• Tel: 858.663.9055
  • SeparatorEmail: info@nsjbio.com
  • Tel: 858.663.9055
  • Email: info@nsjbio.com
Home >> Antibodies >> TMEM43 Antibody / Transmembrane protein 43 / LUMA

TMEM43 Antibody / Transmembrane protein 43 / LUMA [clone 30T30] (FY13343)

  Catalog No Formulation Size Price (USD)  
Image FY13343 Rabbit IgG in phosphate buffered saline, pH 7.4, 150mM NaCl, 0.02% sodium azide and 50% glycerol, 0.4-0.5mg/ml BSA 100 ul 449
Microvalidated Recrabbitmono
Bulk quote request
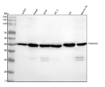
Western blot analysis of TMEM43 using anti-TMEM43 antibody. Lane 1: human Jurkat whole cell lysates, Lane 2: human Hacat whole cell lysates, Lane 3: human SiHa whole cell lysates, Lane 4: human PC-3 whole cell lysates, Lane 5: rat C6 whole cell lysates, Lane 6: mouse Neuro-2a whole cell lysates. After electrophoresis, proteins were transferred to a nitrocellulose membrane at 150 mA for 50-90 minutes. Blocked the membrane with 5% non-fat milk/TBS for 1.5 hour at RT. The membrane was incubated with rabbit anti-TMEM43 antibody at 1:500 overnight at 4oC, then washed with TBS-0.1%Tween 3 times with 5 minutes each and probed with a goat anti-rabbit IgG-HRP secondary antibody at a dilution of 1:1000 for 1.5 hour at RT. The signal was developed using enhanced chemiluminescent. A predominant band is detected at an approximately 40 kDa in all samples, slightly below the predicted ~45 kDa size but consistent with the apparent molecular weight typically observed for the integral membrane protein TMEM43 under denaturing conditions.
Availability 2-3 weeks
Species Reactivity Human, Mouse, Rat
Format Liquid
Host Rabbit
Clonality Recombinant Rabbit Monoclonal
Isotype Rabbit IgG
Clone Name 30T30
Purity Affinity chromatography
Buffer Rabbit IgG in phosphate buffered saline, pH 7.4, 150mM NaCl, 0.02% sodium azide and 50% glycerol, 0.4-0.5mg/ml BSA.
UniProt Q9BTV4
Applications Western Blot : 1:500-1:2000
Immunohistochemistry : 1:50-1:200
Limitations This TMEM43 antibody is available for research use only.
Review this product on BioCompare and get a $20 Amazon gift card

Description

TMEM43 antibody detects Transmembrane protein 43, also called Protein LUMA, encoded by the TMEM43 gene. Transmembrane protein 43 is an inner nuclear membrane protein that contributes to nuclear architecture, signaling, and mechanotransduction. TMEM43 antibody provides researchers with a useful tool to study nuclear envelope biology, cardiomyopathy, and cellular signaling pathways.

Transmembrane protein 43 is highly conserved and associates with lamins and emerin within the nuclear envelope. Research using TMEM43 antibody has shown that it supports structural integrity of the nucleus and contributes to chromatin organization. TMEM43 interacts with protein complexes that link the nucleoskeleton to the cytoskeleton, enabling cells to respond to mechanical stimuli and maintain nuclear shape.

Studies with TMEM43 antibody have revealed that it plays essential roles in cardiac physiology. Mutations in the TMEM43 gene cause arrhythmogenic right ventricular cardiomyopathy, a hereditary disorder characterized by fibrofatty replacement of myocardium and increased risk of sudden cardiac death. Research into disease associated variants has demonstrated that loss of nuclear stability and altered signaling underlie this pathology. These findings highlight the importance of TMEM43 in maintaining cardiac health.

In addition to cardiovascular roles, Transmembrane protein 43 contributes to gene regulation. Research using TMEM43 antibody has indicated that nuclear envelope localization allows it to modulate transcription by influencing chromatin anchoring and positioning within the nucleus. These structural and regulatory functions make TMEM43 a multifunctional nuclear protein.

Dysregulation of TMEM43 is also linked to cancer. Studies with TMEM43 antibody have shown that changes in expression affect nuclear signaling pathways and may promote malignant transformation. Altered nuclear structure and mechanics, driven by TMEM43 dysfunction, contribute to abnormal growth and migration. These findings underscore the importance of nuclear envelope proteins in tumor biology.

TMEM43 antibody is commonly used in western blotting, immunofluorescence, and immunohistochemistry. Western blotting detects endogenous protein levels, immunofluorescence highlights localization to the nuclear envelope, and immunohistochemistry reveals tissue distribution in muscle and cardiac tissues. These applications make TMEM43 antibody valuable for nuclear biology and disease studies.

By providing validated TMEM43 antibody reagents, NSJ Bioreagents supports research into nuclear envelope function, cardiomyopathy, and cancer. Detection of Transmembrane protein 43 provides insight into how structural proteins maintain nuclear integrity and influence disease.

Application Notes

Optimal dilution of the TMEM43 antibody should be determined by the researcher.

Immunogen

A synthesized peptide derived from human TMEM43 was used as the immunogen for the TMEM43 antibody.

Storage

Store the TMEM43 antibody at -20oC.

Cross
Bulk Quote Request Form
Name*:
Organization*:
Email*:
Phone Number*:
Catalog No.*:
Comments and Specifics(amount, formulation, etc.)*:
Validation code: Captchapackage Image


Can't read the image? click here to refresh.
    *required field

Your bulk quote request has been submitted successfully!

Please contact us if you have any questions.