• Tel: 858.663.9055
  • SeparatorEmail: info@nsjbio.com
  • Tel: 858.663.9055
  • Email: info@nsjbio.com
Home >> Antibodies >> TKFC Antibody / Triokinase/FMN cyclase

TKFC Antibody / Triokinase/FMN cyclase (FY12658)

  Catalog No Formulation Size Price (USD)  
Image FY12658 Adding 0.2 ml of distilled water will yield a concentration of 500 ug/ml 100 ug 449
Bulk quote request
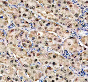
Immunohistochemical staining of TKFC using anti-TKFC antibody. TKFC was detected in a paraffin-embedded section of human liver cancer tissue. Heat mediated antigen retrieval was performed in EDTA buffer (pH 8.0, epitope retrieval solution). The tissue section was blocked with 10% goat serum. The tissue section was then incubated with 2 ug/ml rabbit anti-TKFC antibody overnight at 4oC. Peroxidase Conjugated Goat Anti-rabbit IgG was used as secondary antibody and incubated for 30 minutes at 37oC. The tissue section was developed using an HRP secondary and DAB substrate.
Western blot analysis of TKFC using anti-TKFC antibody. Electrophoresis was performed on a 10% SDS-PAGE gel at 80V (Stacking gel) / 120V (Resolving gel) for 2 hours. Lane 1: human HepG2 whole cell lysates, Lane 2: rat liver tissue lysates, Lane 3: mouse liver tissue lysates, Lane 4: mouse kidney tissue lysates. After electrophoresis, proteins were transferred to a nitrocellulose membrane at 150 mA for 50-90 minutes. Blocked the membrane with 5% non-fat milk/TBS for 1.5 hour at RT. The membrane was incubated with rabbit anti-TKFC antibody at 0.5 ug/ml overnight at 4oC, then washed with TBS-0.1%Tween 3 times with 5 minutes each and probed with a goat anti-rabbit IgG-HRP secondary antibody at a dilution of 1:5000 for 1.5 hour at RT. The signal was developed using an ECL Plus Western Blotting Substrate. Western blot analysis of TKFC using anti-TKFC antibody. A primary band is observed at ~59 kDa corresponding to full-length TKFC. Additional bands forming a doublet or triplet, particularly in liver and kidney lysates, are consistent with reported isoform and phosphorylation variants of the protein.
Immunohistochemical staining of TKFC using anti-TKFC antibody. TKFC was detected in a paraffin-embedded section of human liver tissue. Heat mediated antigen retrieval was performed in EDTA buffer (pH 8.0, epitope retrieval solution). The tissue section was blocked with 10% goat serum. The tissue section was then incubated with 2 ug/ml rabbit anti-TKFC antibody overnight at 4oC. Peroxidase Conjugated Goat Anti-rabbit IgG was used as secondary antibody and incubated for 30 minutes at 37oC. The tissue section was developed using an HRP secondary and DAB substrate.
Immunohistochemical staining of TKFC using anti-TKFC antibody. TKFC was detected in a paraffin-embedded section of human pancreas cancer tissue. Heat mediated antigen retrieval was performed in EDTA buffer (pH 8.0, epitope retrieval solution). The tissue section was blocked with 10% goat serum. The tissue section was then incubated with 2 ug/ml rabbit anti-TKFC antibody overnight at 4oC. Peroxidase Conjugated Goat Anti-rabbit IgG was used as secondary antibody and incubated for 30 minutes at 37oC. The tissue section was developed using an HRP secondary and DAB substrate.
Immunofluorescent staining of TKFC using anti-TKFC antibody (red). TKFC was detected in a paraffin-embedded section of human pancreas cancer tissue. Heat mediated antigen retrieval was performed in EDTA buffer (pH 8.0, epitope retrieval solution). The tissue section was blocked with 10% goat serum. The tissue section was then incubated with 5 ug/ml rabbit anti-TKFC antibody overnight at 4oC. Cy3 Conjugated Goat Anti-Rabbit IgG was used as secondary antibody at 1:500 dilution and incubated for 30 minutes at 37oC. The section was counterstained with DAPI nuclear stain (blue). Visualize using a fluorescence microscope and filter sets appropriate for the label used.
Flow Cytometry analysis of HepG2 cells using anti-TKFC antibody. Overlay histogram showing HepG2 cells stained with (Blue line). To facilitate intracellular staining, cells were fixed with 4% paraformaldehyde and permeabilized with permeabilization buffer. The cells were blocked with 10% normal goat serum. And then incubated with rabbit anti-TKFC antibody (1 ug/million cells) for 30 min at 20oC. DyLight 488 conjugated goat anti-rabbit IgG (5-10 ug/million cells) was used as secondary antibody for 30 minutes at 20oC. Isotype control antibody (Green line) was rabbit IgG (1 ug/million cells) used under the same conditions. Unlabelled sample without incubation with primary antibody and secondary antibody (Red line) was used as a blank control.
Availability 1-2 days
Species Reactivity Human, Mouse, Rat
Format Lyophilized
Host Rabbit
Clonality Polyclonal (rabbit origin)
Isotype Rabbit IgG
Purity Immunogen affinity purified
Buffer Each vial contains 4 mg Trehalose, 0.9 mg NaCl, 0.2 mg Na2HPO4.
UniProt Q3LXA3
Localization Cytoplasmic, Nuclear
Applications Western Blot : 0.25-0.5ug/ml
Immunohistochemistry : 2-5ug/ml
Immunofluorescence : 5ug/ml
Flow Cytometry : 1-3ug/million cells
ELISA : 0.1-0.5ug/ml
Limitations This TKFC antibody is available for research use only.
Review this product on BioCompare and get a $20 Amazon gift card

Description

TKFC antibody detects Triokinase/FMN cyclase, a bifunctional enzyme involved in carbohydrate and flavin metabolism. TKFC catalyzes phosphorylation of glyceraldehyde and dihydroxyacetone to glyceraldehyde 3-phosphate and forms cyclic FMN from FMN, linking sugar and cofactor metabolism. The TKFC antibody is widely used in metabolic and enzymology research to study carbohydrate utilization, vitamin metabolism, and redox regulation.

TKFC is encoded by the TKFC gene located on human chromosome 17p13.1. The protein is approximately 585 amino acids long and localizes to the cytoplasm, particularly in liver and kidney tissues, where it supports energy metabolism and flavin cofactor recycling. TKFC functions as a bifunctional enzyme with separate kinase and cyclase domains, ensuring efficient coordination between sugar phosphorylation and FMN homeostasis.

The TKFC antibody detects a 63 kilodalton protein by western blot and shows cytoplasmic staining under immunofluorescence microscopy. TKFC participates in glycerol metabolism by converting trioses into intermediates of glycolysis and gluconeogenesis, thereby contributing to glucose homeostasis. Its FMN cyclase activity recycles flavin cofactors that support oxidative enzymes and mitochondrial redox balance.

Defects in TKFC activity lead to impaired energy metabolism, elevated triose intermediates, and disturbances in flavin homeostasis. Although rare, TKFC deficiency has been linked to metabolic acidosis and hepatic dysfunction. Elevated TKFC expression in tumors reflects metabolic adaptation to high glycolytic flux and enhanced redox cycling, supporting cell proliferation under hypoxia.

By connecting carbohydrate utilization and flavin metabolism, TKFC provides a unique window into cellular bioenergetics and redox control. NSJ Bioreagents provides a validated TKFC antibody optimized for western blot, immunofluorescence, and metabolic profiling, supporting research into energy metabolism, flavin biochemistry, and metabolic regulation.

Application Notes

Optimal dilution of the TKFC antibody should be determined by the researcher.

Immunogen

E.coli-derived human DAK/TKFC recombinant protein (Position: D15-E538) was used as the immunogen for the TKFC antibody.

Storage

After reconstitution, the TKFC antibody can be stored for up to one month at 4oC. For long-term, aliquot and store at -20oC. Avoid repeated freezing and thawing.

Cross
Bulk Quote Request Form
Name*:
Organization*:
Email*:
Phone Number*:
Catalog No.*:
Comments and Specifics(amount, formulation, etc.)*:
Validation code: Captchapackage Image


Can't read the image? click here to refresh.
    *required field

Your bulk quote request has been submitted successfully!

Please contact us if you have any questions.