• Tel: 858.663.9055
  • SeparatorEmail: info@nsjbio.com
  • Tel: 858.663.9055
  • Email: info@nsjbio.com
Home >> Antibodies >> TNFRSF10D Antibody / TRAIL-R4 / Tumor necrosis factor receptor superfamily member 10D

TNFRSF10D Antibody / TRAIL-R4 / Tumor necrosis factor receptor superfamily member 10D (FY12336)

  Catalog No Formulation Size Price (USD)  
Image FY12336 Adding 0.2 ml of distilled water will yield a concentration of 500 ug/ml 100 ug 449
Bulk quote request
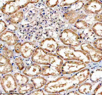
Immunohistochemical staining of TNFRSF10D using anti-TNFRSF10D antibody. TNFRSF10D was detected in a paraffin-embedded section of human kidney tissue. Heat mediated antigen retrieval was performed in EDTA buffer (pH 8.0, epitope retrieval solution). The tissue section was blocked with 10% goat serum. The tissue section was then incubated with 2 ug/ml rabbit anti-TNFRSF10D antibody overnight at 4oC. Peroxidase Conjugated Goat Anti-rabbit IgG was used as secondary antibody and incubated for 30 minutes at 37oC. The tissue section was developed using an HRP secondary and DAB substrate.
Western blot analysis of TNFRSF10D using anti-TNFRSF10D antibody. Electrophoresis was performed on a 10% SDS-PAGE gel at 80V (Stacking gel) / 120V (Resolving gel) for 2 hours. Lane 1: human whole cell lysates, Lane 2: mouse liver tissue lysates, Lane 3: mouse kidney tissue lysates. After electrophoresis, proteins were transferred to a nitrocellulose membrane at 150 mA for 50-90 minutes. Blocked the membrane with 5% non-fat milk/TBS for 1.5 hour at RT. The membrane was incubated with rabbit anti-TNFRSF10D antibody at 0.5 ug/ml overnight at 4oC, then washed with TBS-0.1%Tween 3 times with 5 minutes each and probed with a goat anti-rabbit IgG-HRP secondary antibody at a dilution of 1:5000 for 1.5 hour at RT. The signal was developed using an ECL Plus Western Blotting Substrate. The expected molecular weight of TNFRSF10D is ~42 kDa.
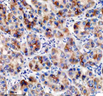
Immunohistochemical staining of TNFRSF10D using anti-TNFRSF10D antibody. TNFRSF10D was detected in a paraffin-embedded section of human liver cancer tissue. Heat mediated antigen retrieval was performed in EDTA buffer (pH 8.0, epitope retrieval solution). The tissue section was blocked with 10% goat serum. The tissue section was then incubated with 2 ug/ml rabbit anti-TNFRSF10D antibody overnight at 4oC. Peroxidase Conjugated Goat Anti-rabbit IgG was used as secondary antibody and incubated for 30 minutes at 37oC. The tissue section was developed using an HRP secondary and DAB substrate.
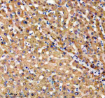
Immunohistochemical staining of TNFRSF10D using anti-TNFRSF10D antibody. TNFRSF10D was detected in a paraffin-embedded section of human liver tissue. Heat mediated antigen retrieval was performed in EDTA buffer (pH 8.0, epitope retrieval solution). The tissue section was blocked with 10% goat serum. The tissue section was then incubated with 2 ug/ml rabbit anti-TNFRSF10D antibody overnight at 4oC. Peroxidase Conjugated Goat Anti-rabbit IgG was used as secondary antibody and incubated for 30 minutes at 37oC. The tissue section was developed using an HRP secondary and DAB substrate.
Flow Cytometry analysis of cells using anti-TNFRSF10D antibody. Overlay histogram showing cells stained with (Blue line). The cells were fixed with 4% paraformaldehyde and blocked with 10% normal goat serum. And then incubated with rabbit anti-TNFRSF10D antibody (1 ug/million cells) for 30 min at 20oC. DyLight 488 conjugated goat anti-rabbit IgG (5-10 ug/million cells) was used as secondary antibody for 30 minutes at 20oC. Isotype control antibody (Green line) was rabbit IgG (1 ug/million cells) used under the same conditions. Unlabelled sample without incubation with primary antibody and secondary antibody (Red line) was used as a blank control.
Availability 1-2 days
Species Reactivity Human, Mouse
Format Lyophilized
Host Rabbit
Clonality Polyclonal (rabbit origin)
Isotype Rabbit IgG
Purity Immunogen affinity purified
Buffer Each vial contains 4 mg Trehalose, 0.9 mg NaCl, 0.2 mg Na2HPO4.
UniProt Q9UBN6
Localization Plasma membrane, Actin filaments
Applications Western Blot : 0.25-0.5ug/ml
Immunohistochemistry : 2-5ug/ml
Flow Cytometry : 1-3ug/million cells
ELISA : 0.1-0.5ug/ml
Limitations This TNFRSF10D antibody is available for research use only.
Review this product on BioCompare and get a $20 Amazon gift card

Related Products

Description

The TNFRSF10D antibody targets tumor necrosis factor receptor superfamily member 10D, also known as decoy receptor 2 or TRAIL receptor 4. TNFRSF10D is a type I transmembrane receptor that belongs to the broader TNF receptor superfamily, which mediates responses to cytokines such as TNF and related ligands. Unlike other death receptors in the TRAIL receptor family, TNFRSF10D lacks a functional cytoplasmic death domain. This structural difference prevents the receptor from transmitting apoptotic signals upon TRAIL binding, effectively classifying TNFRSF10D as a decoy receptor. By competing for TRAIL without inducing apoptosis, TNFRSF10D serves as a protective modulator, regulating the balance between cell death and survival in tissues exposed to TRAIL signaling.

TNFRSF10D is encoded by the TNFRSF10D gene on chromosome 8p21 and is expressed in a wide range of tissues, including immune system cells, epithelial tissues, and endothelial cells. Its ability to act as a natural antagonist to apoptosis induction has made it a focus of cancer research. In tumors, TNFRSF10D expression may influence sensitivity to TRAIL-based therapies by preventing cell death, thereby contributing to resistance. The TNFRSF10D antibody provides a means to examine receptor expression across tumor models and to assess its regulatory role in survival pathways. Beyond oncology, the receptor may also play roles in immune homeostasis and tissue protection under stress conditions.

The TNFRSF10D antibody can be applied to a variety of experimental platforms. Western blotting provides insights into receptor expression and post-translational modifications. Immunohistochemistry enables the detection of TNFRSF10D across different tissue sections, offering information about its spatial distribution. Flow cytometry can quantify receptor levels on the surface of immune cell subsets, clarifying its function in regulating TRAIL-mediated apoptosis. These experimental approaches make the TNFRSF10D antibody a versatile research tool for investigating receptor biology.

Interest in TRAIL receptor biology continues to expand as researchers explore therapeutic strategies to induce apoptosis in cancer cells. Since TNFRSF10D counteracts the apoptotic effect of TRAIL, it has been proposed as a therapeutic target for sensitizing resistant cells. The availability of the TNFRSF10D antibody through NSJ Bioreagents enables researchers to measure receptor expression and test hypotheses about its functional contribution to tumor progression, immune regulation, and resistance to cell death. By investigating expression profiles and signaling interactions, scientists can build a clearer picture of TNFRSF10D's role in human health and disease.

Application Notes

Optimal dilution of the TNFRSF10D antibody should be determined by the researcher.

Immunogen

E.coli-derived human DCR2/TNFRSF10D recombinant protein (Position: T173-A379) was used as the immunogen for the TNFRSF10D antibody.

Storage

After reconstitution, the TNFRSF10D antibody can be stored for up to one month at 4oC. For long-term, aliquot and store at -20oC. Avoid repeated freezing and thawing.

Cross
Bulk Quote Request Form
Name*:
Organization*:
Email*:
Phone Number*:
Catalog No.*:
Comments and Specifics(amount, formulation, etc.)*:
Validation code: Captchapackage Image


Can't read the image? click here to refresh.
    *required field

Your bulk quote request has been submitted successfully!

Please contact us if you have any questions.