• Tel: 858.663.9055
  • SeparatorEmail: info@nsjbio.com
  • Tel: 858.663.9055
  • Email: info@nsjbio.com
Home >> Antibodies >> TIMP1 Antibody / TIMP metallopeptidase inhibitor 1

TIMP1 Antibody / TIMP metallopeptidase inhibitor 1 (R32846)

  Catalog No Formulation Size Price (USD)  
Image R32846 0.5mg/ml if reconstituted with 0.2ml sterile DI water 100 ug 449
Bulk quote request
Western blot testing of 1) human HeLa, 2) rat ovary, 3) rat lung and 4) mouse ovary lysate with TIMP1 antibody at 0.5ug/ml. Expected molecular weight: 23-28 kDa depending on the level of glycosylation.
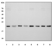
Western blot testing of human samples: 1) HeLa, 2) HL60, 3) HT29, 4) SKOV3, 5) SiHa, 6) U-2 OS, 7) PC-3 and 8) ThP-1 cell lysate with TIMP1 antibody at 0.5ug/ml. Expected molecular weight: 23-28 kDa depending on the level of glycosylation.
Availability 1-3 business days
Species Reactivity Human, Mouse, Rat
Format Antigen affinity purified
Host Rabbit
Clonality Polyclonal (rabbit origin)
Isotype Rabbit IgG
Purity Antigen affinity
Buffer Lyophilized from 1X PBS with 2% Trehalose
UniProt P01033
Localization Cytoplasmic, secreted
Applications Western Blot : 0.5-1ug/ml
Direct ELISA (human Recombinant Protein) : 0.1-0.5ug/ml (BSA-free format available)
Limitations This TIMP1 antibody is available for research use only.
Review this product on BioCompare and get a $20 Amazon gift card

Related Products

  • Applications : ELISA
    Reactivity : Human
    Recmousemono
  • Applications : ELISA
    Reactivity : Human
    Recrabbitmono
  • Applications : ELISA, IHC-P
    Reactivity : Human
    Microvalidated
  • Applications : WB
    Reactivity : Human
    Rab Mono Image
  • Applications : WB
    Reactivity : Human
    Rab Mono Image
  • Applications : ELISA
    Reactivity : Human
  • Applications : ELISA, IHC-P
    Reactivity : Human
  • Applications : WB, IHC-P
    Reactivity : Human
  • Applications : WB, ELISA (peptide)
    Reactivity : Human
    Pred. Reactivity : Dog
  • Applications : WB, Direct ELISA
    Reactivity : Human, Mouse, Rat
  • Applications : FACS, IF, WB, IHC-P
    Reactivity : Human
  • Applications : IF, FACS, IHC-P, WB
    Reactivity : Human
  • Applications : WB, FACS, Direct ELISA
    Reactivity : Mouse, Rat

Description

TIMP1 antibody targets TIMP metallopeptidase inhibitor 1 (TIMP1), a secreted glycoprotein that functions as a natural inhibitor of matrix metalloproteinases and plays a central role in regulating extracellular matrix turnover. TIMP1 binds active MMPs in a 1:1 stoichiometry, blocking proteolytic activity and thereby controlling matrix degradation, tissue remodeling, and cellular migration. The protein is synthesized as a soluble factor and localizes primarily to the extracellular space, although intracellular and cell-associated pools have also been reported depending on cellular context. Through these activities, TIMP1 contributes to maintaining structural integrity of tissues and balanced extracellular matrix dynamics.

Functionally, TIMP1 regulates processes that require tightly controlled matrix remodeling, including development, wound healing, angiogenesis, and immune cell infiltration. TIMP1 expression is inducible and responsive to cytokines, growth factors, and cellular stress signals, allowing tissues to adapt matrix turnover to physiological demand. In addition to its metalloproteinase inhibitory function, TIMP1 has been shown to exert MMP-independent effects by influencing cell survival, proliferation, and signaling through interactions with cell surface receptors. A TIMP1 antibody supports studies examining extracellular matrix regulation and cell-matrix interactions.

TIMP1 is broadly expressed across tissues, with particularly notable roles in connective tissue, immune-related environments, and tumor-associated stroma. Altered TIMP1 expression can shift the balance between matrix deposition and degradation, leading to pathological remodeling. Elevated TIMP1 levels have been associated with fibrosis, chronic inflammation, and tumor progression, reflecting its importance in regulating the extracellular microenvironment. A TIMP1 antibody enables investigation of TIMP1 expression patterns and regulation in physiological and disease-related contexts.

From a biological and disease-relevance perspective, TIMP1 has been extensively studied in cancer biology, cardiovascular disease, and inflammatory disorders. Dysregulated TIMP1-MMP balance contributes to aberrant tissue architecture, invasive behavior, and altered signaling landscapes. TIMP1 is also used as a biomarker in certain disease settings due to its regulated secretion and stability. Understanding TIMP1 biology provides insight into how extracellular proteolysis and its inhibition shape tissue behavior and disease progression.

At the molecular level, TIMP1 is encoded by the TIMP1 gene and produces a protein of approximately 207 amino acids that undergoes glycosylation, contributing to an apparent molecular weight of approximately 28-34 kDa on SDS-PAGE. The protein contains conserved domains responsible for metalloproteinase binding and inhibition. Regulation of TIMP1 expression occurs at transcriptional and post-translational levels in response to cellular and environmental cues. A TIMP1 antibody supports research applications focused on extracellular matrix regulation, metalloproteinase inhibition, and tissue remodeling biology, with NSJ Bioreagents providing reagents intended for research use.

Application Notes

Optimal dilution of the TIMP1 antibody should be determined by the researcher.

Immunogen

A recombinant human protein corresponding to amino acids C24-A207 was used as the immunogen for the TIMP1 antibody.

Storage

After reconstitution, the TIMP1 antibody can be stored for up to one month at 4oC. For long-term, aliquot and store at -20oC. Avoid repeated freezing and thawing.

Cross
Bulk Quote Request Form
Name*:
Organization*:
Email*:
Phone Number*:
Catalog No.*:
Comments and Specifics(amount, formulation, etc.)*:
Validation code: Captchapackage Image


Can't read the image? click here to refresh.
    *required field

Your bulk quote request has been submitted successfully!

Please contact us if you have any questions.