• Tel: 858.663.9055
  • SeparatorEmail: info@nsjbio.com
  • Tel: 858.663.9055
  • Email: info@nsjbio.com
Home >> Antibodies >> TIRAP Antibody / Toll/interleukin-1 receptor domain-containing adapter protein

TIRAP Antibody / Toll/interleukin-1 receptor domain-containing adapter protein (FY12140)

  Catalog No Formulation Size Price (USD)  
Image FY12140 Adding 0.2 ml of distilled water will yield a concentration of 500 ug/ml 100 ug 449
Bulk quote request
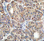
Immunohistochemical staining of TIRAP using anti-TIRAP antibody. TIRAP was detected in a paraffin-embedded section of human liver tissue. Heat mediated antigen retrieval was performed in EDTA buffer (pH 8.0, epitope retrieval solution). The tissue section was blocked with 10% goat serum. The tissue section was then incubated with 2 ug/ml rabbit anti-TIRAP antibody overnight at 4oC. Peroxidase Conjugated Goat Anti-rabbit IgG was used as secondary antibody and incubated for 30 minutes at 37oC. The tissue section was developed using an HRP secondary and DAB substrate.
Immunohistochemical staining of TIRAP using anti-TIRAP antibody. TIRAP was detected in a paraffin-embedded section of human liver cancer tissue. Heat mediated antigen retrieval was performed in EDTA buffer (pH 8.0, epitope retrieval solution). The tissue section was blocked with 10% goat serum. The tissue section was then incubated with 2 ug/ml rabbit anti-TIRAP antibody overnight at 4oC. Peroxidase Conjugated Goat Anti-rabbit IgG was used as secondary antibody and incubated for 30 minutes at 37oC. The tissue section was developed using an HRP secondary and DAB substrate.
Flow Cytometry analysis of HepG2 cells using anti-TIRAP antibody. Overlay histogram showing HepG2 cells stained with (Blue line). The cells were fixed with 4% paraformaldehyde and blocked with 10% normal goat serum. And then incubated with rabbit anti-TIRAP antibody (1 ug/million cells) for 30 min at 20oC. DyLight 488 conjugated goat anti-rabbit IgG (5-10 ug/million cells) was used as secondary antibody for 30 minutes at 20oC. Isotype control antibody (Green line) was rabbit IgG (1 ug/million cells) used under the same conditions. Unlabelled sample without incubation with primary antibody and secondary antibody (Red line) was used as a blank control.
Availability 1-2 days
Species Reactivity Human
Format Lyophilized
Host Rabbit
Clonality Polyclonal (rabbit origin)
Isotype Rabbit IgG
Purity Immunogen affinity purified
Buffer Each vial contains 4 mg Trehalose, 0.9 mg NaCl, 0.2 mg Na2HPO4.
UniProt P58753
Applications Immunohistochemistry : 2-5ug/ml
Flow Cytometry : 1-3ug/million cells
ELISA : 0.1-0.5ug/ml
Limitations This TIRAP antibody is available for research use only.
Review this product on BioCompare and get a $20 Amazon gift card

Related Products

Description

TIRAP antibody detects Toll/interleukin-1 receptor domain-containing adapter protein, encoded by the TIRAP gene on chromosome 11q24.2. TIRAP antibody is used to study this adaptor protein, also known as Mal (MyD88 adaptor-like). TIRAP plays an essential role in innate immune signaling by linking Toll-like receptors (TLR2 and TLR4) to downstream signaling cascades. By bridging activated TLRs to the MyD88 adaptor protein, TIRAP initiates NF kappaB and MAP kinase activation, leading to pro-inflammatory cytokine production. This function makes TIRAP central to host defense against pathogens and an important regulator of inflammatory responses.

Structurally, TIRAP contains an N-terminal phosphoinositide-binding domain that anchors it to the plasma membrane and a C-terminal Toll/IL-1 receptor (TIR) domain that interacts with TLRs and MyD88. Phosphorylation of TIRAP by kinases such as Brutons tyrosine kinase regulates its stability and interactions. TIRAP also undergoes ubiquitination and degradation, providing additional control of signaling intensity and duration.

Functionally, TIRAP is essential for proper TLR signaling. Knockout mice lacking TIRAP fail to activate NF kappaB in response to TLR2 or TLR4 ligands and are highly susceptible to bacterial infections. In humans, TIRAP polymorphisms are associated with susceptibility to infectious diseases such as tuberculosis and malaria, as well as inflammatory conditions like sepsis and atherosclerosis. Researchers use TIRAP antibody to analyze its expression and signaling roles in immune cells.

TIRAP is also implicated in autoimmunity and cancer. Aberrant activation of TIRAP-dependent pathways contributes to chronic inflammation and tumor progression. Overexpression of TIRAP has been reported in leukemias and lymphomas, where it may promote survival signaling. Conversely, loss-of-function variants reduce inflammatory responses and alter disease susceptibility. Because of its dual role in host defense and pathological inflammation, TIRAP is a focus of therapeutic interest. TIRAP antibody enables exploration of these mechanisms in immunology and oncology.

Experimentally, TIRAP antibody is used in western blotting to detect the ~24 kDa protein, in flow cytometry to measure surface-proximal adaptor complexes, and in immunofluorescence microscopy to track its membrane localization. Immunoprecipitation with TIRAP antibody allows analysis of TLR signaling complexes. NSJ Bioreagents offers TIRAP antibody to support research in innate immunity, infectious disease, and inflammatory signaling.

Application Notes

Optimal dilution of the TIRAP antibody should be determined by the researcher.

Immunogen

E.coli-derived human TIRAP recombinant protein (Position: P10-S221) was used as the immunogen for the TIRAP antibody.

Storage

After reconstitution, the TIRAP antibody can be stored for up to one month at 4oC. For long-term, aliquot and store at -20oC. Avoid repeated freezing and thawing.

Cross
Bulk Quote Request Form
Name*:
Organization*:
Email*:
Phone Number*:
Catalog No.*:
Comments and Specifics(amount, formulation, etc.)*:
Validation code: Captchapackage Image


Can't read the image? click here to refresh.
    *required field

Your bulk quote request has been submitted successfully!

Please contact us if you have any questions.