• Tel: 858.663.9055
  • SeparatorEmail: info@nsjbio.com
  • Tel: 858.663.9055
  • Email: info@nsjbio.com
Home >> Antibodies >> TMEM16A Antibody / DOG1 / ANO1

TMEM16A Antibody / DOG1 / ANO1 (RQ4536)

  Catalog No Formulation Size Price (USD)  
Image RQ4536 0.5mg/ml if reconstituted with 0.2ml sterile DI water 100 ug 449
Bulk quote request
Western blot testing of human 1) HeLa, 2) HepG2, 3) A549, 4) PANC-1, 5) SK-OV-3, 6) SGC-7901 and 7) COLO-320 lysate with TMEM16A antibody at 0.5ug/ml. Expected molecular weight 74-114 kDa but may be observed at higher molecular weights due to glycosylation.
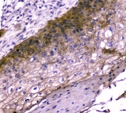
IHC staining of FFPE human esophagus squama cancer with TMEM16A antibody. HIER: boil tissue sections in pH6, 10mM citrate buffer, for 20 min and allow to cool before testing.
Flow cytometry testing of fixed and permeabilized human A431 cells with TMEM16A antibody at 1ug/million cells (blocked with goat sera); Red=cells alone, Green=isotype control, Blue= TMEM16A antibody.
Availability 1-3 business days
Species Reactivity Human
Format Antigen affinity purified
Host Rabbit
Clonality Polyclonal (rabbit origin)
Isotype Rabbit IgG
Purity Antigen affinity purified
Buffer Lyophilized from 1X PBS with 2% Trehalose and 0.025% sodium azide
UniProt Q5XXA6
Applications Western Blot : 0.5-1ug/ml
Immunohistochemistry (FFPE) : 1-2ug/ml
Flow Cytometry : 1-3ug/million cells
Limitations This TMEM16A antibody is available for research use only.
Review this product on BioCompare and get a $20 Amazon gift card

Related Products

Description

Anoctamin-1 (ANO1), also known as oral cancer overexpressed 2 (ORAOV2) or tumor-amplified and overexpressed sequence 2 (TMEM16A), is a protein that in humans is encoded by the ANO1 gene. This gene belongs to a family of membrane proteins containing 8 transmembrane segments, and it is mapped to 11q13.3. TMEM16A is a candidate calcium-activated chloride channel that mediates receptor-activated chloride currents in diverse physiologic processes, and it is thought to be responsible for a voltage-sensitive calcium-activated chloride current. Its overexpression was reported in esophageal squamous cell carcinoma and breast cancer progression Crofelemer, an antidiarrhoeal, inhibits this channel. TMEM16A has eight transmembrane domains, its pore is large and non-selective, allowing other negatively charged species to permeate.

Application Notes

Optimal dilution of the TMEM16A antibody should be determined by the researcher.

Immunogen

Amino acids QQIHKEKVLMVELFMREEQDKQQLLETWMEKERQKDE were used as the immunogen for the TMEM16A antibody.

Storage

After reconstitution, the TMEM16A antibody can be stored for up to one month at 4oC. For long-term, aliquot and store at -20oC. Avoid repeated freezing and thawing.

Cross
Bulk Quote Request Form
Name*:
Organization*:
Email*:
Phone Number*:
Catalog No.*:
Comments and Specifics(amount, formulation, etc.)*:
Validation code: Captchapackage Image


Can't read the image? click here to refresh.
    *required field

Your bulk quote request has been submitted successfully!

Please contact us if you have any questions.