• Tel: 858.663.9055
  • SeparatorEmail: info@nsjbio.com
  • Tel: 858.663.9055
  • Email: info@nsjbio.com
Home >> Antibodies >> TNFR1 Antibody

TNFR1 Antibody (R35851)

  Catalog No Formulation Size Price (USD)  
Image R35851-100UG 0.5 mg/ml in 1X TBS, pH7.3, with 0.5% BSA (US sourced) and 0.02% sodium azide 100 ug 475
Bulk quote request
Western blot testing of human lung lysate with TNFR1 antibody at 0.3ug/ml. Predicted molecular weight ~51kDa.
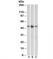
Western blot testing of A549 (A), HepG2 (B) and K562 (C) lysates with TNFR1 antibody at 0.5ug/ml. Predicted molecular weight ~51kDa.
Availability 1-3 business days
Species Reactivity Human
Predicted Reactivity Pig, Rat
Format Antigen affinity purified
Host Goat
Clonality Polyclonal (goat origin)
Isotype Goat Ig
Purity Antigen affinity
Gene ID 7132
Applications Western Blot : 0.3-1ug/ml
ELISA (peptide) LOD : 1:32000
Limitations This TNFR1 antibody is available for research use only.
Review this product on BioCompare and get a $20 Amazon gift card

Related Products

Description

Additional name(s) for this target protein: Tumor necrosis factor receptor superfamily, member 1A; TNFRSF1A

Application Notes

Optimal dilution of the TNFR1 antibody should be determined by the researcher.

Immunogen

Amino acids SDHEIDRLELQNGR were used as the immunogen for this TNFR1 antibody.

Storage

Aliquot and store the TNFR1 antibody at -20oC.

Cross
Bulk Quote Request Form
Name*:
Organization*:
Email*:
Phone Number*:
Catalog No.*:
Comments and Specifics(amount, formulation, etc.)*:
Validation code: Captchapackage Image


Can't read the image? click here to refresh.
    *required field

Your bulk quote request has been submitted successfully!

Please contact us if you have any questions.