• Tel: 858.663.9055
  • SeparatorEmail: info@nsjbio.com
  • Tel: 858.663.9055
  • Email: info@nsjbio.com
Home >> Antibodies >> TMC6 Antibody / Transmembrane channel-like protein 6

TMC6 Antibody / Transmembrane channel-like protein 6 (FY12413)

  Catalog No Formulation Size Price (USD)  
Image FY12413 Adding 0.2 ml of distilled water will yield a concentration of 500 ug/ml 100 ug 449
Bulk quote request
Immunofluorescent staining of TMC6 using anti-TMC6 antibody (red). TMC6 was detected in a paraffin-embedded section of human tonsil tissue. Heat mediated antigen retrieval was performed in EDTA buffer (pH 8.0, epitope retrieval solution). The tissue section was blocked with 10% goat serum. The tissue section was then incubated with 5 ug/ml rabbit anti-TMC6 antibody overnight at 4oC. Cy3 Conjugated Goat Anti-Rabbit IgG was used as secondary antibody at 1:500 dilution and incubated for 30 minutes at 37oC. The section was counterstained with DAPI nuclear stain (blue). Visualize using a fluorescence microscope and filter sets appropriate for the label used.
Immunofluorescent staining of TMC6 using anti-TMC6 antibody (red). TMC6 was detected in a paraffin-embedded section of human spleen tissue. Heat mediated antigen retrieval was performed in EDTA buffer (pH 8.0, epitope retrieval solution). The tissue section was blocked with 10% goat serum. The tissue section was then incubated with 5 ug/ml rabbit anti-TMC6 antibody overnight at 4oC. Cy3 Conjugated Goat Anti-Rabbit IgG was used as secondary antibody at 1:500 dilution and incubated for 30 minutes at 37oC. The section was counterstained with DAPI nuclear stain (blue). Visualize using a fluorescence microscope and filter sets appropriate for the label used.
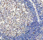
Immunohistochemical staining of TMC6 using anti-TMC6 antibody. TMC6 was detected in a paraffin-embedded section of human tonsil tissue. Heat mediated antigen retrieval was performed in EDTA buffer (pH 8.0, epitope retrieval solution). The tissue section was blocked with 10% goat serum. The tissue section was then incubated with 2 ug/ml rabbit anti-TMC6 antibody overnight at 4oC. Peroxidase Conjugated Goat Anti-rabbit IgG was used as secondary antibody and incubated for 30 minutes at 37oC. The tissue section was developed using an HRP secondary and DAB substrate.
Immunohistochemical staining of TMC6 using anti-TMC6 antibody. TMC6 was detected in a paraffin-embedded section of human spleen tissue. Heat mediated antigen retrieval was performed in EDTA buffer (pH 8.0, epitope retrieval solution). The tissue section was blocked with 10% goat serum. The tissue section was then incubated with 2 ug/ml rabbit anti-TMC6 antibody overnight at 4oC. Peroxidase Conjugated Goat Anti-rabbit IgG was used as secondary antibody and incubated for 30 minutes at 37oC. The tissue section was developed using an HRP secondary and DAB substrate.
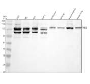
Western blot analysis of TMC6 using anti-TMC6 antibody. Electrophoresis was performed on a 10% SDS-PAGE gel at 80V (Stacking gel) / 120V (Resolving gel) for 2 hours. Lane 1: human K562 whole cell lysates, Lane 2: human HEL whole cell lysates, Lane 3: human RT4 whole cell lysates, Lane 4: human THP-1 whole cell lysates, Lane 5: rat thymus tissue lysates, Lane 6: rat lung tissue lysates, Lane 7: mouse thymus tissue lysates, Lane 8: mouse lung tissue lysates. After electrophoresis, proteins were transferred to a nitrocellulose membrane at 150 mA for 50-90 minutes. Blocked the membrane with 5% non-fat milk/TBS for 1.5 hour at RT. The membrane was incubated with rabbit anti-TMC6 antibody at 0.5 ug/ml overnight at 4oC, then washed with TBS-0.1%Tween 3 times with 5 minutes each and probed with a goat anti-rabbit IgG-HRP secondary antibody at a dilution of 1:5000 for 1.5 hour at RT. The signal was developed using an ECL Plus Western Blotting Substrate. TMC6 (EVER1, ~90 kDa predicted) was detected as doublets at ~100 and ~95 kDa, and additional ~85 kDa species in human cells, consistent with N-linked glycosylation, phosphorylation, and isoform variation. In mouse and rat tissues, a single ~100 kDa band predominated, reflecting the mature glycosylated form.
Immunofluorescent staining of TMC6 using anti-TMC6 antibody (green) and anti-Alpha Tubulin antibody (red). TMC6 was detected in an immunocytochemical section of Caco-2 cells. Enzyme antigen retrieval was performed using IHC enzyme antigen retrieval reagent for 15 mins. The cells were blocked with 10% goat serum. And then incubated with 5 ug/ml rabbit anti-TMC6 antibody and mouse anti-Beta Tubulin antibody overnight at 4oC. DyLight 488 Conjugated Goat Anti-Rabbit IgG and Cy3 Conjugated Goat Anti-Mouse IgG were used as secondary antibody at 1:500 dilution and incubated for 30 minutes at 37oC. Visualize using a fluorescence microscope and filter sets appropriate for the label used.
Flow Cytometry analysis of RT4 cells using anti-TMC6 antibody. Overlay histogram showing RT4 cells stained with (Blue line). To facilitate intracellular staining, cells were fixed with 4% paraformaldehyde and permeabilized with permeabilization buffer. The cells were blocked with 10% normal goat serum. And then incubated with rabbit anti-TMC6 antibody (1 ug/million cells) for 30 min at 20oC. DyLight 488 conjugated goat anti-rabbit IgG (5-10 ug/million cells) was used as secondary antibody for 30 minutes at 20oC. Isotype control antibody (Green line) was rabbit IgG (1 ug/million cells) used under the same conditions. Unlabelled sample without incubation with primary antibody and secondary antibody (Red line) was used as a blank control.
Flow Cytometry analysis of THP-1 cells using anti-TMC6 antibody. Overlay histogram showing THP-1 cells stained with (Blue line). To facilitate intracellular staining, cells were fixed with 4% paraformaldehyde and permeabilized with permeabilization buffer. The cells were blocked with 10% normal goat serum. And then incubated with rabbit anti-TMC6 antibody (1 ug/million cells) for 30 min at 20oC. DyLight 488 conjugated goat anti-rabbit IgG (5-10 ug/million cells) was used as secondary antibody for 30 minutes at 20oC. Isotype control antibody (Green line) was rabbit IgG (1 ug/million cells) used under the same conditions. Unlabelled sample without incubation with primary antibody and secondary antibody (Red line) was used as a blank control.
Availability 1-2 days
Species Reactivity Human, Mouse, Rat
Format Lyophilized
Host Rabbit
Clonality Polyclonal (rabbit origin)
Isotype Rabbit IgG
Purity Immunogen affinity purified
Buffer Each vial contains 4 mg Trehalose, 0.9 mg NaCl, 0.2 mg Na2HPO4.
UniProt Q7Z403
Localization Nucleus membrane, Golgi
Applications Western Blot : 0.25-0.5ug/ml
Immunohistochemistry : 2-5ug/ml
Immunofluorescence : 5ug/ml
Immunocytochemistry/Immunofluorescence : 5ug/ml
Flow Cytometry : 1-3ug/million cells
ELISA : 0.1-0.5ug/ml
Limitations This TMC6 antibody is available for research use only.
Review this product on BioCompare and get a $20 Amazon gift card

Description

The TMC6 antibody targets Transmembrane channel-like protein 6, a multipass membrane protein encoded by the TMC6 gene. Also known as EVER1, this protein is involved in zinc homeostasis and antiviral defense, particularly in epithelial and keratinocyte cells. Transmembrane channel-like protein 6 forms a complex with TMC8 (EVER2) to regulate intracellular zinc distribution, influencing transcriptional activity and immune responses. The TMC6 antibody provides a reliable reagent for studying epithelial immunity, metal ion regulation, and susceptibility to viral infection.

Transmembrane channel-like protein 6 is localized mainly to the endoplasmic reticulum and nuclear envelope, where it contributes to the regulation of zinc-dependent transcription factors. The TMC6 antibody supports localization and expression analyses that reveal how zinc flux affects keratinocyte differentiation and immune signaling. Through its partnership with TMC8, it restricts viral replication, particularly for human papillomaviruses (HPVs), by maintaining proper zinc balance within the nucleus.

Mutations in TMC6 cause Epidermodysplasia verruciformis (EV), a rare genodermatosis characterized by chronic HPV infection and increased skin cancer risk. The TMC6 antibody supports studies of this disease by enabling detection of protein loss or mislocalization in affected tissues. Lack of functional Transmembrane channel-like protein 6 disrupts zinc homeostasis, leading to impaired immune defense against HPV and uncontrolled keratinocyte proliferation. This discovery has highlighted TMC6 as a crucial host factor for viral resistance in epithelial tissues.

Beyond antiviral defense, Transmembrane channel-like protein 6 influences immune cell signaling and skin barrier function. The TMC6 antibody aids in quantifying these effects, revealing how altered zinc regulation impacts inflammation and epidermal differentiation. Its expression is highest in stratified epithelia but may also occur in immune cells and other tissues involved in zinc transport and immune surveillance.

The TMC6 antibody is validated for western blotting, immunohistochemistry, and immunofluorescence, providing distinct perinuclear staining consistent with endoplasmic reticulum localization. NSJ Bioreagents provides this antibody with validated specificity and performance for dermatological and immunological research. By supporting detailed examination of Transmembrane channel-like protein 6, the TMC6 antibody advances understanding of host defense, zinc metabolism, and mechanisms underlying susceptibility to viral infections and skin cancer.

Application Notes

Optimal dilution of the TMC6 antibody should be determined by the researcher.

Immunogen

E.coli-derived human TMC6 recombinant protein (Position: M1-H772) was used as the immunogen for the TMC6 antibody.

Storage

After reconstitution, the TMC6 antibody can be stored for up to one month at 4oC. For long-term, aliquot and store at -20oC. Avoid repeated freezing and thawing.

Cross
Bulk Quote Request Form
Name*:
Organization*:
Email*:
Phone Number*:
Catalog No.*:
Comments and Specifics(amount, formulation, etc.)*:
Validation code: Captchapackage Image


Can't read the image? click here to refresh.
    *required field

Your bulk quote request has been submitted successfully!

Please contact us if you have any questions.