• Tel: 858.663.9055
  • SeparatorEmail: info@nsjbio.com
  • Tel: 858.663.9055
  • Email: info@nsjbio.com
Home >> Antibodies >> TMEM132B Antibody / Transmembrane protein 132B

TMEM132B Antibody / Transmembrane protein 132B (RQ7919)

  Catalog No Formulation Size Price (USD)  
Image RQ7919 0.5mg/ml if reconstituted with 0.2ml sterile DI water 100 ug 449
Bulk quote request
Immunofluorescent staining of FFPE human intestinal cancer tissue with TMEM132B antibody (red) and DAPI nuclear stain (blue). HIER: steam section in pH8 EDTA buffer for 20 min.
IHC staining of FFPE human endometrioid adenocarcinoma tissue with TMEM132B antibody. HIER: boil tissue sections in pH8 EDTA for 20 min and allow to cool before testing.
IHC staining of FFPE human liver cancer tissue with TMEM132B antibody. HIER: boil tissue sections in pH8 EDTA for 20 min and allow to cool before testing.
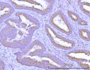
IHC staining of FFPE human colon adenocarcinoma tissue with TMEM132B antibody. HIER: boil tissue sections in pH8 EDTA for 20 min and allow to cool before testing.
Western blot testing of 1) rat brain and 2) mouse brain tissue lysate with TMEM132B antibody. Predicted molecular weight ~95 kDa.
Flow cytometry testing of human Daudi cells with TMEM132B antibody at 1ug/million cells (blocked with goat sera); Red=cells alone, Green=isotype control, Blue= TMEM132B antibody.
Flow cytometry testing of human U937 cells with TMEM132B antibody at 1ug/million cells (blocked with goat sera); Red=cells alone, Green=isotype control, Blue= TMEM132B antibody.
Availability 1-3 business days
Species Reactivity Human, Mouse, Rat
Format Antigen affinity purified
Host Rabbit
Clonality Polyclonal (rabbit origin)
Isotype Rabbit IgG
Purity Antigen affinity purified
Buffer Lyophilized from 1X PBS with 2% Trehalose
UniProt Q14DG7
Applications Western Blot : 0.5-1ug/ml
Immunohistochemistry (FFPE) : 2-5ug/ml
Flow Cytometry : 1-3ug/million cells
Immunofluorescence : 5ug/ml
Direct ELISA : 0.1-0.5ug/ml
Limitations This TMEM132B antibody is available for research use only.
Review this product on BioCompare and get a $20 Amazon gift card

Description

Predicted to be integral component of membrane.

Application Notes

Optimal dilution of the TMEM132B antibody should be determined by the researcher.

Immunogen

E. coli-derived recombinant human protein (amino acids H123-M1078) was used as the immunogen for the TMEM132B antibody.

Storage

After reconstitution, the TMEM132B antibody can be stored for up to one month at 4oC. For long-term, aliquot and store at -20oC. Avoid repeated freezing and thawing.

Cross
Bulk Quote Request Form
Name*:
Organization*:
Email*:
Phone Number*:
Catalog No.*:
Comments and Specifics(amount, formulation, etc.)*:
Validation code: Captchapackage Image


Can't read the image? click here to refresh.
    *required field

Your bulk quote request has been submitted successfully!

Please contact us if you have any questions.