• Tel: 858.663.9055
  • SeparatorEmail: info@nsjbio.com
  • Tel: 858.663.9055
  • Email: info@nsjbio.com
Home >> Antibodies >> TMED1 Antibody / Transmembrane emp24 domain-containing protein 1

TMED1 Antibody / Transmembrane emp24 domain-containing protein 1 (FY12444)

  Catalog No Formulation Size Price (USD)  
Image FY12444 Adding 0.2 ml of distilled water will yield a concentration of 500 ug/ml 100 ug 449
Bulk quote request
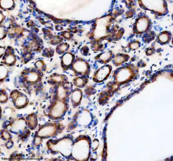
Immunohistochemical staining of TMED1 using anti-TMED1 antibody. TMED1 was detected in a paraffin-embedded section of human thyroid cancer tissue. Heat mediated antigen retrieval was performed in EDTA buffer (pH 8.0, epitope retrieval solution). The tissue section was blocked with 10% goat serum. The tissue section was then incubated with 2 ug/ml rabbit anti-TMED1 antibody overnight at 4oC. Peroxidase Conjugated Goat Anti-rabbit IgG was used as secondary antibody and incubated for 30 minutes at 37oC. The tissue section was developed using an HRP secondary and DAB substrate.
Western blot analysis of TMED1 using anti-TMED1 antibody. Electrophoresis was performed on a 12% SDS-PAGE gel at 80V (Stacking gel) / 120V (Resolving gel) for 2 hours. Lane 1: human HepG2 whole cell lysates. After electrophoresis, proteins were transferred to a nitrocellulose membrane at 150 mA for 50-90 minutes. Blocked the membrane with 5% non-fat milk/TBS for 1.5 hour at RT. The membrane was incubated with rabbit anti-TMED1 antibody at 0.5 ug/ml overnight at 4oC, then washed with TBS-0.1%Tween 3 times with 5 minutes each and probed with a goat anti-rabbit IgG-HRP secondary antibody at a dilution of 1:5000 for 1.5 hour at RT. The signal was developed using an ECL Plus Western Blotting Substrate. TMED1 (~23 kDa predicted) was detected as multiple bands between 25 and 50 kDa, consistent with differential glycosylation and oligomerization described for p24 family members.
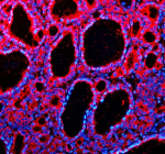
Immunofluorescent staining of TMED1 using anti-TMED1 antibody (red). TMED1 was detected in a paraffin-embedded section of human thyroid cancer tissue. Heat mediated antigen retrieval was performed in EDTA buffer (pH 8.0, epitope retrieval solution). The tissue section was blocked with 10% goat serum. The tissue section was then incubated with 5 ug/ml rabbit anti-TMED1 antibody overnight at 4oC. Cy3 Conjugated Goat Anti-Rabbit IgG was used as secondary antibody at 1:500 dilution and incubated for 30 minutes at 37oC. The section was counterstained with DAPI nuclear stain (blue). Visualize using a fluorescence microscope and filter sets appropriate for the label used.
Flow Cytometry analysis of HepG2 cells using anti-TMED1 antibody. Overlay histogram showing HepG2 cells stained with (Blue line). The cells were fixed with 4% paraformaldehyde and blocked with 10% normal goat serum. And then incubated with rabbit anti-TMED1 antibody (1 ug/million cells) for 30 min at 20oC. DyLight 488 conjugated goat anti-rabbit IgG (5-10 ug/million cells) was used as secondary antibody for 30 minutes at 20oC. Isotype control antibody (Green line) was rabbit IgG (1 ug/million cells) used under the same conditions. Unlabelled sample without incubation with primary antibody and secondary antibody (Red line) was used as a blank control.
Availability 1-2 days
Species Reactivity Human
Format Lyophilized
Host Rabbit
Clonality Polyclonal (rabbit origin)
Isotype Rabbit IgG
Purity Immunogen affinity purified
Buffer Each vial contains 4 mg Trehalose, 0.9 mg NaCl, 0.2 mg Na2HPO4.
UniProt Q13445
Localization Cytoplasm, cell membrane
Applications Western Blot : 0.25-0.5ug/ml
Immunohistochemistry : 2-5ug/ml
Immunofluorescence : 5ug/ml
Flow Cytometry : 1-3ug/million cells
ELISA : 0.1-0.5ug/ml
Limitations This TMED1 antibody is available for research use only.
Review this product on BioCompare and get a $20 Amazon gift card

Description

TMED1 antibody detects transmembrane emp24 domain-containing protein 1, a member of the p24 family of cargo receptors that regulate protein trafficking between the endoplasmic reticulum (ER) and Golgi apparatus. TMED1 participates in vesicle formation and quality control of secretory and membrane proteins, ensuring that correctly folded proteins are transported while misfolded ones are retained or degraded. The p24 family functions as part of the COPI and COPII coat protein systems, playing critical roles in maintaining organelle integrity and trafficking efficiency. The TMED1 antibody is an important reagent for studying vesicular transport, protein sorting, and ER-Golgi dynamics in various cell types.

TMED1 is encoded by the TMED1 gene located on human chromosome 19p13.3. The protein comprises a luminal GOLD (Golgi dynamics) domain, a single transmembrane helix, and a short cytoplasmic tail that interacts with coatomer components. TMED1 has been implicated in the trafficking of toll-like receptors and other immune-related proteins, highlighting its role in innate immune signaling. In the Golgi network, TMED1 contributes to the formation of transport vesicles and sorting of glycoproteins, making it a crucial element in secretory pathway organization.

Through use of the TMED1 antibody, researchers have identified strong expression in the Golgi apparatus and ER exit sites, where TMED1 co-localizes with other p24 family members such as TMED2, TMED4, and TMED10. Western blot typically reveals a band near 25-27 kDa corresponding to the full-length protein. Immunofluorescence labeling with this antibody provides a distinct perinuclear staining pattern consistent with Golgi localization. TMED1 expression has been linked to protein homeostasis, and its dysregulation may contribute to cellular stress responses and unfolded protein response activation.

Recent studies suggest TMED1's involvement in autophagy and viral protein processing, expanding its relevance beyond classical ER-Golgi transport. Knockdown or knockout experiments have shown altered secretion of select cytokines and membrane receptors, emphasizing its importance in vesicle biogenesis and immune communication. NSJ Bioreagents offers a validated TMED1 antibody suitable for western blot, immunocytochemistry, and immunofluorescence applications. This antibody supports detailed exploration of membrane trafficking mechanisms, Golgi organization, and the molecular pathology of secretion-related diseases.

Application Notes

Optimal dilution of the TMED1 antibody should be determined by the researcher.

Immunogen

E.coli-derived human TMED1 recombinant protein (Position: P39-T227) was used as the immunogen for the TMED1 antibody.

Storage

After reconstitution, the TMED1 antibody can be stored for up to one month at 4oC. For long-term, aliquot and store at -20oC. Avoid repeated freezing and thawing.

Cross
Bulk Quote Request Form
Name*:
Organization*:
Email*:
Phone Number*:
Catalog No.*:
Comments and Specifics(amount, formulation, etc.)*:
Validation code: Captchapackage Image


Can't read the image? click here to refresh.
    *required field

Your bulk quote request has been submitted successfully!

Please contact us if you have any questions.