• Tel: 858.663.9055
  • SeparatorEmail: info@nsjbio.com
  • Tel: 858.663.9055
  • Email: info@nsjbio.com
Home >> Antibodies >> TLR6 Antibody

TLR6 Antibody (F44376)

  Catalog No Formulation Size Price (USD)  
Image F44376-0.4ML In 1X PBS, pH 7.4, with 0.09% sodium azide 0.4 ml 439
Image
F44376-0.08ML In 1X PBS, pH 7.4, with 0.09% sodium azide 0.08 ml 205
Bulk quote request
Flow cytometric analysis of NCI-H460 cells using TLR6 antibody (bottom histogram) compared to a negative control (top histogram). FITC-conjugated goat-anti-rabbit secondary Ab was used for the analysis.
Western blot analysis of TLR6 antibody and mouse liver tissue lysate
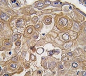
IHC analysis of FFPE human lung carcinoma tissue stained with TLR6 antibody
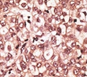
IHC analysis of FFPE human hepatocarcinoma tissue stained with the TLR6 antibody
Availability 1-3 business days
Species Reactivity Human
Format Purified
Host Rabbit
Clonality Polyclonal (rabbit origin)
Isotype Rabbit Ig
Purity Purified
UniProt Q9Y2C9
Applications Flow Cytometry : 1:10-1:50
Western Blot : 1:1000
IHC (Paraffin) : 1:50-1:100
Limitations This TLR6 antibody is available for research use only.
Review this product on BioCompare and get a $20 Amazon gift card

Related Products

  • Applications : IHC, WB, ELISA
    Reactivity : Human, Mouse
  • Applications : WB, IHC, ELISA
    Reactivity : Human, Mouse
  • Applications : WB, FACS, Direct ELISA
    Reactivity : Mouse, Rat

Description

TLR6, a Type I membrane protein that belongs to the Toll-like rceptor family, participates in the innate immune response to Gram-positive bacteria and fungi. It acts via MyD88 and TRAF6, leading to NF-kappa-B activation, cytokine secretion and the inflammatory response. The protein recognizes mycoplasmal macrophage-activating lipopeptide-2kD (MALP-2), soluble tuberculosis factor (STF), phenol-soluble modulin (PSM) and B.burgdorferi outer surface protein A lipoprotein (OspA-L) cooperatively with TLR2. It binds to TLR2 via their respective extracellular domains, and to MyD88 via their respective TIR domains. TLR6 is detected in monocytes, CD11c+ immature dendritic cells, plasmacytoid pre-dendritic cells and dermal microvessel endothelial cells.

Application Notes

Titration of the TLR6 antibody may be required due to differences in protocols and secondary/substrate sensitivity.

Immunogen

A portion of amino acids 393-423 from the human protein was used as the immunogen for this TLR6 antibody.

Storage

Aliquot the TLR6 antibody and store frozen at -20oC or colder. Avoid repeated freeze-thaw cycles.

Cross
Bulk Quote Request Form
Name*:
Organization*:
Email*:
Phone Number*:
Catalog No.*:
Comments and Specifics(amount, formulation, etc.)*:
Validation code: Captchapackage Image


Can't read the image? click here to refresh.
    *required field

Your bulk quote request has been submitted successfully!

Please contact us if you have any questions.