• Tel: 858.663.9055
  • SeparatorEmail: info@nsjbio.com
  • Tel: 858.663.9055
  • Email: info@nsjbio.com
Home >> Antibodies >> TMEM180 Antibody / MFSD13A

TMEM180 Antibody / MFSD13A (RQ8456)

  Catalog No Formulation Size Price (USD)  
Image RQ8456 0.5mg/ml if reconstituted with 0.2ml sterile DI water 100 ug 449
Bulk quote request
Flow cytometry testing of fixed and permeabilized human JK cells with MFSD13A antibody at 1ug/million cells (blocked with goat sera); Red=cells alone, Green=isotype control, Blue= MFSD13A antibody.
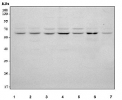
Western blot testing of human 1) Jurkat, 2) HaCaT, 3) HEL, 4) Caco-2, 5) K562, 6) A431 and 7) SH-SY5Y cell lysate with TMEM180 antibody. Predicted molecular weight ~57 kDa.
Availability 1-3 business days
Species Reactivity Human
Format Antigen affinity purified
Host Rabbit
Clonality Polyclonal (rabbit origin)
Isotype Rabbit IgG
Purity Antigen affinity purified
Buffer Lyophilized from 1X PBS with 2% Trehalose
UniProt Q14CX5
Applications Western Blot : 0.5-1ug/ml
Flow Cytometry : 1-3ug/million cells
ELISA : 0.1-0.5ug/ml
Limitations This MFSD13A antibody is available for research use only.
Review this product on BioCompare and get a $20 Amazon gift card

Description

MFSD13A (Major Facilitator Superfamily Domain Containing 13A) is located on human chromosome 10q24.32. The MFSD13A protein is ubiquitously expressed in brain, lung and other tissues. Structurally, the encoded protein is reported to be 27160 Da in mass. The MFSD13A (also known as TMEM180; C10orf77; bA18I14.8) gene is conserved in chimpanzee, Rhesus monkey, dog, cow, mouse, chicken, frog, etc. 234 organisms have orthologs with human gene MFSD13A. The MFSD13A gene might be genetic modifiers of pancreatic cancer tumorigenesis.

Application Notes

Optimal dilution of the MFSD13A antibody should be determined by the researcher.

Immunogen

An E.coli-derived human recombinant protein (N66-V517) was used as the immunogen for the MFSD13A antibody.

Storage

After reconstitution, the MFSD13A antibody can be stored for up to one month at 4oC. For long-term, aliquot and store at -20oC. Avoid repeated freezing and thawing.

Cross
Bulk Quote Request Form
Name*:
Organization*:
Email*:
Phone Number*:
Catalog No.*:
Comments and Specifics(amount, formulation, etc.)*:
Validation code: Captchapackage Image


Can't read the image? click here to refresh.
    *required field

Your bulk quote request has been submitted successfully!

Please contact us if you have any questions.