• Tel: 858.663.9055
  • SeparatorEmail: info@nsjbio.com
  • Tel: 858.663.9055
  • Email: info@nsjbio.com
Home >> Antibodies >> TMEM175 Antibody / Transmembrane protein 175

TMEM175 Antibody / Transmembrane protein 175 (FY12244)

  Catalog No Formulation Size Price (USD)  
Image FY12244 Adding 0.2 ml of distilled water will yield a concentration of 500 ug/ml 100 ug 449
Bulk quote request
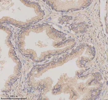
Immunohistochemical staining of TMEM175 using anti-TMEM175 antibody. TMEM175 was detected in a paraffin-embedded section of human prostate cancer tissue. Heat mediated antigen retrieval was performed in EDTA buffer (pH 8.0, epitope retrieval solution). The tissue section was blocked with 10% goat serum. The tissue section was then incubated with 2 ug/ml rabbit anti-TMEM175 antibody overnight at 4oC. Peroxidase Conjugated Goat Anti-rabbit IgG was used as secondary antibody and incubated for 30 minutes at 37oC. The tissue section was developed using an HRP secondary and DAB substrate.
Western blot analysis of TMEM175 using anti-TMEM175 antibody. Electrophoresis was performed on a 10% SDS-PAGE gel at 80V (Stacking gel) / 120V (Resolving gel) for 2 hours. Lane 1: human HepG2 whole cell lysates, Lane 2: rat kidney tissue lysates, Lane 3: mouse testis tissue lysates, Lane 4: mouse kidney tissue lysates. After electrophoresis, proteins were transferred to a nitrocellulose membrane at 150 mA for 50-90 minutes. Blocked the membrane with 5% non-fat milk/TBS for 1.5 hour at RT. The membrane was incubated with rabbit anti-TMEM175 antibody at 0.5 ug/ml overnight at 4oC, then washed with TBS-0.1%Tween 3 times with 5 minutes each and probed with a goat anti-rabbit IgG-HRP secondary antibody at a dilution of 1:5000 for 1.5 hour at RT. The signal was developed using an ECL Plus Western Blotting Substrate. The expected band size for TMEM175 is at ~56 kDa and ~43 kDa (two isoforms).
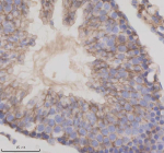
Immunohistochemical staining of TMEM175 using anti-TMEM175 antibody. TMEM175 was detected in a paraffin-embedded section of mouse testis tissue. Heat mediated antigen retrieval was performed in EDTA buffer (pH 8.0, epitope retrieval solution). The tissue section was blocked with 10% goat serum. The tissue section was then incubated with 2 ug/ml rabbit anti-TMEM175 antibody overnight at 4oC. Peroxidase Conjugated Goat Anti-rabbit IgG was used as secondary antibody and incubated for 30 minutes at 37oC. The tissue section was developed using an HRP secondary and DAB substrate.
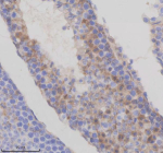
Immunohistochemical staining of TMEM175 using anti-TMEM175 antibody. TMEM175 was detected in a paraffin-embedded section of rat testis tissue. Heat mediated antigen retrieval was performed in EDTA buffer (pH 8.0, epitope retrieval solution). The tissue section was blocked with 10% goat serum. The tissue section was then incubated with 2 ug/ml rabbit anti-TMEM175 antibody overnight at 4oC. Peroxidase Conjugated Goat Anti-rabbit IgG was used as secondary antibody and incubated for 30 minutes at 37oC. The tissue section was developed using an HRP secondary and DAB substrate.
Flow Cytometry analysis of HepG2 cells using anti-TMEM175 antibody. Overlay histogram showing HepG2 cells stained with (Blue line). To facilitate intracellular staining, cells were fixed with 4% paraformaldehyde and permeabilized with permeabilization buffer. The cells were blocked with 10% normal goat serum. And then incubated with rabbit anti-TMEM175 antibody (1 ug/million cells) for 30 min at 20oC. DyLight 488 conjugated goat anti-rabbit IgG (5-10 ug/million cells) was used as secondary antibody for 30 minutes at 20oC. Isotype control antibody (Green line) was rabbit IgG (1 ug/million cells) used under the same conditions. Unlabelled sample without incubation with primary antibody and secondary antibody (Red line) was used as a blank control.
Availability 1-2 days
Species Reactivity Human, Mouse, Rat
Format Lyophilized
Host Rabbit
Clonality Polyclonal (rabbit origin)
Isotype Rabbit IgG
Purity Immunogen affinity purified
Buffer Each vial contains 4 mg Trehalose, 0.9 mg NaCl, 0.2 mg Na2HPO4.
UniProt Q9BSA9
Applications Western Blot : 0.25-0.5ug/ml
Immunohistochemistry : 2-5ug/ml
Flow Cytometry : 1-3ug/million cells
ELISA : 0.1-0.5ug/ml
Limitations This TMEM175 antibody is available for research use only.
Review this product on BioCompare and get a $20 Amazon gift card

Description

TMEM175 antibody detects Transmembrane protein 175, encoded by the TMEM175 gene on chromosome 4p16.3. TMEM175 antibody is widely used in studies of lysosomal function, neurodegeneration, and ion channel physiology. TMEM175 encodes a lysosomal potassium channel that regulates lysosomal membrane potential, pH homeostasis, and ion balance. Unlike canonical potassium channels, TMEM175 does not contain a pore-forming P-loop or voltage-sensing domains, making it structurally unique among ion channels. It is conserved across species, highlighting its fundamental cellular role.

Structurally, TMEM175 is a ~470 amino acid multipass membrane protein with two transmembrane domains. It forms homotetramers that create potassium-selective pores. The channel's activity is independent of voltage and is modulated by lipid environment and cellular signaling pathways. TMEM175 localizes specifically to late endosomes and lysosomes, where it ensures ionic stability required for lysosomal enzyme activity and vesicular trafficking.

Functionally, TMEM175 regulates lysosomal pH by controlling potassium efflux that counterbalances proton pumping. This activity supports lysosomal acidification, enzyme function, and autophagic flux. Loss of TMEM175 impairs lysosomal degradation and promotes accumulation of misfolded proteins and damaged organelles. Researchers use TMEM175 antibody to study lysosomal ion transport, autophagy, and neurodegenerative mechanisms.

Clinically, TMEM175 variants are strongly associated with Parkinson's disease risk. Genome-wide association studies identify polymorphisms in TMEM175 that alter lysosomal function and dopaminergic neuron survival. TMEM175 is also implicated in Alzheimer's disease, where lysosomal dysfunction contributes to amyloid and tau pathology. In cancer, altered TMEM175 activity influences autophagy and cell survival under stress. NSJ Bioreagents provides TMEM175 antibody to support lysosomal biology, neurodegeneration, and cancer research.

Experimentally, TMEM175 antibody is applied in western blotting to detect the ~54 kDa protein, in immunofluorescence microscopy to visualize lysosomal localization, and in immunohistochemistry to analyze tissue-specific expression. Co-immunoprecipitation with TMEM175 antibody helps define protein complexes associated with lysosomal ion transport.

Application Notes

Optimal dilution of the TMEM175 antibody should be determined by the researcher.

Immunogen

E.coli-derived human TMEM175 recombinant protein (Position: M1-L423) was used as the immunogen for the TMEM175 antibody.

Storage

After reconstitution, the TMEM175 antibody can be stored for up to one month at 4oC. For long-term, aliquot and store at -20oC. Avoid repeated freezing and thawing.

Cross
Bulk Quote Request Form
Name*:
Organization*:
Email*:
Phone Number*:
Catalog No.*:
Comments and Specifics(amount, formulation, etc.)*:
Validation code: Captchapackage Image


Can't read the image? click here to refresh.
    *required field

Your bulk quote request has been submitted successfully!

Please contact us if you have any questions.