• Tel: 858.663.9055
  • SeparatorEmail: info@nsjbio.com
  • Tel: 858.663.9055
  • Email: info@nsjbio.com
Home >> Antibodies >> TIMM9 Antibody / Tim9

TIMM9 Antibody / Tim9 (FY12894)

  Catalog No Formulation Size Price (USD)  
Image FY12894 Adding 0.2 ml of distilled water will yield a concentration of 500 ug/ml 100 ug 439
Bulk quote request
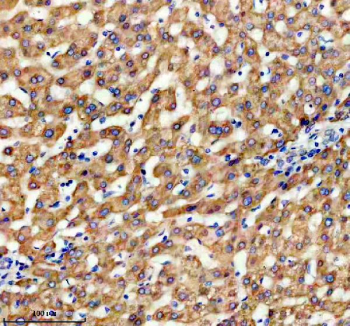
Immunohistochemical staining of TIMM9 using anti-TIMM9 antibody. TIMM9 was detected in a paraffin-embedded section of human liver tissue. Heat mediated antigen retrieval was performed in EDTA buffer (pH 8.0, epitope retrieval solution). The tissue section was blocked with 10% goat serum. The tissue section was then incubated with 2 ug/ml rabbit anti-TIMM9 antibody overnight at 4oC. Peroxidase Conjugated Goat Anti-rabbit IgG was used as secondary antibody and incubated for 30 minutes at 37oC. The tissue section was developed using an HRP secondary and DAB substrate.
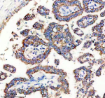
Immunohistochemical staining of TIMM9 using anti-TIMM9 antibody. TIMM9 was detected in a paraffin-embedded section of human liver cancer tissue. Heat mediated antigen retrieval was performed in EDTA buffer (pH 8.0, epitope retrieval solution). The tissue section was blocked with 10% goat serum. The tissue section was then incubated with 2 ug/ml rabbit anti-TIMM9 antibody overnight at 4oC. Peroxidase Conjugated Goat Anti-rabbit IgG was used as secondary antibody and incubated for 30 minutes at 37oC. The tissue section was developed using an HRP secondary and DAB substrate.
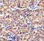
Immunohistochemical staining of TIMM9 using anti-TIMM9 antibody. TIMM9 was detected in a paraffin-embedded section of human lung cancer tissue. Heat mediated antigen retrieval was performed in EDTA buffer (pH 8.0, epitope retrieval solution). The tissue section was blocked with 10% goat serum. The tissue section was then incubated with 2 ug/ml rabbit anti-TIMM9 antibody overnight at 4oC. Peroxidase Conjugated Goat Anti-rabbit IgG was used as secondary antibody and incubated for 30 minutes at 37oC. The tissue section was developed using an HRP secondary and DAB substrate.
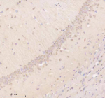
Immunohistochemical staining of TIMM9 using anti-TIMM9 antibody. TIMM9 was detected in a paraffin-embedded section of rat brain tissue. Heat mediated antigen retrieval was performed in EDTA buffer (pH 8.0, epitope retrieval solution). The tissue section was blocked with 10% goat serum. The tissue section was then incubated with 2 ug/ml rabbit anti-TIMM9 antibody overnight at 4oC. Peroxidase Conjugated Goat Anti-rabbit IgG was used as secondary antibody and incubated for 30 minutes at 37oC. The tissue section was developed using an HRP secondary and DAB substrate.
Immunohistochemical staining of TIMM9 using anti-TIMM9 antibody. TIMM9 was detected in a paraffin-embedded section of rat brain tissue. Heat mediated antigen retrieval was performed in EDTA buffer (pH 8.0, epitope retrieval solution). The tissue section was blocked with 10% goat serum. The tissue section was then incubated with 2 ug/ml rabbit anti-TIMM9 antibody overnight at 4oC. Peroxidase Conjugated Goat Anti-rabbit IgG was used as secondary antibody and incubated for 30 minutes at 37oC. The tissue section was developed using an HRP secondary and DAB substrate.
Immunofluorescent staining of TIMM9 using anti-TIMM9 antibody (red). TIMM9 was detected in a paraffin-embedded section of human lung cancer tissue. Heat mediated antigen retrieval was performed in EDTA buffer (pH 8.0, epitope retrieval solution). The tissue section was blocked with 10% goat serum. The tissue section was then incubated with 5 ug/ml rabbit anti-TIMM9 antibody overnight at 4oC. Cy3 Conjugated Goat Anti-Rabbit IgG was used as secondary antibody at 1:500 dilution and incubated for 30 minutes at 37oC. The section was counterstained with DAPI nuclear stain (blue). Visualize using a fluorescence microscope and filter sets appropriate for the label used.
Immunofluorescent staining of TIMM9 using anti-TIMM9 antibody (red). TIMM9 was detected in a paraffin-embedded section of rat brain tissue. Heat mediated antigen retrieval was performed in EDTA buffer (pH 8.0, epitope retrieval solution). The tissue section was blocked with 10% goat serum. The tissue section was then incubated with 5 ug/ml rabbit anti-TIMM9 antibody overnight at 4oC. Cy3 Conjugated Goat Anti-Rabbit IgG was used as secondary antibody at 1:500 dilution and incubated for 30 minutes at 37oC. The section was counterstained with DAPI nuclear stain (blue). Visualize using a fluorescence microscope and filter sets appropriate for the label used.
Flow Cytometry analysis of HepG2 cells using anti-TIMM9 antibody. Overlay histogram showing HepG2 cells stained with (Blue line). To facilitate intracellular staining, cells were fixed with 4% paraformaldehyde and permeabilized with permeabilization buffer. The cells were blocked with 10% normal goat serum. And then incubated with rabbit anti-TIMM9 antibody (1 ug/million cells) for 30 min at 20oC. DyLight 488 conjugated goat anti-rabbit IgG (5-10 ug/million cells) was used as secondary antibody for 30 minutes at 20oC. Isotype control antibody (Green line) was rabbit IgG (1 ug/million cells) used under the same conditions. Unlabelled sample without incubation with primary antibody and secondary antibody (Red line) was used as a blank control.
Availability 1-2 days
Species Reactivity Human, Rat
Format Lyophilized
Clonality Polyclonal (rabbit origin)
Isotype Rabbit IgG
Purity Immunogen affinity purified
Buffer Each vial contains 4 mg Trehalose, 0.9 mg NaCl, 0.2 mg Na2HPO4.
UniProt Q9Y5J7
Localization Cytoplasm (Mitochondria)
Applications Immunohistochemistry : 2-5ug/ml
Immunofluorescence : 5ug/ml
Flow Cytometry : 1-3ug/million cells
ELISA : 0.1-0.5ug/ml
Limitations This TIMM9 antibody is available for research use only.
Review this product on BioCompare and get a $20 Amazon gift card

Description

TIMM9 antibody detects Mitochondrial import inner membrane translocase subunit Tim9, a chaperone essential for importing hydrophobic carrier proteins into the mitochondrial inner membrane. Encoded by the TIMM9 gene on chromosome 14q24.3, this small protein is part of the TIM9-TIM10 complex that guides precursor proteins through the mitochondrial intermembrane space to their insertion sites. TIMM9 maintains protein folding stability during transit and prevents aggregation of hydrophobic substrates prior to membrane integration.

Structurally, TIMM9 is an 89-amino-acid protein of approximately 10 kilodaltons containing twin CX3C motifs that coordinate zinc ions to stabilize its characteristic hexameric structure. Within the intermembrane space, TIMM9 forms a heterohexameric complex with TIMM10 or TIMM10B, providing a soluble chaperone system that transfers imported precursors from the TOM complex (translocase of the outer membrane) to the TIM22 complex for membrane insertion.

The TIMM9 antibody is widely used in mitochondrial import, bioenergetics, and protein trafficking research to study mitochondrial assembly, carrier translocation, and protein folding. Western blot analysis detects a 10 kilodalton band corresponding to TIMM9, while immunofluorescence demonstrates mitochondrial localization colocalizing with markers such as TOM20 and COX IV. This antibody is valuable for analyzing mitochondrial protein import efficiency and intermembrane space chaperone dynamics.

Functionally, TIMM9 is essential for the import of metabolite carrier proteins, including members of the ADP/ATP translocase and phosphate carrier families. Loss of TIMM9 disrupts carrier protein biogenesis, resulting in impaired mitochondrial respiration and metabolic deficiency. Defects in TIMM9 expression or complex formation have been implicated in mitochondrial encephalopathies and neurodegenerative diseases characterized by energy failure and oxidative stress. The TIMM9 antibody provides a sensitive reagent for evaluating mitochondrial import machinery integrity and studying molecular chaperone systems that maintain organelle function. NSJ Bioreagents validates this antibody for its applications, ensuring specificity and reproducibility for mitochondrial protein import studies.

Application Notes

Optimal dilution of the TIMM9 antibody should be determined by the researcher.

Immunogen

E.coli-derived human TIMM9 recombinant protein (Position: M1-R89) was used as the immunogen for the TIMM9 antibody.

Storage

After reconstitution, the TIMM9 antibody can be stored for up to one month at 4oC. For long-term, aliquot and store at -20oC. Avoid repeated freezing and thawing.

Cross
Bulk Quote Request Form
Name*:
Organization*:
Email*:
Phone Number*:
Catalog No.*:
Comments and Specifics(amount, formulation, etc.)*:
Validation code: Captchapackage Image


Can't read the image? click here to refresh.
    *required field

Your bulk quote request has been submitted successfully!

Please contact us if you have any questions.