• Tel: 858.663.9055
  • SeparatorEmail: info@nsjbio.com
  • Tel: 858.663.9055
  • Email: info@nsjbio.com
Home >> Antibodies >> TMEM87A Antibody / Elkin1

TMEM87A Antibody / Elkin1 (RQ7918)

  Catalog No Formulation Size Price (USD)  
Image RQ7918 0.5mg/ml if reconstituted with 0.2ml sterile DI water 100 ug 449
Bulk quote request
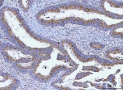
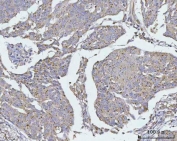
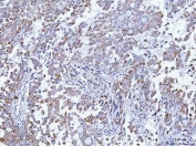
IHC staining of FFPE human testicular seminoma tissue with TMEM87A antibody. HIER: boil tissue sections in pH8 EDTA for 20 min and allow to cool before testing.
IHC staining of FFPE human lung adenocarcinoma tissue with TMEM87A antibody. HIER: boil tissue sections in pH8 EDTA for 20 min and allow to cool before testing.
IHC staining of FFPE human colon adenocarcinoma tissue with TMEM87A antibody. HIER: boil tissue sections in pH8 EDTA for 20 min and allow to cool before testing.
IHC staining of FFPE human liver cancer tissue with TMEM87A antibody. HIER: boil tissue sections in pH8 EDTA for 20 min and allow to cool before testing.
IHC staining of FFPE human esophageal squamous carcinoma tissue with TMEM87A antibody. HIER: boil tissue sections in pH8 EDTA for 20 min and allow to cool before testing.
IHC staining of FFPE mouse brain tissue with TMEM87A antibody. HIER: boil tissue sections in pH8 EDTA for 20 min and allow to cool before testing.
IHC staining of FFPE rat brain tissue with TMEM87A antibody. HIER: boil tissue sections in pH8 EDTA for 20 min and allow to cool before testing.
Immunofluorescent staining of FFPE human U-87 MG cells with TMEM87A antibody (red) and DAPI nuclear stain (blue). HIER: steam section in pH6 citrate buffer for 20 min.
Western blot testing of 1) human T-47D, 2) human MDA-MB-453, 3) PC-3, 4) MCF7, 5) rat brain, 6) rat PC-12, 7) mouse brain and 8) mouse RAW264.7 cell lysate with TMEM87A antibody. Predicted molecular weight ~63 kDa but may be observed at higher molecular weights due to glycosylation.
Flow cytometry testing of human U-2 OS cells with TMEM87A antibody at 1ug/million cells (blocked with goat sera); Red=cells alone, Green=isotype control, Blue= TMEM87A antibody.
Availability 1-3 business days
Species Reactivity Human, Mouse, Rat
Format Antigen affinity purified
Host Rabbit
Clonality Polyclonal (rabbit origin)
Isotype Rabbit IgG
Purity Antigen affinity purified
Buffer Lyophilized from 1X PBS with 2% Trehalose
UniProt Q8NBN3
Localization Cytoplasm, cell membrane
Applications Western Blot : 0.5-1ug/ml
Immunohistochemistry (FFPE) : 2-5ug/ml
Immunofluorescence (FFPE) : 5ug/ml
Flow Cytometry : 1-3ug/million cells
Direct ELISA : 0.1-0.5ug/ml
Limitations This TMEM87A antibody is available for research use only.
Review this product on BioCompare and get a $20 Amazon gift card

Description

Transmembrane protein 87A is involved in retrograde transport, endosome to Golgi. Located in Golgi cisterna membrane.

Application Notes

Optimal dilution of the TMEM87A antibody should be determined by the researcher.

Immunogen

E. coli-derived recombinant human protein (amino acids D38-E555) was used as the immunogen for the TMEM87A antibody.

Storage

After reconstitution, the TMEM87A antibody can be stored for up to one month at 4oC. For long-term, aliquot and store at -20oC. Avoid repeated freezing and thawing.

Cross
Bulk Quote Request Form
Name*:
Organization*:
Email*:
Phone Number*:
Catalog No.*:
Comments and Specifics(amount, formulation, etc.)*:
Validation code: Captchapackage Image


Can't read the image? click here to refresh.
    *required field

Your bulk quote request has been submitted successfully!

Please contact us if you have any questions.