• Tel: 858.663.9055
  • SeparatorEmail: info@nsjbio.com
  • Tel: 858.663.9055
  • Email: info@nsjbio.com
Home >> Antibodies >> TOP1MT Antibody / DNA topoisomerase 1 mitochondrial

TOP1MT Antibody / DNA topoisomerase 1 mitochondrial (FY12093)

  Catalog No Formulation Size Price (USD)  
Image FY12093 Adding 0.2 ml of distilled water will yield a concentration of 500 ug/ml 100 ug 449
Bulk quote request
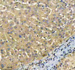
IHC analysis of TOP1MT using anti-TOP1MT antibody. TOP1MT was detected in a paraffin-embedded section of human liver cancer tissue. Heat mediated antigen retrieval was performed in EDTA buffer (pH 8.0, epitope retrieval solution). The tissue section was blocked with 10% goat serum. The tissue section was then incubated with 2 ug/ml rabbit anti-TOP1MT antibody overnight at 4oC. Peroxidase Conjugated Goat Anti-rabbit IgG was used as secondary antibody and incubated for 30 minutes at 37oC. The tissue section was developed using an HRP secondary and DAB substrate.
Western blot analysis of TOP1MT using anti-TOP1MT antibody. Electrophoresis was performed on a 10% SDS-PAGE gel at 80V (Stacking gel) / 120V (Resolving gel) for 2 hours. Lane 1: human COLO-320 whole cell lysates, Lane 2: human HEL whole cell lysates, Lane 3: human THP-1 whole cell lysates, Lane 4: human K562 whole cell lysates, Lane 5: rat herat tissue lysates. After electrophoresis, proteins were transferred to a nitrocellulose membrane at 150 mA for 50-90 minutes. Blocked the membrane with 5% non-fat milk/TBS for 1.5 hour at RT. The membrane was incubated with rabbit anti-TOP1MT antibody at 0.5 ug/ml overnight at 4oC, then washed with TBS-0.1%Tween 3 times with 5 minutes each and probed with a goat anti-rabbit IgG-HRP secondary antibody at a dilution of 1:5000 for 1.5 hour at RT. The signal was developed using an ECL Plus Western Blotting Substrate. A specific band was detected for TOP1MT at approximately 70 kDa. The expected band size for TOP1MT is at 70 kDa.
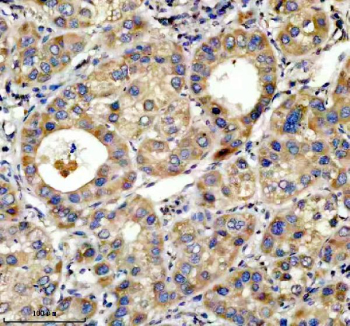
IHC analysis of TOP1MT using anti-TOP1MT antibody. TOP1MT was detected in a paraffin-embedded section of human liver tissue. Heat mediated antigen retrieval was performed in EDTA buffer (pH 8.0, epitope retrieval solution). The tissue section was blocked with 10% goat serum. The tissue section was then incubated with 2 ug/ml rabbit anti-TOP1MT antibody overnight at 4oC. Peroxidase Conjugated Goat Anti-rabbit IgG was used as secondary antibody and incubated for 30 minutes at 37oC. The tissue section was developed using an HRP secondary and DAB substrate.
Flow Cytometry analysis of HEL cells using anti-TOP1MT antibody. Overlay histogram showing HEL cells stained with (Blue line). To facilitate intracellular staining, cells were fixed with 4% paraformaldehyde and permeabilized with permeabilization buffer. The cells were blocked with 10% normal goat serum. And then incubated with rabbit anti-TOP1MT antibody (1 ug/million cells) for 30 min at 20oC. DyLight 488 conjugated goat anti-rabbit IgG (5-10 ug/million cells) was used as secondary antibody for 30 minutes at 20oC. Isotype control antibody (Green line) was rabbit IgG (1 ug/million cells) used under the same conditions. Unlabelled sample without incubation with primary antibody and secondary antibody (Red line) was used as a blank control.
Availability 1-2 days
Species Reactivity Human, Mouse
Format Lyophilized
Host Rabbit
Clonality Polyclonal (rabbit origin)
Isotype Rabbit IgG
Purity Immunogen affinity purified
Buffer Each vial contains 4 mg Trehalose, 0.9 mg NaCl, 0.2 mg Na2HPO4.
UniProt Q969P6
Localization Cytoplasmic (Mitochondria)
Applications Western Blot : 0.25-0.5ug/ml
Immunohistochemistry : 2-5ug/ml
Flow Cytometry : 1-3ug/million cells
ELISA : 0.1-0.5ug/ml
Limitations This TOP1MT antibody is available for research use only.
Review this product on BioCompare and get a $20 Amazon gift card

Related Products

Description

TOP1MT antibody detects DNA topoisomerase 1 mitochondrial, encoded by the TOP1MT gene. DNA topoisomerase 1 mitochondrial is an enzyme located in the mitochondrial matrix that relaxes supercoiled mitochondrial DNA, enabling replication, transcription, and repair. TOP1MT antibody provides researchers with a specific reagent for studying mitochondrial DNA metabolism, genome maintenance, and disease.

DNA topoisomerase 1 mitochondrial functions by introducing transient single-strand breaks in DNA, relieving torsional stress during replication and transcription. Research using TOP1MT antibody has shown that this enzyme maintains mitochondrial genome integrity by resolving supercoils generated during transcription of mitochondrial genes. Its activity is essential for proper mitochondrial gene expression and energy production.

Studies with TOP1MT antibody have revealed that loss of TOP1MT disrupts mitochondrial transcription and translation, impairing oxidative phosphorylation. This leads to reduced ATP generation, altered mitochondrial morphology, and increased oxidative stress. These phenotypes underscore its central role in mitochondrial biology.

Dysregulation of DNA topoisomerase 1 mitochondrial has been associated with human disease. Research using TOP1MT antibody has shown that variants can contribute to mitochondrial dysfunction, neuromuscular disorders, and cardiomyopathies. Furthermore, reduced TOP1MT activity exacerbates mitochondrial genome instability, linking it to degenerative and metabolic diseases.

Beyond mitochondrial maintenance, TOP1MT has been implicated in cellular stress responses and cancer. Research using TOP1MT antibody has shown that altered expression influences sensitivity to chemotherapy agents targeting topoisomerases, suggesting potential relevance in therapeutic response.

TOP1MT antibody is widely applied in immunohistochemistry, western blotting, and mitochondrial fractionation studies. Immunohistochemistry demonstrates mitochondrial localization, western blotting quantifies expression across tissues, and fractionation confirms enrichment in mitochondria. These applications make TOP1MT antibody indispensable in mitochondrial research.

By supplying validated TOP1MT antibody reagents, NSJ Bioreagents supports studies into mitochondrial genome regulation, oxidative phosphorylation, and disease. Detection of DNA topoisomerase 1 mitochondrial provides researchers with insight into how mitochondrial enzymes preserve genome stability and energy metabolism.

Application Notes

Optimal dilution of the TOP1MT antibody should be determined by the researcher.

Immunogen

E.coli-derived human TOP1MT recombinant protein (Position: E18-F601) was used as the immunogen for the TOP1MT antibody.

Storage

After reconstitution, the TOP1MT antibody can be stored for up to one month at 4oC. For long-term, aliquot and store at -20oC. Avoid repeated freezing and thawing.

Cross
Bulk Quote Request Form
Name*:
Organization*:
Email*:
Phone Number*:
Catalog No.*:
Comments and Specifics(amount, formulation, etc.)*:
Validation code: Captchapackage Image


Can't read the image? click here to refresh.
    *required field

Your bulk quote request has been submitted successfully!

Please contact us if you have any questions.