• Tel: 858.663.9055
  • SeparatorEmail: info@nsjbio.com
  • Tel: 858.663.9055
  • Email: info@nsjbio.com
Home >> Antibodies >> TNXB Antibody

TNXB Antibody (R32015)

  Catalog No Formulation Size Price (USD)  
Image R32015 0.5mg/ml if reconstituted with 0.2ml sterile DI water 100 ug 449
Bulk quote request
Immunofluorescent staining of FFPE human MCF7 cells with TNXB antibody (red) and DAPI nuclear stain (blue). HIER: steam section in pH6 citrate buffer for 20 min.
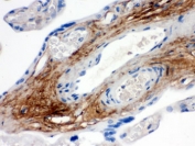
IHC testing of FFPE human placenta with TNXB antibody. HIER: Boil the paraffin sections in pH 6, 10mM citrate buffer for 20 minutes and allow to cool prior to staining.
Western blot testing of human 1) MCF7, 2) SW620 and 3) HeLa cell lysate with TNXB antibody. Expected molecular weight ~458 kDa.
Flow cytometry testing of human HeLa cells with TNXB antibody at 1ug/million cells (blocked with goat sera); Red=cells alone, Green=isotype control, Blue= TNXB antibody.
Availability 1-3 business days
Species Reactivity Human
Format Antigen affinity purified
Host Rabbit
Clonality Polyclonal (rabbit origin)
Isotype Rabbit IgG
Purity Antigen affinity
Buffer Lyophilized from 1X PBS with 2.5% BSA and 0.025% sodium azide
UniProt P22105
Localization Cytoplasmic
Applications Western Blot : 0.1-0.5ug/ml
Immunohistochemistry (FFPE) : 0.5-1ug/ml
Immunofluorescence (FFPE) : 2-4ug/ml
Flow Cytometry : 1-3ug/million cells
Limitations This TNXB antibody is available for research use only.
Review this product on BioCompare and get a $20 Amazon gift card

Description

Tenascin X (TN-X), also known as hexabrachion-like protein, is a glycoprotein that is expressed in connective tissues including skin, joints and muscles. In humans, tenascin X is encoded by the TNXB gene. This gene encodes a member of the tenascin family of extracellular matrix glycoproteins. The tenascins have anti-adhesive effects, as opposed to fibronectin which is adhesive. This protein is thought to function in matrix maturation during wound healing, and its deficiency has been associated with the connective tissue disorder Ehlers-Danlos syndrome. This gene localizes to the major histocompatibility complex (MHC) class III region on chromosome 6. It is one of four genes in this cluster which have been duplicated. The duplicated copy of this gene is incomplete and is a pseudogene which is transcribed but does not encode a protein. The structure of this gene is unusual in that it overlaps the CREBL1 and CYP21A2 genes at its 5' and 3' ends, respectively. Multiple transcript variants encoding different isoforms have been found for this gene.

Application Notes

Optimal dilution of the TNXB antibody should be determined by the researcher.

Immunogen

Amino acids DLRAVAVSGLDPARKYKFLLFGLQNGKRH of human TNXB were used as the immunogen for the TNXB antibody.

Storage

After reconstitution, the TNXB antibody can be stored for up to one month at 4oC. For long-term, aliquot and store at -20oC. Avoid repeated freezing and thawing.

Cross
Bulk Quote Request Form
Name*:
Organization*:
Email*:
Phone Number*:
Catalog No.*:
Comments and Specifics(amount, formulation, etc.)*:
Validation code: Captchapackage Image


Can't read the image? click here to refresh.
    *required field

Your bulk quote request has been submitted successfully!

Please contact us if you have any questions.