• Tel: 858.663.9055
  • SeparatorEmail: info@nsjbio.com
  • Tel: 858.663.9055
  • Email: info@nsjbio.com
Home >> Antibodies >> TNFAIP2 Antibody / Tumor necrosis factor alpha-induced protein 2

TNFAIP2 Antibody / Tumor necrosis factor alpha-induced protein 2 (FY12294)

  Catalog No Formulation Size Price (USD)  
Image FY12294 Adding 0.2 ml of distilled water will yield a concentration of 500 ug/ml 100 ug 449
Bulk quote request
Immunofluorescent staining of TNFAIP2 using anti-TNFAIP2 antibody (red). TNFAIP2 was detected in a paraffin-embedded section of human bladder cancer tissue. Heat mediated antigen retrieval was performed in EDTA buffer (pH 8.0, epitope retrieval solution). The tissue section was blocked with 10% goat serum. The tissue section was then incubated with 5 ug/ml rabbit anti-TNFAIP2 antibody overnight at 4oC. Cy3 Conjugated Goat Anti-Rabbit IgG was used as secondary antibody at 1:500 dilution and incubated for 30 minutes at 37oC. The section was counterstained with DAPI nuclear stain (blue). Visualize using a fluorescence microscope and filter sets appropriate for the label used.
Western blot analysis of TNFAIP2 using anti-TNFAIP2 antibody. Electrophoresis was performed on a 10% SDS-PAGE gel at 80V (Stacking gel) / 120V (Resolving gel) for 2 hours. Lane 1: human Hela whole cell lysates, Lane 2: human HepG2 whole cell lysates, Lane 3: human K562 whole cell lysates, Lane 4: rat testis tissue lysates, Lane 5: rat spleen tissue lysates, Lane 6: mouse testis tissue lysates. After electrophoresis, proteins were transferred to a nitrocellulose membrane at 150 mA for 50-90 minutes. Blocked the membrane with 5% non-fat milk/TBS for 1.5 hour at RT. The membrane was incubated with rabbit anti-TNFAIP2 antibody at 0.5 ug/ml overnight at 4oC, then washed with TBS-0.1%Tween 3 times with 5 minutes each and probed with a goat anti-rabbit IgG-HRP secondary antibody at a dilution of 1:5000 for 1.5 hour at RT. The signal was developed using an ECL Plus Western Blotting Substrate. The expected molecular weight of TNFAIP2 is ~73 kDa.
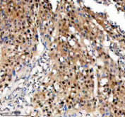
Immunohistochemical staining of TNFAIP2 using anti-TNFAIP2 antibody. TNFAIP2 was detected in a paraffin-embedded section of human bladder cancer tissue. Heat mediated antigen retrieval was performed in EDTA buffer (pH 8.0, epitope retrieval solution). The tissue section was blocked with 10% goat serum. The tissue section was then incubated with 2 ug/ml rabbit anti-TNFAIP2 antibody overnight at 4oC. Peroxidase Conjugated Goat Anti-rabbit IgG was used as secondary antibody and incubated for 30 minutes at 37oC. The tissue section was developed using an HRP secondary and DAB substrate.
Flow Cytometry analysis of K562 cells using anti-TNFAIP2 antibody. Overlay histogram showing K562 cells stained with (Blue line). The cells were fixed with 4% paraformaldehyde and blocked with 10% normal goat serum. And then incubated with rabbit anti-TNFAIP2 antibody (1 ug/million cells) for 30 min at 20oC. DyLight 488 conjugated goat anti-rabbit IgG (5-10 ug/million cells) was used as secondary antibody for 30 minutes at 20oC. Isotype control antibody (Green line) was rabbit IgG (1 ug/million cells) used under the same conditions. Unlabelled sample without incubation with primary antibody and secondary antibody (Red line) was used as a blank control.
Availability 1-2 days
Species Reactivity Human, Mouse, Rat
Format Lyophilized
Host Rabbit
Clonality Polyclonal (rabbit origin)
Isotype Rabbit IgG
Purity Immunogen affinity purified
Buffer Each vial contains 4 mg Trehalose, 0.9 mg NaCl, 0.2 mg Na2HPO4.
UniProt Q03169
Localization Cytoplasm (Golgi), Nucleus
Applications Western Blot : 0.25-0.5ug/ml
Immunohistochemistry : 2-5ug/ml
Immunofluorescence : 5ug/ml
Flow Cytometry : 1-3ug/million cells
ELISA : 0.1-0.5ug/ml
Limitations This TNFAIP2 antibody is available for research use only.
Review this product on BioCompare and get a $20 Amazon gift card

Related Products

  • Applications : WB
    Reactivity : Human

Description

TNFAIP2 antibody detects Tumor necrosis factor alpha-induced protein 2, encoded by the TNFAIP2 gene on chromosome 14q32.33. TNFAIP2 antibody is widely used in studies of inflammation, immune signaling, and cancer biology. TNFAIP2 is a cytoplasmic and membrane-associated protein strongly induced by TNF-alpha, IL-1, and NF-kappaB signaling. It contributes to vesicle trafficking, endothelial cell function, and tumor progression, reflecting its broad roles in immunity and disease.

Structurally, TNFAIP2 is a ~73 kDa protein with coiled-coil regions and proline-rich motifs that mediate interactions with cytoskeletal proteins and membrane trafficking machinery. It localizes to filopodia, lamellipodia, and endosomal membranes. Through these domains, TNFAIP2 regulates cytoskeletal remodeling and exosome release.

Functionally, TNFAIP2 supports endothelial cell migration, tube formation, and angiogenesis. It is a critical factor in immune cell adhesion and transmigration across vascular barriers. In cancer, TNFAIP2 promotes tumor growth, invasion, and metastasis partly by regulating exosome biogenesis and secretion of pro-tumorigenic factors. Researchers use TNFAIP2 antibody to study immune responses, inflammation, and cancer progression.

Clinically, TNFAIP2 is implicated in nasopharyngeal carcinoma, glioma, and other cancers. Elevated expression correlates with poor prognosis, invasive potential, and chemoresistance. TNFAIP2 is also linked to inflammatory vascular diseases and sepsis, where it modulates leukocyte-endothelial interactions. Because of its role in exosome release, TNFAIP2 is being explored as a therapeutic target in oncology. NSJ Bioreagents provides TNFAIP2 antibody to support research in immunology, oncology, and translational biology.

Experimentally, TNFAIP2 antibody is applied in western blotting to detect the ~73 kDa protein, in immunofluorescence to visualize filopodial localization, and in immunohistochemistry to analyze tumor expression. Co-immunoprecipitation with TNFAIP2 antibody helps identify vesicle trafficking partners.

Application Notes

Optimal dilution of the TNFAIP2 antibody should be determined by the researcher.

Immunogen

E.coli-derived human TNFAIP2 recombinant protein (Position: L187-K609) was used as the immunogen for the TNFAIP2 antibody.

Storage

After reconstitution, the TNFAIP2 antibody can be stored for up to one month at 4oC. For long-term, aliquot and store at -20oC. Avoid repeated freezing and thawing.

Cross
Bulk Quote Request Form
Name*:
Organization*:
Email*:
Phone Number*:
Catalog No.*:
Comments and Specifics(amount, formulation, etc.)*:
Validation code: Captchapackage Image


Can't read the image? click here to refresh.
    *required field

Your bulk quote request has been submitted successfully!

Please contact us if you have any questions.