• Tel: 858.663.9055
  • SeparatorEmail: info@nsjbio.com
  • Tel: 858.663.9055
  • Email: info@nsjbio.com
Home >> Antibodies >> TMOD1 Antibody / Tropomodulin 1

TMOD1 Antibody / Tropomodulin 1 (FY12934)

  Catalog No Formulation Size Price (USD)  
Image FY12934 Adding 0.2 ml of distilled water will yield a concentration of 500 ug/ml 100 ug 439
Bulk quote request
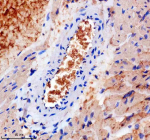
Immunohistochemical staining of TMOD1 using anti-TMOD1 antibody. TMOD1 was detected in a paraffin-embedded section of rat heart tissue. Heat mediated antigen retrieval was performed in EDTA buffer (pH 8.0, epitope retrieval solution). The tissue section was blocked with 10% goat serum. The tissue section was then incubated with 2 ug/ml rabbit anti-TMOD1 antibody overnight at 4oC. Peroxidase Conjugated Goat Anti-rabbit IgG was used as secondary antibody and incubated for 30 minutes at 37oC. The tissue section was developed using an HRP secondary and DAB substrate.
Western blot analysis of TMOD1 using anti-TMOD1 antibody. Electrophoresis was performed on a 10% SDS-PAGE gel at 80V (Stacking gel) / 120V (Resolving gel) for 2 hours. Lane 1: human Hela whole cell lysates, Lane 2: human K562 whole cell lysates, Lane 3: human MCF-7 whole cell lysates, Lane 4: rat heart tissue lysates, Lane 5: rat skeletal muscle tissue lysates, Lane 6: mouse heart tissue lysates, Lane 7: mouse skeletal muscle tissue lysates. After electrophoresis, proteins were transferred to a nitrocellulose membrane at 150 mA for 50-90 minutes. Blocked the membrane with 5% non-fat milk/TBS for 1.5 hour at RT. The membrane was incubated with rabbit anti-TMOD1 antibody at 0.5 ug/ml overnight at 4oC, then washed with TBS-0.1%Tween 3 times with 5 minutes each and probed with a goat anti-rabbit IgG-HRP secondary antibody at a dilution of 1:5000 for 1.5 hour at RT. The signal was developed using an ECL Plus Western Blotting Substrate. A specific band was detected for TMOD1 at approximately 41 kDa. The expected molecular weight of TMOD1 is ~41 kDa.
Immunohistochemical staining of TMOD1 using anti-TMOD1 antibody. TMOD1 was detected in a paraffin-embedded section of mouse heart tissue. Heat mediated antigen retrieval was performed in EDTA buffer (pH 8.0, epitope retrieval solution). The tissue section was blocked with 10% goat serum. The tissue section was then incubated with 2 ug/ml rabbit anti-TMOD1 antibody overnight at 4oC. Peroxidase Conjugated Goat Anti-rabbit IgG was used as secondary antibody and incubated for 30 minutes at 37oC. The tissue section was developed using an HRP secondary and DAB substrate.
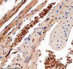
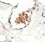
Immunohistochemical staining of TMOD1 using anti-TMOD1 antibody. TMOD1 was detected in a paraffin-embedded section of rat erythrocyte tissue. Heat mediated antigen retrieval was performed in EDTA buffer (pH 8.0, epitope retrieval solution). The tissue section was blocked with 10% goat serum. The tissue section was then incubated with 2 ug/ml rabbit anti-TMOD1 antibody overnight at 4oC. Peroxidase Conjugated Goat Anti-rabbit IgG was used as secondary antibody and incubated for 30 minutes at 37oC. The tissue section was developed using an HRP secondary and DAB substrate.
Immunohistochemical staining of TMOD1 using anti-TMOD1 antibody. TMOD1 was detected in a paraffin-embedded section of mouse erythrocyte tissue. Heat mediated antigen retrieval was performed in EDTA buffer (pH 8.0, epitope retrieval solution). The tissue section was blocked with 10% goat serum. The tissue section was then incubated with 2 ug/ml rabbit anti-TMOD1 antibody overnight at 4oC. Peroxidase Conjugated Goat Anti-rabbit IgG was used as secondary antibody and incubated for 30 minutes at 37oC. The tissue section was developed using an HRP secondary and DAB substrate.
Immunohistochemical staining of TMOD1 using anti-TMOD1 antibody. TMOD1 was detected in a paraffin-embedded section of human erythrocyte tissue. Heat mediated antigen retrieval was performed in EDTA buffer (pH 8.0, epitope retrieval solution). The tissue section was blocked with 10% goat serum. The tissue section was then incubated with 2 ug/ml rabbit anti-TMOD1 antibody overnight at 4oC. Peroxidase Conjugated Goat Anti-rabbit IgG was used as secondary antibody and incubated for 30 minutes at 37oC. The tissue section was developed using an HRP secondary and DAB substrate.
Immunoprecipitating TMOD1 in Hela whole cell lysate. Western blot analysis of TMOD1 using anti-TMOD1 antibody. Lane 1: Hela whole cell lysates (30ug), Lane 2: Rabbit control IgG instead of anti-TMOD1 antibody in Hela whole cell lysate, Lane 3: anti-TMOD1 antibody (2ug) + Hela whole cell lysate (500ug). After electrophoresis, proteins were transferred to a membrane. Then the membrane was incubated with rabbit anti-TMOD1 antibody at a dilution of 0.5 ug/ml and probed with a goat anti-rabbit IgG-HRP secondary antibody. The signal is developed using ECL Plus Western Blotting Substrate. A specific band was detected for TMOD1 at approximately 41 kDa. The expected molecular weight of TMOD1 is at 41 kDa.
Flow Cytometry analysis of MCF-7 cells using anti-TMOD1 antibody. Overlay histogram showing MCF-7 cells stained with (Blue line). To facilitate intracellular staining, cells were fixed with 4% paraformaldehyde and permeabilized with permeabilization buffer. The cells were blocked with 10% normal goat serum. And then incubated with rabbit anti-TMOD1 antibody (1 ug/million cells) for 30 min at 20oC. DyLight 488 conjugated goat anti-rabbit IgG (5-10 ug/million cells) was used as secondary antibody for 30 minutes at 20oC. Isotype control antibody (Green line) was rabbit IgG (1 ug/million cells) used under the same conditions. Unlabelled sample without incubation with primary antibody and secondary antibody (Red line) was used as a blank control.
Availability 1-2 days
Species Reactivity Human, Mouse, Rat
Format Lyophilized
Clonality Polyclonal (rabbit origin)
Isotype Rabbit IgG
Purity Immunogen affinity purified
Buffer Each vial contains 4 mg Trehalose, 0.9 mg NaCl, 0.2 mg Na2HPO4.
UniProt P28289
Localization Cytoplasm
Applications Western Blot : 0.25-0.5ug/ml
Immunohistochemistry : 2-5ug/ml
Immunoprecipitation : 2-4ug/500ug of lysate
Flow Cytometry : 1-3ug/million cells
ELISA : 0.1-0.5ug/ml
Limitations This TMOD1 antibody is available for research use only.
Review this product on BioCompare and get a $20 Amazon gift card

Description

TMOD1 antibody detects tropomodulin-1, a key actin filament capping protein that regulates the length and stability of actin filaments in muscle and non-muscle cells. The UniProt recommended name is Tropomodulin-1 (TMOD1), with alternate names erythrocyte tropomodulin, TMOD, and E-Tmod. TMOD1 binds to the pointed (minus) end of actin filaments, preventing actin polymerization or depolymerization and thereby maintaining precise filament lengths essential for cytoskeletal integrity and contractile function.

In striated muscle, TMOD1 antibody identifies the isoform predominantly expressed in cardiac and slow skeletal muscle fibers, where it associates with tropomyosin and actin at the pointed end of thin filaments. TMOD1 plays an important role in sarcomere organization, length control, and muscle elasticity. Deficiency or mutation of TMOD1 disrupts sarcomere alignment, leading to myofibrillar disarray and cardiomyopathy phenotypes. In non-muscle cells, TMOD1 is involved in maintaining cortical actin networks, cell shape, and motility, particularly in erythrocytes where it preserves membrane mechanical stability and deformability.

TMOD1 antibody is used to study cytoskeletal architecture, cardiac muscle structure, and erythrocyte morphology. TMOD1 interacts with tropomyosin isoforms (TPM1-4) and capping proteins, coordinating actin filament dynamics during cell movement and myofibrillogenesis. In cardiac development, TMOD1 expression begins early in embryogenesis, highlighting its importance for contractile apparatus assembly. The TMOD1 gene, located on chromosome 9q22.33, encodes a 359-amino acid cytosolic protein that contains tropomyosin-binding and actin-capping domains. TMOD1 operates together with its isoforms TMOD2, TMOD3, and TMOD4, each showing tissue-specific distribution and regulatory mechanisms.

Altered TMOD1 expression has been linked to dilated cardiomyopathy, hereditary spherocytosis, and various muscle weakness disorders. Research also suggests TMOD1's involvement in cell adhesion, migration, and neuronal growth cone dynamics. Detection with TMOD1 antibody in immunostaining and western blot analyses allows detailed exploration of its role in filament organization and cell morphology under normal and disease conditions. NSJ Bioreagents provides validated TMOD1 reagents for human, mouse, and rat applications, ensuring consistent specificity for both cytoskeletal and myocyte research contexts.

Application Notes

Optimal dilution of the TMOD1 antibody should be determined by the researcher.

Immunogen

E.coli-derived human TMOD1 recombinant protein (Position: M1-V359) was used as the immunogen for the TMOD1 antibody.

Storage

After reconstitution, the TMOD1 antibody can be stored for up to one month at 4oC. For long-term, aliquot and store at -20oC. Avoid repeated freezing and thawing.

Cross
Bulk Quote Request Form
Name*:
Organization*:
Email*:
Phone Number*:
Catalog No.*:
Comments and Specifics(amount, formulation, etc.)*:
Validation code: Captchapackage Image


Can't read the image? click here to refresh.
    *required field

Your bulk quote request has been submitted successfully!

Please contact us if you have any questions.