• Tel: 858.663.9055
  • SeparatorEmail: info@nsjbio.com
  • Tel: 858.663.9055
  • Email: info@nsjbio.com
Home >> Antibodies >> TNFSF15 Antibody / VEGI / TL1A

TNFSF15 Antibody / VEGI / TL1A [clone VEGI/7799R] (V5302)

  Catalog No Formulation Size Price (USD)  
Image V5302-100UG 0.2 mg/ml in 1X PBS with 0.1 mg/ml BSA (US sourced), 0.05% sodium azide 100 ug 559
Image
V5302-20UG 0.2 mg/ml in 1X PBS with 0.1 mg/ml BSA (US sourced), 0.05% sodium azide 20 ug 259
Image
V5302SAF-100UG 1 mg/ml in 1X PBS; BSA free, sodium azide free 100 ug 559
Microvalidated Recrabbitmono
Bulk quote request
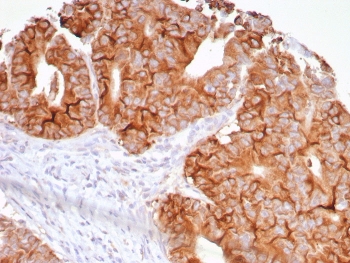
Immunohistochemistry of TNFSF15 antibody in human colon tissue. FFPE human colon shows membranous and cytoplasmic HRP-DAB brown staining within glandular epithelial cells, consistent with VEGI expression in vascular and epithelial compartments. Clone VEGI/7799R was used as a recombinant rabbit monoclonal antibody for detection. Heat-induced epitope retrieval was performed by boiling tissue sections in pH 9, 10 mM Tris with 1 mM EDTA for 20 minutes followed by cooling prior to staining.
SDS-PAGE analysis of purified, BSA-free TNFSF15 antibody (clone VEGI /7799R) as confirmation of integrity and purity.
Availability 1-3 business days
Species Reactivity Human
Format Purified
Host Rabbit
Clonality Recombinant Rabbit Monoclonal
Isotype Rabbit IgG, kappa
Clone Name VEGI/7799R
Purity Protein A affinity
UniProt O95150
Localization Secreted, Cell Surface, Cytoplasm
Applications Immunohistochemistry (FFPE) : 1-2ug/ml for 30 min at RT
Limitations This TNFSF15 antibody is available for research use only.
Review this product on BioCompare and get a $20 Amazon gift card

Related Products

Description

TNFSF15 antibody recognizes Vascular endothelial growth inhibitor, commonly known as VEGI, a secreted cytokine encoded by the TNFSF15 gene. VEGI is a member of the tumor necrosis factor ligand superfamily and is primarily expressed by endothelial cells, where it regulates angiogenesis and immune responses. TNFSF15 Antibody is developed to detect endogenous VEGI in research applications focused on vascular biology and inflammatory signaling.

VEGI functions as an anti-angiogenic factor that inhibits endothelial cell proliferation and modulates vascular remodeling. By binding to death receptor 3, also known as TNFRSF25, TNFSF15 activates downstream signaling pathways that influence apoptosis, immune cell activation, and cytokine production. Through these mechanisms, VEGI plays a critical role in maintaining vascular homeostasis and controlling abnormal blood vessel formation in pathological conditions.

The TNFSF15 gene is located on chromosome 9q32 and produces a type II transmembrane protein that can be proteolytically processed to generate a soluble form. VEGI is expressed in vascular endothelium and certain immune cell populations and contributes to regulation of inflammatory responses, including T cell activation and differentiation. Altered TNFSF15 expression has been associated with inflammatory bowel disease, autoimmune disorders, and tumor progression, reflecting its dual roles in immune modulation and angiogenesis control.

In cancer biology, VEGI has been studied for its ability to suppress tumor angiogenesis and inhibit growth of certain malignancies by limiting vascular support. In contrast, dysregulated signaling through the VEGI-death receptor 3 axis may contribute to chronic inflammation and immune-mediated tissue damage in other disease contexts.

Clone VEGI/7799R is a recombinant rabbit monoclonal antibody that recognizes TNFSF15 and supports studies of angiogenic regulation, endothelial signaling, and VEGI-mediated immune pathways.

Application Notes

Optimal dilution of the TNFSF15 antibody should be determined by the researcher.

Immunogen

Recombinant full-length human protein was used as the immunogen for the TNFSF15 antibody.

Storage

Aliquot the TNFSF15 antibody and store frozen at -20oC or colder. Avoid repeated freeze-thaw cycles.

Cross
Bulk Quote Request Form
Name*:
Organization*:
Email*:
Phone Number*:
Catalog No.*:
Comments and Specifics(amount, formulation, etc.)*:
Validation code: Captchapackage Image


Can't read the image? click here to refresh.
    *required field

Your bulk quote request has been submitted successfully!

Please contact us if you have any questions.