• Tel: 858.663.9055
  • SeparatorEmail: info@nsjbio.com
  • Tel: 858.663.9055
  • Email: info@nsjbio.com
Home >> Antibodies >> TMEM232 Antibody / Transmembrane protein 232

TMEM232 Antibody / Transmembrane protein 232 (FY13305)

  Catalog No Formulation Size Price (USD)  
Image FY13305 Adding 0.2 ml of distilled water will yield a concentration of 500 ug/ml 100 ug 449
Bulk quote request
Immunofluorescent staining of TMEM232 using anti-TMEM232 antibody (green). TMEM232 was detected in an immunocytochemical section of human SiHa cells. Enzyme antigen retrieval was performed using IHC enzyme antigen retrieval reagent for 15 mins. The cells were blocked with 10% goat serum. And then incubated with 5 ug/ml rabbit anti-TMEM232 antibody overnight at 4oC. DyLight 488 Conjugated Goat Anti-Rabbit IgG was used as secondary antibody at 1:500 dilution and incubated for 30 minutes at 37oC. The section was counterstained with DAPI nuclear stain (blue). Visualize using a fluorescence microscope and filter sets appropriate for the label used.
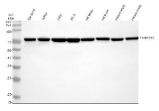
Western blot analysis of TMEM232 using anti-TMEM232 antibody. Electrophoresis was performed on a 10% SDS-PAGE gel at 80V (Stacking gel) / 120V (Resolving gel) for 2 hours. Lane 1: human SH-SY5Y whole cell lysates, Lane 2: human Jurkat whole cell lysates, Lane 3: human U251 whole cell lysates, Lane 4: human PC-3 whole cell lysates, Lane 5: rat testis tissue lysates, Lane 6: rat brain tissue lysates, Lane 7: mouse testis tissue lysates, Lane 8: mouse brain tissue lysates. After electrophoresis, proteins were transferred to a nitrocellulose membrane at 150 mA for 50-90 minutes. Blocked the membrane with 5% non-fat milk/TBS for 1.5 hour at RT. The membrane was incubated with rabbit anti-TMEM232 antibody at 0.5 ug/ml overnight at 4oC, then washed with TBS-0.1%Tween 3 times with 5 minutes each and probed with a goat anti-rabbit IgG-HRP secondary antibody at a dilution of 1:5000 for 1.5 hour at RT. The signal was developed using an ECL Plus Western Blotting Substrate. A specific band was detected for TMEM232 at approximately 76 kDa. The expected molecular weight of TMEM232 is ~76 kDa.
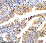
Immunohistochemical staining of TMEM232 using anti-TMEM232 antibody. TMEM232 was detected in a paraffin-embedded section of human colon cancer tissue. Heat mediated antigen retrieval was performed in EDTA buffer (pH 8.0, epitope retrieval solution). The tissue section was blocked with 10% goat serum. The tissue section was then incubated with 2 ug/ml rabbit anti-TMEM232 antibody overnight at 4oC. Peroxidase Conjugated Goat Anti-rabbit IgG was used as secondary antibody and incubated for 30 minutes at 37oC. The tissue section was developed using an HRP secondary and DAB substrate.
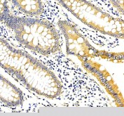
Immunohistochemical staining of TMEM232 using anti-TMEM232 antibody. TMEM232 was detected in a paraffin-embedded section of human colon tissue. Heat mediated antigen retrieval was performed in EDTA buffer (pH 8.0, epitope retrieval solution). The tissue section was blocked with 10% goat serum. The tissue section was then incubated with 2 ug/ml rabbit anti-TMEM232 antibody overnight at 4oC. Peroxidase Conjugated Goat Anti-rabbit IgG was used as secondary antibody and incubated for 30 minutes at 37oC. The tissue section was developed using an HRP secondary and DAB substrate.
Availability 1-2 days
Species Reactivity Human, Mouse, Rat
Format Lyophilized
Host Rabbit
Clonality Polyclonal (rabbit origin)
Isotype Rabbit IgG
Purity Immunogen affinity purified
Buffer Each vial contains 4 mg Trehalose, 0.9 mg NaCl, 0.2 mg Na2HPO4.
UniProt C9JQI7
Applications Western Blot : 0.25-0.5ug/ml
Immunohistochemistry : 2-5ug/ml
Immunocytochemistry/Immunofluorescence : 5ug/ml
ELISA : 0.1-0.5ug/ml
Limitations This TMEM232 antibody is available for research use only.
Review this product on BioCompare and get a $20 Amazon gift card

Description

TMEM232 antibody recognizes Transmembrane protein 232, an integral membrane protein encoded by the TMEM232 gene on chromosome 5q22.1. TMEM232 is predicted to contain multiple transmembrane domains and is primarily localized to the plasma membrane and endomembrane compartments. Although not yet fully characterized, bioinformatic and transcriptomic studies indicate that TMEM232 may play roles in cellular signaling, immune regulation, and epithelial differentiation. Expression analysis shows enrichment in lung, skin, and immune cells, suggesting a function in barrier tissues and inflammatory response modulation.

Structurally, TMEM232 contains hydrophobic alpha-helical domains typical of multipass membrane proteins, along with cytoplasmic loops that may participate in protein-protein interactions and intracellular signaling. The exact ligand or binding partners of TMEM232 remain under investigation, but functional genomics screens have implicated it in immune homeostasis and allergic disease susceptibility. Variants in the TMEM232 gene have been associated with atopic dermatitis and asthma, supporting its potential role in epithelial barrier integrity and immune response control.

TMEM232 expression appears to be regulated by inflammatory cytokines such as IL-4 and IL-13, consistent with its link to type 2 immune responses. It may contribute to the regulation of keratinocyte differentiation and tight junction assembly in epithelial tissues. In immune cells, TMEM232 has been detected in macrophages and lymphocytes, where it could participate in cell signaling pathways that mediate cytokine production and cell adhesion. Structural modeling predicts that TMEM232 may act as a membrane anchor for signaling complexes, similar to other poorly characterized transmembrane adaptors.

From a clinical perspective, genome-wide association studies (GWAS) have repeatedly identified polymorphisms in TMEM232 associated with allergic rhinitis, atopy, and asthma across multiple populations. The gene's proximity to cytokine regulatory regions and its expression pattern in airway epithelial cells support a role in respiratory immune function. Further studies suggest TMEM232 could modulate epithelial repair following inflammation or injury. Dysregulation of TMEM232 expression may contribute to chronic inflammatory diseases of the skin and respiratory tract.

Immunohistochemical analysis using TMEM232 antibody shows membrane localization in airway epithelium, keratinocytes, and lymphoid tissue. The antibody is useful for characterizing transmembrane signaling proteins and identifying novel immune regulatory pathways. TMEM232 antibody from NSJ Bioreagents provides a valuable tool for research into epithelial biology, asthma genetics, and inflammatory signaling mechanisms.

Application Notes

Optimal dilution of the TMEM232 antibody should be determined by the researcher.

Immunogen

E.coli-derived human TMEM232 recombinant protein (Position: D114-H598) was used as the immunogen for the TMEM232 antibody.

Storage

After reconstitution, the TMEM232 antibody can be stored for up to one month at 4oC. For long-term, aliquot and store at -20oC. Avoid repeated freezing and thawing.

Cross
Bulk Quote Request Form
Name*:
Organization*:
Email*:
Phone Number*:
Catalog No.*:
Comments and Specifics(amount, formulation, etc.)*:
Validation code: Captchapackage Image


Can't read the image? click here to refresh.
    *required field

Your bulk quote request has been submitted successfully!

Please contact us if you have any questions.