• Tel: 858.663.9055
  • SeparatorEmail: info@nsjbio.com
  • Tel: 858.663.9055
  • Email: info@nsjbio.com
Home >> Antibodies >> TMEM107 Antibody

TMEM107 Antibody (R32772)

  Catalog No Formulation Size Price (USD)  
Image R32772 0.5mg/ml if reconstituted with 0.2ml sterile DI water 100 ug 449
Bulk quote request
Western blot testing of human MCF7 cell lysate with TMEM107 antibody at 0.5ug/ml. Predicted molecular weight ~16 kDa, routinely observed at ~19 kDa.
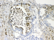
IHC testing of FFPE human lung cancer tissue with TMEM107 antibody at 1ug/ml. Required HIER: steam section in pH6 citrate buffer for 20 min and allow to cool prior to testing.
IHC testing of FFPE human intestinal cancer tissue with TMEM107 antibody at 1ug/ml. Required HIER: steam section in pH6 citrate buffer for 20 min and allow to cool prior to testing.
Flow cytometry testing of human SiHa cells with TMEM107 antibody at 1ug/10^6 cells (blocked with goat sera); Red=cells alone, Green=isotype control, Blue= TMEM107 antibody.
Availability 1-3 business days
Species Reactivity Human
Format Antigen affinity purified
Host Rabbit
Clonality Polyclonal (rabbit origin)
Isotype Rabbit IgG
Purity Antigen affinity
Buffer Lyophilized from 1X PBS with 2.5% BSA, 0.025% sodium azide
UniProt Q6UX40
Localization Cytoplasmic
Applications Western Blot : 0.5-1ug/ml
Immunohistochemistry (FFPE) : 1-2ug/ml
Flow Cytometry : 1-3ug/million cells
Limitations This TMEM107 antibody is available for research use only.
Review this product on BioCompare and get a $20 Amazon gift card

Description

Cilia are dynamic signaling organelles essential for developmental patterning, including left-right specification, skeletal formation, neural development, and organogenesis. TMEM107 is predicted to be critical for cilia formation and signaling in a subset of embryonic tissues. Based on an alignment of the TMEM107 sequence with the genomic sequence (GRCh38), the gene was mapped to chromosome 17p13.1.

Application Notes

Optimal dilution of the TMEM107 antibody should be determined by the researcher.

Immunogen

Amino acids 22-57 (VITLFWSRDSNIQACLPLTFTPEEYDKQDIQLVAAL) from the human protein were used as the immunogen for the TMEM107 antibody.

Storage

After reconstitution, the TMEM107 antibody can be stored for up to one month at 4oC. For long-term, aliquot and store at -20oC. Avoid repeated freezing and thawing.

Cross
Bulk Quote Request Form
Name*:
Organization*:
Email*:
Phone Number*:
Catalog No.*:
Comments and Specifics(amount, formulation, etc.)*:
Validation code: Captchapackage Image


Can't read the image? click here to refresh.
    *required field

Your bulk quote request has been submitted successfully!

Please contact us if you have any questions.