• Tel: 858.663.9055
  • SeparatorEmail: info@nsjbio.com
  • Tel: 858.663.9055
  • Email: info@nsjbio.com
Home >> Antibodies >> TOP3B Antibody / DNA topoisomerase 3-beta-1

TOP3B Antibody / DNA topoisomerase 3-beta-1 (RQ7858)

  Catalog No Formulation Size Price (USD)  
Image RQ7858 0.5mg/ml if reconstituted with 0.2ml sterile DI water 100 ug 449
Bulk quote request
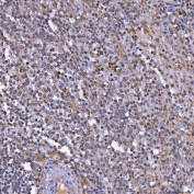
IHC staining of FFPE human spleen tissue with TOP3B antibody. HIER: boil tissue sections in pH8 EDTA for 20 min and allow to cool before testing.
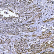
IHC staining of FFPE human ovarian serous adenocarcinoma tissue with TOP3B antibody. HIER: boil tissue sections in pH8 EDTA for 20 min and allow to cool before testing.
IHC staining of FFPE human placental tissue with TOP3B antibody. HIER: boil tissue sections in pH8 EDTA for 20 min and allow to cool before testing.
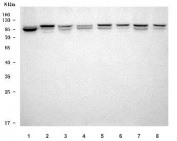
Western blot testing of 1) human K562, 2) human U-87 MG, 3) human U-251, 4) human 293T, 5) rat testis, 6) rat brain, 7) mouse testis and 8) mouse brain tissue lysate with TOP3B antibody. Predicted molecular weight: 80-97 kDa (multiple isoforms).
Availability 1-3 business days
Species Reactivity Human, Mouse, Rat
Format Antigen affinity purified
Host Rabbit
Clonality Polyclonal (rabbit origin)
Isotype Rabbit IgG
Purity Antigen affinity purified
Buffer Lyophilized from 1X PBS with 2% Trehalose
UniProt O95985
Localization Nuclear
Applications Western Blot : 0.5-1ug/ml
Immunohistochemistry (FFPE) : 2-5ug/ml
Direct ELISA : 0.1-0.5ug/ml
Limitations This TOP3B antibody is available for research use only.
Review this product on BioCompare and get a $20 Amazon gift card

Description

DNA topoisomerase 3-beta-1 is an enzyme that in humans is encoded by the TOP3B gene. This gene encodes a DNA topoisomerase, an enzyme that controls and alters the topologic states of DNA during transcription. This enzyme catalyzes the transient breaking and rejoining of a single strand of DNA which allows the strands to pass through one another, thus relaxing the supercoils and altering the topology of DNA. The enzyme interacts with DNA helicase SGS1 and plays a role in DNA recombination, cellular aging and maintenance of genome stability. Low expression of this gene may be related to higher survival rates in breast cancer patients. This gene has a pseudogene on chromosome 22. Alternate splicing results in multiple transcript variants. Additional alternatively spliced transcript variants of this gene have been described, but their full-length nature is not known.

Application Notes

Optimal dilution of the TOP3B antibody should be determined by the researcher.

Immunogen

E. coli-derived recombinant human protein (amino acids E128-R824) was used as the immunogen for the TOP3B antibody.

Storage

After reconstitution, the TOP3B antibody can be stored for up to one month at 4oC. For long-term, aliquot and store at -20oC. Avoid repeated freezing and thawing.

Cross
Bulk Quote Request Form
Name*:
Organization*:
Email*:
Phone Number*:
Catalog No.*:
Comments and Specifics(amount, formulation, etc.)*:
Validation code: Captchapackage Image


Can't read the image? click here to refresh.
    *required field

Your bulk quote request has been submitted successfully!

Please contact us if you have any questions.