• Tel: 858.663.9055
  • SeparatorEmail: info@nsjbio.com
  • Tel: 858.663.9055
  • Email: info@nsjbio.com
Home >> Antibodies >> TNS3 Antibody / Tensin 3

TNS3 Antibody / Tensin 3 (FY12825)

  Catalog No Formulation Size Price (USD)  
Image FY12825 Adding 0.2 ml of distilled water will yield a concentration of 500 ug/ml 100 ug 449
Bulk quote request
Immunofluorescent staining of TNS3 using anti-TNS3 antibody. TNS3 was detected in an immunocytochemical section of U2OS cells. Enzyme antigen retrieval was performed using IHC enzyme antigen retrieval reagent for 15 mins. The cells were blocked with 10% goat serum. And then incubated with 5 ug/ml rabbit anti-TNS3 antibody overnight at 4oC. DyLight 488 Conjugated Goat Anti-Rabbit IgG was used as secondary antibody at 1:500 dilution and incubated for 30 minutes at 37oC. The section was counterstained with DAPI nuclear stain (blue). TNS3 localizes to focal adhesions as peripheral puncta and short streaks at stress-fiber termini, consistent with its focal-adhesion scaffold role.
Western blot analysis of TNS3 using anti-TNS3 antibody. Lane 1: human HepG2 whole cell lysates, Lane 2: human PC-3 whole cell lysates, Lane 3: human whole cell lysates, Lane 4: human U251 whole cell lysates. After electrophoresis, proteins were transferred to a nitrocellulose membrane at 150 mA for 50-90 minutes. Blocked the membrane with 5% non-fat milk/TBS for 1.5 hour at RT. The membrane was incubated with rabbit anti-TNS3 antibody at 0.25 ug/ml overnight at 4oC, then washed with TBS-0.1%Tween 3 times with 5 minutes each and probed with a goat anti-rabbit IgG-HRP secondary antibody at a dilution of 1:5000 for 1.5 hour at RT. The signal was developed using enhanced chemiluminescent. TNS3 western blot across human cell lines shows a single major band near ~155 kDa, consistent with the expected molecular weight of full-length Tensin-3. Minor size variation between lanes reflects phosphorylation-dependent mobility differences commonly observed for this focal-adhesion protein.
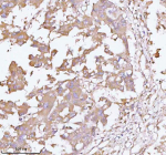
Immunohistochemical staining of TNS3 using anti-TNS3 antibody. TNS3 was detected in a paraffin-embedded section of human endometrioid adenocarcinoma tissue. Heat mediated antigen retrieval was performed in EDTA buffer (pH 8.0, epitope retrieval solution). The tissue section was blocked with 10% goat serum. The tissue section was then incubated with 2 ug/ml rabbit anti-TNS3 antibody overnight at 4oC. Peroxidase Conjugated Goat Anti-rabbit IgG was used as secondary antibody and incubated for 30 minutes at 37oC. The tissue section was developed using an HRP secondary and DAB substrate.
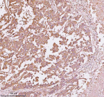
Immunohistochemical staining of TNS3 using anti-TNS3 antibody. TNS3 was detected in a paraffin-embedded section of human liver cancer tissue. Heat mediated antigen retrieval was performed in EDTA buffer (pH 8.0, epitope retrieval solution). The tissue section was blocked with 10% goat serum. The tissue section was then incubated with 2 ug/ml rabbit anti-TNS3 antibody overnight at 4oC. Peroxidase Conjugated Goat Anti-rabbit IgG was used as secondary antibody and incubated for 30 minutes at 37oC. The tissue section was developed using an HRP secondary and DAB substrate.
Immunohistochemical staining of TNS3 using anti-TNS3 antibody. TNS3 was detected in a paraffin-embedded section of human liver cancer tissue. Heat mediated antigen retrieval was performed in EDTA buffer (pH 8.0, epitope retrieval solution). The tissue section was blocked with 10% goat serum. The tissue section was then incubated with 2 ug/ml rabbit anti-TNS3 antibody overnight at 4oC. Peroxidase Conjugated Goat Anti-rabbit IgG was used as secondary antibody and incubated for 30 minutes at 37oC. The tissue section was developed using an HRP secondary and DAB substrate.
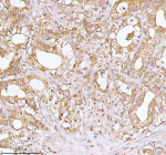
Immunohistochemical staining of TNS3 using anti-TNS3 antibody. TNS3 was detected in a paraffin-embedded section of human prostate adenocarcinoma tissue. Heat mediated antigen retrieval was performed in EDTA buffer (pH 8.0, epitope retrieval solution). The tissue section was blocked with 10% goat serum. The tissue section was then incubated with 2 ug/ml rabbit anti-TNS3 antibody overnight at 4oC. Peroxidase Conjugated Goat Anti-rabbit IgG was used as secondary antibody and incubated for 30 minutes at 37oC. The tissue section was developed using an HRP secondary and DAB substrate.
Immunohistochemical staining of TNS3 using anti-TNS3 antibody. TNS3 was detected in a paraffin-embedded section of human prostate adenocarcinoma tissue. Heat mediated antigen retrieval was performed in EDTA buffer (pH 8.0, epitope retrieval solution). The tissue section was blocked with 10% goat serum. The tissue section was then incubated with 2 ug/ml rabbit anti-TNS3 antibody overnight at 4oC. Peroxidase Conjugated Goat Anti-rabbit IgG was used as secondary antibody and incubated for 30 minutes at 37oC. The tissue section was developed using an HRP secondary and DAB substrate.
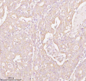
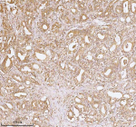
Immunohistochemical staining of TNS3 using anti-TNS3 antibody. TNS3 was detected in a paraffin-embedded section of human colon adenocarcinoma tissue. Heat mediated antigen retrieval was performed in EDTA buffer (pH 8.0, epitope retrieval solution). The tissue section was blocked with 10% goat serum. The tissue section was then incubated with 2 ug/ml rabbit anti-TNS3 antibody overnight at 4oC. Peroxidase Conjugated Goat Anti-rabbit IgG was used as secondary antibody and incubated for 30 minutes at 37oC. The tissue section was developed using an HRP secondary and DAB substrate.
Flow Cytometry analysis of U251 cells using anti-TNS3 antibody. Overlay histogram showing U251 cells stained with (Blue line). To facilitate intracellular staining, cells were fixed with 4% paraformaldehyde and permeabilized with permeabilization buffer. The cells were blocked with 10% normal goat serum. And then incubated with rabbit anti-TNS3 antibody (1 ug/million cells) for 30 min at 20oC. DyLight 488 conjugated goat anti-rabbit IgG (5-10 ug/million cells) was used as secondary antibody for 30 minutes at 20oC. Isotype control antibody (Green line) was rabbit IgG (1 ug/million cells) used under the same conditions. Unlabelled sample (Red line) was also used as a control.
Immunoprecipitating TNS3 in U251 whole cell lysate. Western blot analysis of TNS3 using anti-TNS3 antibody. Lane 1: U251 whole cell lysates (30ug), Lane 2: Rabbit control IgG instead of anti-TNS3 antibody in U251 whole cell lysate, Lane 3: anti-TNS3 antibody (2ug) + U251 whole cell lysate (500ug). After electrophoresis, proteins were transferred to a membrane. Then the membrane was incubated with rabbit anti-TNS3 antibody at a dilution of 0.5 ug/ml and probed with a mouse anti-rabbit IgG-HRP secondary antibody. The signal is developed using ECL Plus Western Blotting Substrate. The expected molecular weight of TNS3 is at 155-170 kDa.
Availability 1-2 days
Species Reactivity Human
Format Lyophilized
Host Rabbit
Clonality Polyclonal (rabbit origin)
Isotype Rabbit IgG
Purity Immunogen affinity purified
Buffer Each vial contains 4 mg Trehalose, 0.9 mg NaCl, 0.2 mg Na2HPO4.
UniProt Q68CZ2
Localization Cytoplasm, cell junctions
Applications Western Blot : 0.25-0.5ug/ml
Immunohistochemistry : 2-5ug/ml
Immunocytochemistry : 5ug/ml
Immunofluorescence : 5ug/ml
Immunoprecipitation : 2-4ug/500ug of lysate
Flow Cytometry : 1-3ug/million cells
ELISA : 0.1-0.5ug/ml
Limitations This TNS3 antibody is available for research use only.
Review this product on BioCompare and get a $20 Amazon gift card

Description

TNS3 antibody detects Tensin-3, a cytoskeletal adaptor protein that links integrins to the actin cytoskeleton and participates in cell adhesion, migration, and signal transduction. Encoded by the TNS3 gene on chromosome 7p12.3, this protein is part of the tensin family, which plays key roles in focal adhesion dynamics and mechanical signal integration. Tensin-3 contributes to the structural connection between integrin-mediated extracellular matrix adhesion sites and intracellular actin filaments, regulating cellular shape and motility.

Structurally, Tensin-3 contains Src homology 2 (SH2) and phosphotyrosine-binding (PTB) domains that interact with phosphorylated tyrosine residues on focal adhesion proteins and with integrin cytoplasmic tails. Through these domains, TNS3 facilitates recruitment of signaling molecules, including Src family kinases, PI3K, and FAK, at adhesion sites. It also modulates Rho GTPase signaling, influencing actin organization and cell polarity.

The TNS3 antibody is widely used in cancer biology, cytoskeletal research, and cell signaling studies to investigate adhesion remodeling and integrin signaling. Western blot analysis detects a 150-160 kilodalton band corresponding to Tensin-3, while immunofluorescence reveals focal adhesion and cytoplasmic localization. This antibody supports studies examining adhesion turnover, migration, and mechanotransduction pathways in normal and malignant cells.

Tensin-3 expression is frequently altered in cancer, where it influences metastatic potential and invasion by regulating focal adhesion stability and actin remodeling. Overexpression promotes invasive behavior in several carcinoma types, while loss of function impairs migration and cell spreading. The TNS3 antibody provides a reliable reagent for exploring adhesion-mediated signaling and tumor cell motility. NSJ Bioreagents offers this antibody validated for western blotting, immunohistochemistry, and immunofluorescence, ensuring reproducible detection for cytoskeletal and signaling research.

Application Notes

Optimal dilution of the TNS3 antibody should be determined by the researcher.

Immunogen

E.coli-derived human TNS3 recombinant protein (Position: Q592-E869) was used as the immunogen for the TNS3 antibody.

Storage

After reconstitution, the TNS3 antibody can be stored for up to one month at 4oC. For long-term, aliquot and store at -20oC. Avoid repeated freezing and thawing.

Cross
Bulk Quote Request Form
Name*:
Organization*:
Email*:
Phone Number*:
Catalog No.*:
Comments and Specifics(amount, formulation, etc.)*:
Validation code: Captchapackage Image


Can't read the image? click here to refresh.
    *required field

Your bulk quote request has been submitted successfully!

Please contact us if you have any questions.