- Tel: 858.663.9055
- 
									 Email: info@nsjbio.com Email: info@nsjbio.com
- Tel: 858.663.9055
- Email: info@nsjbio.com
 Email: info@nsjbio.com
Email: info@nsjbio.com
								Related Products
| 
 | 
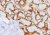
The extrinsic pathway of blood coagulation is initiated by contact of plasma factor VII with tissue factor, a cellular membrane glycoprotein that normally is segregated from the bloodstream but can be exposed after tissue injury or newly synthesized in endothelial cells or leukocytes after stimulation by endotoxin and cytokines. Inhibition of Factor VIIa tissue factor activity requires a plasma component (tissue factor pathway inhibitor (TFPI), lipoprotein-associated coagulation inhibitor (LACI) or extrinsic pathway inhibitor (EPI)) and factor Xa. TFPI directly inhibits factor Xa, and, in an Xa-dependent fashion, also inhibits the Factor VIIa tissue factor catalytic complex. TFPI is a multivalent, Kunitz-type proteinase inhibitor that circulates in association with plasma lipoproteins VLDL, LDL, and HDL. TFPI-2 (also known as placental protein 5) is a related glycoprotein that was originally isolated from human placenta.
Optimal dilution of the Tissue factor pathway inhibitor 2 antibody should be determined by the researcher.
A portion of amino acids 100-235 from human TFPI2 protein was used as the immunogen for the Tissue factor pathway inhibitor 2 antibody.
Aliquot the Tissue factor pathway inhibitor 2 antibody and store frozen at -20oC or colder. Avoid repeated freeze-thaw cycles.
 
Your bulk quote request has been submitted successfully!
Please contact us if you have any questions.