• Tel: 858.663.9055
  • SeparatorEmail: info@nsjbio.com
  • Tel: 858.663.9055
  • Email: info@nsjbio.com
Home >> Antibodies >> TOMM40 Antibody

TOMM40 Antibody (RQ7332)

  Catalog No Formulation Size Price (USD)  
Image RQ7332 0.5mg/ml if reconstituted with 0.2ml sterile DI water 100 ug 449
Bulk quote request
Immunofluorescent staining of FFPE human colon cancer tissue with TOMM40 antibody (red) and DAPI nuclear stain (blue). HIER: steam section in pH8 EDTA buffer for 20 min.
Immunofluorescent staining of FFPE human A549 cells with TOMM40 antibody (green) and DAPI nuclear stain (blue). HIER: steam section in pH6 citrate buffer for 20 min.
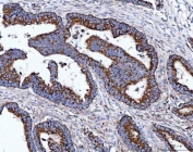
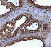
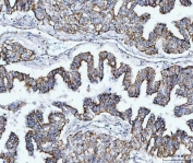
IHC staining of FFPE human ovarian cancer tissue with TOMM40 antibody. HIER: boil tissue sections in pH8 EDTA for 20 min and allow to cool before testing.
IHC staining of FFPE human liver cancer tissue with TOMM40 antibody. HIER: boil tissue sections in pH8 EDTA for 20 min and allow to cool before testing.
IHC staining of FFPE human rectal cancer tissue with TOMM40 antibody. HIER: boil tissue sections in pH8 EDTA for 20 min and allow to cool before testing.
IHC staining of FFPE human lung adenocarcinoma tissue with TOMM40 antibody. HIER: boil tissue sections in pH8 EDTA for 20 min and allow to cool before testing.
IHC staining of FFPE human diffuse large B cell lymphoma tissue with TOMM40 antibody. HIER: boil tissue sections in pH8 EDTA for 20 min and allow to cool before testing.
IHC staining of FFPE human tonsil tissue with TOMM40 antibody. HIER: boil tissue sections in pH8 EDTA for 20 min and allow to cool before testing.
Western blot testing of human 1) HeLa, 2) 293T, 3) MCF7 and 4) HepG2 cell lysate with TOMM40 antibody. Predicted molecular weight ~37 kDa.
Flow cytometry testing of human MCF7 cells with TOMM40 antibody at 1ug/million cells (blocked with goat sera); Red=cells alone, Green=isotype control, Blue= TOMM40 antibody.
Availability 1-3 business days
Species Reactivity Human
Format Antigen affinity purified
Host Rabbit
Clonality Polyclonal (rabbit origin)
Isotype Rabbit IgG
Purity Antigen affinity purified
Buffer Lyophilized from 1X PBS with 2% Trehalose
UniProt O96008
Localization Cytoplasmic (mitochondria)
Applications Western Blot : 0.5-1ug/ml
Immunohistochemistry (FFPE) : 2-5ug/ml
Immunofluorescence : 5ug/ml
Flow Cytometry : 1-3ug/million cells
Direct ELISA : 0.1-0.5ug/ml
Limitations This TOMM40 antibody is available for research use only.
Review this product on BioCompare and get a $20 Amazon gift card

Related Products

  • Applications : WB, ELISA (peptide)
    Reactivity : Human
    Pred. Reactivity : Cow, Dog, Mouse, Rat
  • Applications : WB
    Reactivity : Human

Description

Translocase of outer mitochondrial membrane 40 homolog (yeast), also known as TOMM40, is a protein which in humans is encoded by the TOMM40 gene. The protein encoded by this gene is localized in the outer membrane of the mitochondria. It is the channel-forming subunit of the translocase of the mitochondrial outer membrane (TOM) complex that is essential for import of protein precursors into mitochondria. Alternatively spliced transcript variants have been found for this gene.

Application Notes

Optimal dilution of the TOMM40 antibody should be determined by the researcher.

Immunogen

Recombinant human protein (amino acids N111-K315) was used as the immunogen for the TOMM40 antibody.

Storage

After reconstitution, the TOMM40 antibody can be stored for up to one month at 4oC. For long-term, aliquot and store at -20oC. Avoid repeated freezing and thawing.

Cross
Bulk Quote Request Form
Name*:
Organization*:
Email*:
Phone Number*:
Catalog No.*:
Comments and Specifics(amount, formulation, etc.)*:
Validation code: Captchapackage Image


Can't read the image? click here to refresh.
    *required field

Your bulk quote request has been submitted successfully!

Please contact us if you have any questions.