• Tel: 858.663.9055
  • SeparatorEmail: info@nsjbio.com
  • Tel: 858.663.9055
  • Email: info@nsjbio.com
Home >> Antibodies >> TMPO Antibody / Thymopoietin

TMPO Antibody / Thymopoietin (FY12678)

  Catalog No Formulation Size Price (USD)  
Image FY12678 Adding 0.2 ml of distilled water will yield a concentration of 500 ug/ml 100 ug 449
Bulk quote request
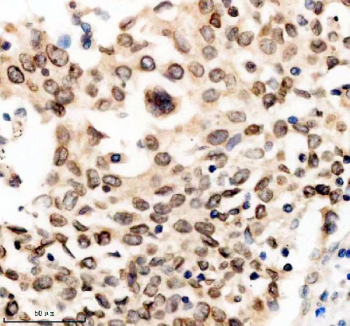
Immunohistochemical staining of TMPO using anti-TMPO antibody. TMPO was detected in a paraffin-embedded section of human lung cancer tissue. Heat mediated antigen retrieval was performed in EDTA buffer (pH 8.0, epitope retrieval solution). The tissue section was blocked with 10% goat serum. The tissue section was then incubated with 2 ug/ml rabbit anti-TMPO antibody overnight at 4oC. Peroxidase Conjugated Goat Anti-rabbit IgG was used as secondary antibody and incubated for 30 minutes at 37oC. The tissue section was developed using an HRP secondary and DAB substrate.
Western blot analysis of TMPO using anti-TMPO antibody. Electrophoresis was performed on a 10% SDS-PAGE gel at 80V (Stacking gel) / 120V (Resolving gel) for 2 hours. Lane 1: human 293T whole cell lysates, Lane 2: human Hela whole cell lysates, Lane 3: human HepG2 whole cell lysates, Lane 4: human MCF-7 whole cell lysates. After electrophoresis, proteins were transferred to a nitrocellulose membrane at 150 mA for 50-90 minutes. Blocked the membrane with 5% non-fat milk/TBS for 1.5 hour at RT. The membrane was incubated with rabbit anti-TMPO antibody at 0.5 ug/ml overnight at 4oC, then washed with TBS-0.1%Tween 3 times with 5 minutes each and probed with a goat anti-rabbit IgG-HRP secondary antibody at a dilution of 1:5000 for 1.5 hour at RT. The signal was developed using an ECL Plus Western Blotting Substrate. Distinct bands are detected at ~75-80 kDa (TMPO alpha), ~50-55 kDa (TMPO beta), and ~39-42 kDa (TMPO gamma), corresponding to the three major alternatively spliced isoforms of TMPO (LAP2) reported in the literature.
Immunofluorescent staining of TMPO using anti-TMPO antibody (green) and anti-Alpha Tubulin antibody (red). TMPO was detected in an immunocytochemical section of SiHa cells. Enzyme antigen retrieval was performed using IHC enzyme antigen retrieval reagent for 15 mins. The cells were blocked with 10% goat serum. And then incubated with 5 ug/ml rabbit anti-TMPO antibody and mouse anti-Beta Tubulin antibody overnight at 4oC. DyLight 488 Conjugated Goat Anti-Rabbit IgG and Cy3 Conjugated Goat Anti-Mouse IgG were used as secondary antibody at 1:500 dilution and incubated for 30 minutes at 37oC. Visualize using a fluorescence microscope and filter sets appropriate for the label used.
Immunoprecipitating TMPO in Hela whole cell lysate. Western blot analysis of TMPO using anti-TMPO antibody. Lane 1: Hela whole cell lysates (30ug), Lane 2: Rabbit control IgG instead of anti-TMPO antibody in Hela whole cell lysate, Lane 3: anti-TMPO antibody (2ug) + Hela whole cell lysate (500ug). After electrophoresis, proteins were transferred to a membrane. Then the membrane was incubated with rabbit anti-TMPO antibody at a dilution of 0.5 ug/ml and probed with a goat anti-rabbit IgG-HRP secondary antibody. The signal is developed using ECL Plus Western Blotting Substrate. A specific band was detected for TMPO at approximately 75 kDa. The expected molecular weight of TMPO is at 75 kDa (alpha form).
Flow Cytometry analysis of MCF-7 cells using anti-TMPO antibody. Overlay histogram showing MCF-7 cells stained with (Blue line). To facilitate intracellular staining, cells were fixed with 4% paraformaldehyde and permeabilized with permeabilization buffer. The cells were blocked with 10% normal goat serum. And then incubated with rabbit anti-TMPO antibody (1 ug/million cells) for 30 min at 20oC. DyLight 488 conjugated goat anti-rabbit IgG (5-10 ug/million cells) was used as secondary antibody for 30 minutes at 20oC. Isotype control antibody (Green line) was rabbit IgG (1 ug/million cells) used under the same conditions. Unlabelled sample without incubation with primary antibody and secondary antibody (Red line) was used as a blank control.
Availability 1-2 days
Species Reactivity Human, Mouse, Rat
Format Lyophilized
Host Rabbit
Clonality Polyclonal (rabbit origin)
Isotype Rabbit IgG
Purity Immunogen affinity purified
Buffer Each vial contains 4 mg Trehalose, 0.9 mg NaCl, 0.2 mg Na2HPO4.
UniProt P42166
Localization Nuclear
Applications Western Blot : 0.25-0.5ug/ml
Immunohistochemistry : 2-5ug/ml
Immunocytochemistry/Immunofluorescence : 5ug/ml
Immunoprecipitation : 2-4ug/500ug of lysate
Flow Cytometry : 1-3ug/million cells
ELISA : 0.1-0.5ug/ml
Limitations This TMPO antibody is available for research use only.
Review this product on BioCompare and get a $20 Amazon gift card

Description

TMPO antibody recognizes Thymopoietin, a nuclear envelope-associated protein that plays crucial roles in nuclear structure organization, chromatin dynamics, and cell cycle regulation. TMPO exists in multiple isoforms generated by alternative splicing, including LAP2-alpha, LAP2-beta, and LAP2-gamma, which localize to distinct nuclear compartments and perform specialized functions. LAP2-beta and LAP2-gamma are integral components of the inner nuclear membrane that bind Lamin proteins, contributing to nuclear lamina stability, whereas LAP2-alpha remains nucleoplasmic and participates in chromatin assembly and gene regulation. The TMPO gene, located on chromosome 12q22, encodes these isoforms that collectively maintain nuclear architecture and influence genome organization.

During cell division, TMPO isoforms coordinate nuclear envelope breakdown and reassembly, interacting with Lamins A/C and chromatin-associated proteins such as BAF (Barrier-to-Autointegration Factor). The interaction between TMPO and Lamin A/C is essential for post-mitotic nuclear reformation and for anchoring chromatin to the nuclear periphery. Dysregulation of TMPO expression or mutation disrupts lamina organization, leading to nuclear morphology defects observed in laminopathies and premature aging syndromes. Beyond its structural roles, TMPO also influences cell proliferation and differentiation by modulating E2F-dependent transcription and histone deacetylase activity.

The TMPO antibody is used to detect Thymopoietin and its LAP2 isoforms in various experimental systems, including western blotting, immunofluorescence, and immunohistochemistry. It enables investigation of nuclear envelope integrity, chromatin positioning, and protein-protein interactions involving the nuclear lamina. In disease research, TMPO has been studied for its role in cancer cell cycle regulation and chromatin organization abnormalities. Its involvement in maintaining genomic stability makes it a valuable marker for nuclear envelope dynamics. NSJ Bioreagents offers this antibody optimized for specific recognition of TMPO and LAP2 isoforms, supporting studies in cell biology, aging, and nuclear architecture.

Application Notes

Optimal dilution of the TMPO antibody should be determined by the researcher.

Immunogen

E.coli-derived human LAP2/TMPO recombinant protein (Position: N24-P672) was used as the immunogen for the TMPO antibody.

Storage

After reconstitution, the TMPO antibody can be stored for up to one month at 4oC. For long-term, aliquot and store at -20oC. Avoid repeated freezing and thawing.

Cross
Bulk Quote Request Form
Name*:
Organization*:
Email*:
Phone Number*:
Catalog No.*:
Comments and Specifics(amount, formulation, etc.)*:
Validation code: Captchapackage Image


Can't read the image? click here to refresh.
    *required field

Your bulk quote request has been submitted successfully!

Please contact us if you have any questions.