• Tel: 858.663.9055
  • SeparatorEmail: info@nsjbio.com
  • Tel: 858.663.9055
  • Email: info@nsjbio.com
Home >> Antibodies >> TL1A Antibody / VEGI / TNFSF15

TL1A Antibody / VEGI / TNFSF15 [clone TLRM1-1] (V7227)

  Catalog No Formulation Size Price (USD)  
Image V7227-100UG 0.2 mg/ml in 1X PBS with 0.1 mg/ml BSA (US sourced) and 0.05% sodium azide 100 ug 559
Image
V7227-20UG 0.2 mg/ml in 1X PBS with 0.1 mg/ml BSA (US sourced) and 0.05% sodium azide 20 ug 259
Image
V7227SAF-100UG 1 mg/ml in 1X PBS; BSA free, sodium azide free 100 ug 559
Bulk quote request
IHC testing of FFPE human parathyroid tumor with TL1A antibody (clone TLRM1-1). Staining of FFPE tissue requires boiling sections in 10mM Tris with 1mM EDTA, pH9, for 10-20 min followed by cooling at RT for 20 min.
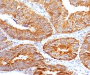
IHC testing of FFPE human colon carcinoma with TL1A antibody (clone TLRM1-1). Staining of FFPE tissue requires boiling sections in 10mM Tris with 1mM EDTA, pH9, for 10-20 min followed by cooling at RT for 20 min.
Species Reactivity Human
Format Purified
Host Mouse
Clonality Monoclonal (mouse origin)
Isotype Mouse IgG1, kappa
Clone Name TLRM1-1
Purity Protein G affinity chromatography
Buffer 1X PBS, pH 7.4
UniProt O95150
Gene ID 9966
Localization Cytoplasmic, cell surface, secreted
Applications Immunohistochemistry (FFPE) : 1-2ug/ml
Limitations This TL1A antibody is available for research use only.
Review this product on BioCompare and get a $20 Amazon gift card

Related Products

Description

TL1A antibody detects TL1A, also known as VEGI and encoded by the TNFSF15 gene, a cytokine in the tumor necrosis factor ligand family that regulates immune activation, inflammation, and angiostasis. The UniProt recommended name is Tumor necrosis factor ligand superfamily member 15. TL1A is produced by endothelial cells, myeloid cells, and activated lymphocytes, and signals primarily through the Death Receptor 3 pathway to shape T cell responses, mucosal immunity, and tissue remodeling. Clone TLRM1-1 is a monoclonal TL1A antibody designed to recognize TNFSF15 protein in research applications focused on these pathways.

TL1A is synthesized as a type II transmembrane protein with an intracellular N terminus, a single transmembrane segment, and an extracellular TNF homology domain responsible for receptor engagement. Proteolytic processing can release a soluble form of TL1A, and both membrane bound and soluble TL1A are biologically active. By binding to Death Receptor 3, TL1A activates NF kappa B, MAPK, and JNK signaling cascades, leading to changes in gene expression that influence T cell proliferation, cytokine production, and survival. Through these activities, TL1A functions as a costimulatory cytokine that amplifies immune responses in a context dependent manner.

The TNFSF15 gene is located on chromosome 9q32 and is expressed in endothelial cells, monocytes, macrophages, dendritic cells, and activated T cells. TL1A expression is strongly induced by inflammatory stimuli such as TNF, IL1 beta, interferon gamma, and microbial products. In the vasculature, TL1A was originally described as VEGI (vascular endothelial growth inhibitor), reflecting its ability to inhibit endothelial proliferation and support angiostatic control. In the immune system, TL1A promotes expansion and effector function of T cells and innate lymphoid cells, particularly in barrier tissues where rapid and robust responses are required for pathogen defense.

At mucosal surfaces such as the intestine, TL1A plays an important role in coordinating barrier immunity. It enhances effector T cell responses, influences the balance between Th1, Th17, and regulatory T cell populations, and supports innate lymphoid cell activation. Through these mechanisms, TL1A contributes to the cytokine networks that maintain epithelial integrity and respond to microbial challenge. However, persistent or excessive TL1A production can drive chronic inflammation, tissue remodeling, and fibrotic changes in susceptible individuals.

Pathologically, elevated TL1A and TNFSF15 pathway activity have been linked to inflammatory bowel disease, rheumatoid arthritis, psoriasis, and airway inflammation. Increased TL1A expression in these conditions correlates with enhanced effector T cell activation, elevated cytokine production, and accumulation of inflammatory cells in tissues. Because of this, TL1A and its interaction with Death Receptor 3 have become important therapeutic targets in efforts to dampen pathological inflammation and restore mucosal homeostasis. Experimental approaches to block TL1A signaling are being studied as potential strategies to reduce tissue damage in chronic inflammatory disease.

Beyond its immunologic roles, TL1A retains significant relevance as an angiostatic factor. As VEGI, TL1A modulates endothelial growth and survival, helping restrain excessive angiogenesis and contributing to vascular patterning. This dual function at the interface of immune regulation and vascular biology has made TL1A a focus of research in both inflammation and tissue remodeling. Altered TL1A signaling can affect vascular remodeling in chronic inflammatory settings and may influence the microenvironment in tumors or fibrotic lesions.

Clone TLRM1-1 provides a monoclonal tool for detecting TL1A in cells and tissues and for examining TNFSF15 expression patterns under inflammatory, angiostatic, or homeostatic conditions. Researchers can use TL1A antibody (clone TLRM1-1) to investigate how TL1A is regulated in endothelial cells, myeloid populations, and lymphocytes, and to explore its contribution to cytokine networks in mucosal, vascular, and autoimmune disease models.

TL1A antibody is validated for use in relevant research applications to detect Tumor necrosis factor ligand superfamily member 15 expression and to support studies of DR3 signaling, mucosal immunity, chronic inflammation, and vascular regulation. NSJ Bioreagents provides TL1A antibody reagents, including clone TLRM1-1, suitable for immunology, inflammation biology, and vascular research.

Application Notes

The concentration stated for each application is a general starting point. Variations in protocols, secondaries and substrates may require the TL1A antibody to be titered up or down for optimal performance.

Immunogen

A full length human recombinant protein was used as the immunogen for this TL1A antibody.

Storage

Store the TL1A antibody at 2-8oC (with azide) or aliquot and store at -20oC or colder (without azide).

Cross
Bulk Quote Request Form
Name*:
Organization*:
Email*:
Phone Number*:
Catalog No.*:
Comments and Specifics(amount, formulation, etc.)*:
Validation code: Captchapackage Image


Can't read the image? click here to refresh.
    *required field

Your bulk quote request has been submitted successfully!

Please contact us if you have any questions.