• Tel: 858.663.9055
  • SeparatorEmail: info@nsjbio.com
  • Tel: 858.663.9055
  • Email: info@nsjbio.com
Home >> Antibodies >> TLR7 Antibody / Toll-like Receptor 7

TLR7 Antibody / Toll-like Receptor 7 (R30823)

  Catalog No Formulation Size Price (USD)  
Image R30823 0.5mg/ml if reconstituted with 0.2ml sterile DI water 100 ug 449
Bulk quote request
Western blot testing of TLR7 antibody and lysate from lane 1: rat spleen; 2: rat liver; 3: human U87 cells; 4: human A549 cells. Expected/observed molecular weight ~121 kDa.
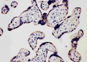
IHC staining of FFPE human placental tissue with TLR7 antibody. HIER: boil tissue sections in pH6 citrate buffer for 20 min and allow to cool before testing.
IHC staining of FFPE rat spleen tissue with TLR7 antibody. HIER: boil tissue sections in pH6 citrate buffer for 20 min and allow to cool before testing.
Availability 1-3 business days
Species Reactivity Human, Rat, Mouse
Format Antigen affinity purified
Host Rabbit
Clonality Polyclonal (rabbit origin)
Isotype Rabbit Ig
Purity Antigen affinity
Buffer Lyophilized from 1X PBS with 2.5% BSA and 0.025% sodium azide/thimerosal
UniProt Q9NYK1
Localization Cytoplasmic
Applications Western Blot : 0.5-1ug/ml
Immunohistochemistry (FFPE) : 0.5-1ug/ml
Limitations This TLR7 antibody is available for research use only.
Review this product on BioCompare and get a $20 Amazon gift card

Related Products

  • Applications : WB
    Reactivity : Human
  • Applications : WB, ELISA
    Reactivity : Human
    Pred. Reactivity : Mouse
  • Applications : WB, IHC, ELISA
    Reactivity : Human, Mouse
  • Applications : WB, IHC-P, IHC-F, ICC, FACS
    Reactivity : Human, Mouse, Rat

Description

Toll-like receptor 7 is protein that in humans is encoded by the TLR7 gene. Orthologs are found in mammals and birds. It is a member of the Toll-like receptor family which plays a fundamental role in pathogen recognition and activation of innate immunity. TLRs are highly conserved from Drosophila to humans and share structural and functional similarities. They recognize pathogen-associated molecular patterns (PAMPs) that are expressed on infectious agents, and mediate the production of cytokines necessary for the development of effective immunity. The various TLRs exhibit different patterns of expression. This gene is predominantly expressed in lung, placenta, and spleen, and lies in close proximity to another family member, TLR8, on human chromosome X. TLR7 recognises single stranded RNA in endosomes, which is a common feature of viral genomes which are internalised by macrophages.

Application Notes

The stated application concentrations are suggested starting points. Titration of the TLR7 antibody may be required due to differences in protocols and secondary/substrate sensitivity.

Immunogen

An amino acid sequence from the C-terminus of human TLR7 (QAHPYFWQCLKNALATDNH) was used as the immunogen for this TLR7 antibody.

Storage

After reconstitution, the TLR7 antibody can be stored for up to one month at 4oC. For long-term, aliquot and store at -20oC. Avoid repeated freezing and thawing.

Alternate Names

Toll-like Receptor 7

Cross
Bulk Quote Request Form
Name*:
Organization*:
Email*:
Phone Number*:
Catalog No.*:
Comments and Specifics(amount, formulation, etc.)*:
Validation code: Captchapackage Image


Can't read the image? click here to refresh.
    *required field

Your bulk quote request has been submitted successfully!

Please contact us if you have any questions.