHC enzyme antigen retrieval reagent for 15 mins. The cells were blocked with 10% goat serum. And then incubated with 5 ug/ml rabbit anti-TOPBP1 antibody and mouse anti-Beta Tubulin antibody overnight at 4oC. DyLight 488 Conjugated Goat Anti-Rabbit IgG and Cy3 Conjugated Goat Anti-Mouse IgG were used as secondary antibody at 1:500 dilution and incubated for 30 minutes at 37oC. Visualize using a fluorescence microscope and filter sets appropriate for the label used. TOPBP1 displays a punctate nuclear distribution, consistent with its localization to replication and DNA damage–response foci during interphase. The heterogeneous green signal reflects differential concentration within the nucleoplasm, with nucleoli appearing as unstained regions. Beta-tubulin marks the cytoskeleton in red.
Western blot analysis of TOPBP1 using anti-TOPBP1 antibody. Electrophoresis was performed on a 8% SDS-PAGE gel at 80V (Stacking gel) / 120V (Resolving gel) for 2 hours. Lane 1: human Hela whole cell lysates, Lane 2: human HT1080 whole cell lysates, Lane 3: human HEL whole cell lysates. After electrophoresis, proteins were transferred to a nitrocellulose membrane at 150 mA for 50-90 minutes. Blocked the membrane with 5% non-fat milk/TBS for 1.5 hour at RT. The membrane was incubated with rabbit anti-TOPBP1 antibody at 0.5 ug/ml overnight at 4oC, then washed with TBS-0.1%Tween 3 times with 5 minutes each and probed with a goat anti-rabbit IgG-HRP secondary antibody at a dilution of 1:5000 for 1.5 hour at RT. The signal was developed using an ECL Plus Western Blotting Substrate. The expected molecular weight of TOPBP1 is ~170 kDa.
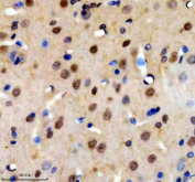
Immunohistochemical staining of TOPBP1 using anti-TOPBP1 antibody. TOPBP1 was detected in a paraffin-embedded section of mouse brain tissue. Heat mediated antigen retrieval was performed in EDTA buffer (pH 8.0, epitope retrieval solution). The tissue section was blocked with 10% goat serum. The tissue section was then incubated with 2 ug/ml rabbit anti-TOPBP1 antibody overnight at 4oC. Peroxidase Conjugated Goat Anti-rabbit IgG was used as secondary antibody and incubated for 30 minutes at 37oC. The tissue section was developed using an HRP secondary and DAB substrate.
Immunohistochemical staining of TOPBP1 using anti-TOPBP1 antibody. TOPBP1 was detected in a paraffin-embedded section of rat brain tissue. Heat mediated antigen retrieval was performed in EDTA buffer (pH 8.0, epitope retrieval solution). The tissue section was blocked with 10% goat serum. The tissue section was then incubated with 2 ug/ml rabbit anti-TOPBP1 antibody overnight at 4oC. Peroxidase Conjugated Goat Anti-rabbit IgG was used as secondary antibody and incubated for 30 minutes at 37oC. The tissue section was developed using an HRP secondary and DAB substrate.
Immunoprecipitating (IP) TOPBP1 in Hela whole cell lysate. Western blot analysis of TOPBP1 using anti-TOPBP1 antibody; Lane 1: Hela whole cell lysates (30ug); Lane 2: Rabbit control IgG instead of anti-TOPBP1 antibody in Hela whole cell lysate; Lane 3: anti-TOPBP1 antibody (2ug) + Hela whole cell lysate (500ug). After electrophoresis, proteins were transferred to a membrane. Then the membrane was incubated with rabbit anti-TOPBP1 antibody at a dilution of 0.5 ug/ml and probed with a goat anti-rabbit IgG-HRP secondary antibody. The signal is developed using ECL Plus Western Blotting Substrate. A specific band was detected for TOPBP1 at approximately 170 kDa. The expected molecular weight of TOPBP1 is at 170 kDa.
Availability 1-2 days
Species Reactivity Human, Mouse, Rat
Format Lyophilized
Clonality Polyclonal (rabbit origin)
Isotype Rabbit IgG
Purity Immunogen affinity purified
Buffer Each vial contains 4 mg Trehalose, 0.9 mg NaCl, 0.2 mg Na2HPO4.
UniProt Q92547
Localization Nuclear, cytoplasmic
Applications Western Blot : 0.25-0.5ug/ml
Immunohistochemistry : 2-5ug/ml
Immunocytochemistry/Immunofluorescence : 5ug/ml
Immunoprecipitation : 2-4ug/500ug of lysate
ELISA : 0.1-0.5ug/ml
Limitations This TOPBP1 antibody is available for research use only.
Review this product on BioCompare and get a $20 Amazon gift card

Description

TOPBP1 antibody detects DNA topoisomerase II-binding protein 1, a nuclear scaffold protein essential for DNA replication initiation, checkpoint activation, and repair. The UniProt recommended name is DNA topoisomerase II-binding protein 1 (TOPBP1). This large BRCT domain-containing protein acts as a mediator between replication machinery and checkpoint kinases ATR and CHK1 to maintain genomic stability.

Functionally, TOPBP1 antibody identifies a 1522-amino-acid nuclear protein that binds DNA, replication origins, and repair complexes. TOPBP1 activates ATR kinase during replication stress, recruiting it to single-stranded DNA regions coated with replication protein A (RPA). It also coordinates DNA damage repair by interacting with RAD9-RAD1-HUS1 and other checkpoint complexes, ensuring proper S-phase progression.

The TOPBP1 gene is located on chromosome 3q22.1 and is expressed in proliferating cells across many tissues. It plays key roles in origin firing by recruiting DNA polymerase alpha/primase complexes and regulating topoisomerase II at replication forks. Through its multiple BRCT domains, TOPBP1 serves as a dynamic hub for DNA replication and checkpoint signaling.

Pathologically, overexpression or mutation of TOPBP1 has been linked to genomic instability, cancer progression, and chemoresistance. Increased TOPBP1 expression is observed in breast, ovarian, and lung cancers, where it supports high replication demand and stress tolerance. Its checkpoint-regulating activity makes it a potential target for sensitizing tumors to DNA-damaging therapies. Research using TOPBP1 antibody provides insight into replication stress response and genome surveillance mechanisms.

TOPBP1 antibody is suitable for western blotting, immunofluorescence, and chromatin immunoprecipitation to detect nuclear replication complexes. NSJ Bioreagents offers validated TOPBP1 antibody reagents designed for DNA damage repair and checkpoint signaling studies.

Structurally, TOPBP1 contains eight BRCT domains that recognize phosphorylated protein motifs, mediating interactions with DNA repair factors and replication initiators. This antibody helps elucidate how TOPBP1 integrates replication initiation and checkpoint control to preserve genome integrity.

Application Notes

Optimal dilution of the TOPBP1 antibody should be determined by the researcher.

Immunogen

E.coli-derived human TOPBP1 recombinant protein (Position: E217-Q1459) was used as the immunogen for the TOPBP1 antibody.

Storage

After reconstitution, the TOPBP1 antibody can be stored for up to one month at 4oC. For long-term, aliquot and store at -20oC. Avoid repeated freezing and thawing.

Cross
Bulk Quote Request Form
Name*:
Organization*:
Email*:
Phone Number*:
Catalog No.*:
Comments and Specifics(amount, formulation, etc.)*:
Validation code: Captchapackage Image


Can't read the image? click here to refresh.
    *required field

Your bulk quote request has been submitted successfully!

Please contact us if you have any questions.