• Tel: 858.663.9055
  • SeparatorEmail: info@nsjbio.com
  • Tel: 858.663.9055
  • Email: info@nsjbio.com
Home >> Antibodies >> TNNI3 Antibody

TNNI3 Antibody (R34692)

  Catalog No Formulation Size Price (USD)  
Image R34692-100UG 0.5 mg/ml in 1X TBS, pH7.3, with 0.5% BSA (US sourced) and 0.02% sodium azide 100 ug 475
Bulk quote request
Western blot testing of human heart lysate with TNNI3 antibody at 0.2ug/ml. Predicted molecular weight: ~24kDa, can also observed at ~28kDa.
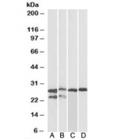
Western blot of adult mouse (A), fetal mouse (B), adult rat (C) and adult pig (D) heart lysates with TNNI3 antibody at 0.1ug/ml. Predicted molecular weight: ~24kDa, can also observed at ~28kDa.
Availability 1-3 business days
Species Reactivity Human, Mouse, Rat, Pig
Format Antigen affinity purified
Host Goat
Clonality Polyclonal (goat origin)
Isotype Goat Ig
Purity Antigen affinity
UniProt P19429
Gene ID 7137
Applications Western Blot : 0.2-1ug/ml
ELISA (peptide) LOD : 1:128000
Limitations This TNNI3 antibody is available for research use only.
Review this product on BioCompare and get a $20 Amazon gift card

Related Products

  • Applications : WB, ELISA (peptide)
    Reactivity : Human
    Pred. Reactivity : Cow, Dog
  • Applications : WB
    Reactivity : Mouse, Rat

Description

Additional name(s) for this target protein: Troponin I type 3

Application Notes

Optimal dilution of the TNNI3 antibody should be determined by the researcher.

Immunogen

Amino acids KVTKNITEIAD were used as the immunogen for this TNNI3 antibody.

Storage

Aliquot and store the TNNI3 antibody at -20oC.

Cross
Bulk Quote Request Form
Name*:
Organization*:
Email*:
Phone Number*:
Catalog No.*:
Comments and Specifics(amount, formulation, etc.)*:
Validation code: Captchapackage Image


Can't read the image? click here to refresh.
    *required field

Your bulk quote request has been submitted successfully!

Please contact us if you have any questions.